• 文献检索
  • 文档翻译
  • 深度研究
  • 学术资讯
  • Suppr Zotero 插件Zotero 插件
  • 邀请有礼
  • 套餐&价格
  • 历史记录
应用&插件
Suppr Zotero 插件Zotero 插件浏览器插件Mac 客户端Windows 客户端微信小程序
定价
高级版会员购买积分包购买API积分包
服务
文献检索文档翻译深度研究API 文档MCP 服务
关于我们
关于 Suppr公司介绍联系我们用户协议隐私条款
关注我们

Suppr 超能文献

核心技术专利:CN118964589B侵权必究
粤ICP备2023148730 号-1Suppr @ 2026

文献检索

告别复杂PubMed语法,用中文像聊天一样搜索,搜遍4000万医学文献。AI智能推荐,让科研检索更轻松。

立即免费搜索

文件翻译

保留排版,准确专业,支持PDF/Word/PPT等文件格式,支持 12+语言互译。

免费翻译文档

深度研究

AI帮你快速写综述,25分钟生成高质量综述,智能提取关键信息,辅助科研写作。

立即免费体验

扩散加权成像在诊断以肩部疼痛为表现的膈下子宫内膜异位症中的应用价值。

Utility of diffusion weighted imaging in diagnosing subdiaphragmatic endometriosis presenting as shoulder pain.

作者信息

Singh Anuradha, Das Chandan J, Das Bimal K, Gupta A K

机构信息

Department of Radiology, AIIMS, New Delhi, India.

Department of Microbiology, AIIMS, New Delhi, India.

出版信息

Indian J Radiol Imaging. 2017 Jul-Sep;27(3):314-317. doi: 10.4103/ijri.IJRI_86_16.

DOI:10.4103/ijri.IJRI_86_16
PMID:29089681
原文链接:https://pmc.ncbi.nlm.nih.gov/articles/PMC5644326/
Abstract

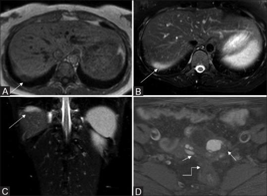
Extrapelvic endometriosis (EPE) is a rare entity which may potentially occur at any site. Symptomatic EPE is now increasingly being managed laparoscopically. Imaging is imperative in diagnosis as well as extent delineation prior to surgery. In addition to increasing the success rate of diagnostic laparoscopy, prior knowledge of EPE at certain sites may modify the standard surgical technique. We present here an unusual case of chronic pain in the right shoulder in a 26-year-old female caused by subdiaphragmatic endometriosis (SDE). It was noticed on conventional magnetic resonance imaging (MRI) sequences; however, due to the lack of the characteristic signal intensity, imaging findings were noncontributory. Diffusion-weighted imaging (DWI) facilitated its characterization and precisely mapped the extent of involvement. SDE should be suspected in young females presenting with cyclical shoulder pain. Due to nonspecific clinical features, it may remain undiagnosed. MRI is the imaging modality of choice in evaluation of EPE. Including DWI sequence in the MR protocol increases the diagnostic precision besides delineating the extent of involvement noninvasively.

摘要

盆腔外子宫内膜异位症(EPE)是一种罕见的病症,可能发生于任何部位。有症状的EPE目前越来越多地通过腹腔镜进行治疗。在手术前,影像学检查对于诊断以及明确病变范围至关重要。除了提高诊断性腹腔镜检查的成功率外,了解某些部位的EPE情况可能会改变标准手术技术。我们在此介绍一例26岁女性因膈下子宫内膜异位症(SDE)导致右肩慢性疼痛的罕见病例。在传统磁共振成像(MRI)序列上发现了病变;然而,由于缺乏特征性信号强度,影像学表现并无诊断价值。扩散加权成像(DWI)有助于对其进行特征性描述并精确确定受累范围。对于出现周期性肩部疼痛的年轻女性,应怀疑SDE。由于临床特征不具特异性,可能仍无法确诊。MRI是评估EPE的首选影像学检查方法。在MR检查方案中加入DWI序列,除了能无创地明确受累范围外,还能提高诊断准确性。

https://cdn.ncbi.nlm.nih.gov/pmc/blobs/c656/5644326/aea8e1fd6f28/IJRI-27-314-g002.jpg
https://cdn.ncbi.nlm.nih.gov/pmc/blobs/c656/5644326/7bb943e9b46c/IJRI-27-314-g001.jpg
https://cdn.ncbi.nlm.nih.gov/pmc/blobs/c656/5644326/aea8e1fd6f28/IJRI-27-314-g002.jpg
https://cdn.ncbi.nlm.nih.gov/pmc/blobs/c656/5644326/7bb943e9b46c/IJRI-27-314-g001.jpg
https://cdn.ncbi.nlm.nih.gov/pmc/blobs/c656/5644326/aea8e1fd6f28/IJRI-27-314-g002.jpg

相似文献

1
Utility of diffusion weighted imaging in diagnosing subdiaphragmatic endometriosis presenting as shoulder pain.扩散加权成像在诊断以肩部疼痛为表现的膈下子宫内膜异位症中的应用价值。
Indian J Radiol Imaging. 2017 Jul-Sep;27(3):314-317. doi: 10.4103/ijri.IJRI_86_16.
2
Bladder endometriosis: characterization by magnetic resonance imaging and the value of documenting ureteral involvement.膀胱子宫内膜异位症:磁共振成像特征及记录输尿管受累情况的价值
Eur J Obstet Gynecol Reprod Biol. 2014 May;176:39-43. doi: 10.1016/j.ejogrb.2014.02.019. Epub 2014 Feb 20.
3
Non-neoplastic diseases of the fallopian tube: MR imaging with emphasis on diffusion-weighted imaging.输卵管非肿瘤性疾病:磁共振成像,重点是扩散加权成像
Insights Imaging. 2016 Jun;7(3):311-27. doi: 10.1007/s13244-016-0484-7. Epub 2016 Mar 18.
4
Obturator Internus Muscle Endometriosis with Nerve Involvement: a Rare Clinical Presentation.闭孔内肌子宫内膜异位症伴神经受累:一种罕见的临床表现。
J Minim Invasive Gynecol. 2018 Feb;25(2):330-333. doi: 10.1016/j.jmig.2017.07.013. Epub 2017 Jul 29.
5
[Values of diffusion-weighted magnetic resonance imaging in the early detection of periventricular leukomalacia in preterm infants].[扩散加权磁共振成像在早产儿脑室周围白质软化早期检测中的价值]
Zhonghua Er Ke Za Zhi. 2008 May;46(5):354-8.
6
[Early assessment of severe hypoxic-ischemic encephalopathy in neonates by diffusion-weighted magnetic resonance imaging techniques and its significance].[磁共振扩散加权成像技术对新生儿重度缺氧缺血性脑病的早期评估及其意义]
Zhonghua Er Ke Za Zhi. 2007 Nov;45(11):843-7.
7
Exploratory study of the interest of MR susceptibility-weighted imaging for the pre-operative assessment of pelvic endometriosis extent.盆腔子宫内膜异位症术前评估中磁共振磁敏感加权成像的应用价值初探。
Eur J Radiol. 2019 Sep;118:245-250. doi: 10.1016/j.ejrad.2019.06.018. Epub 2019 Jun 24.
8
Extrapelvic endometriosis presenting as unusual swellings of the buttock and thigh.
West Indian Med J. 2001 Dec;50(4):328-30.
9
Evaluation of MR diffusion-weighted imaging in differentiating endometriosis infiltrating the bowel from colorectal carcinoma.评价磁共振弥散加权成像在鉴别累及肠的子宫内膜异位症与结直肠癌中的作用。
Eur J Radiol. 2012 Jun;81(6):1376-80. doi: 10.1016/j.ejrad.2011.03.038. Epub 2011 Apr 13.
10
Susceptibility-weighted magnetic resonance imaging for the evaluation of deep infiltrating endometriosis: preliminary results.用于评估深部浸润型子宫内膜异位症的 susceptibility-weighted 磁共振成像:初步结果。 (注:susceptibility-weighted 可译为“磁敏感加权” ,这里直接保留英文是因为它是专业术语,在医学领域可能更常用英文表述)
Acta Radiol. 2016 Jul;57(7):878-85. doi: 10.1177/0284185115602147. Epub 2015 Aug 27.

引用本文的文献

1
Magnetic Resonance Imaging of Endometriosis: The Role of Advanced Techniques.子宫内膜异位症的磁共振成像:先进技术的作用
J Clin Med. 2024 Sep 28;13(19):5783. doi: 10.3390/jcm13195783.
2
Endometriosis: advances and controversies in classification, pathogenesis, diagnosis, and treatment.子宫内膜异位症:分类、发病机制、诊断及治疗的进展与争议
F1000Res. 2019 Apr 23;8. doi: 10.12688/f1000research.14817.1. eCollection 2019.

本文引用的文献

1
Pericardial, pleural and diaphragmatic endometriosis in association with pelvic peritoneal and bowel endometriosis: a case report and review of the literature.心包、胸膜和膈肌子宫内膜异位症合并盆腔腹膜和肠道子宫内膜异位症:1例病例报告并文献复习
Wideochir Inne Tech Maloinwazyjne. 2012 Jun;7(2):122-31. doi: 10.5114/wiitm.2011.26758. Epub 2012 Jan 26.
2
MR imaging of endometriosis: ten imaging pearls.磁共振成像在子宫内膜异位症中的应用:十个影像学要点。
Radiographics. 2012 Oct;32(6):1675-91. doi: 10.1148/rg.326125518.
3
Findings of pelvic endometriosis at transvaginal US, MR imaging, and laparoscopy.
经阴道超声、磁共振成像和腹腔镜检查发现盆腔子宫内膜异位症。
Radiographics. 2011 Jul-Aug;31(4):E77-100. doi: 10.1148/rg.314105193.
4
MR imaging in deep pelvic endometriosis: a pictorial essay.磁共振成像在深部盆腔子宫内膜异位症中的应用:影像学研究进展。
Radiographics. 2011 Mar-Apr;31(2):549-67. doi: 10.1148/rg.312105144.
5
Diagnostic accuracy of diffusion-weighted imaging in differentiating benign from malignant ovarian lesions.扩散加权成像在鉴别卵巢良恶性病变中的诊断准确性
J Magn Reson Imaging. 2008 Nov;28(5):1149-56. doi: 10.1002/jmri.21575.
6
Role of diffusion-weighted imaging in the diagnosis of gynecological diseases.扩散加权成像在妇科疾病诊断中的作用。
Eur Radiol. 2009 Mar;19(3):745-60. doi: 10.1007/s00330-008-1185-5. Epub 2008 Oct 7.
7
Asymmetry in distribution of diaphragmatic endometriotic lesions: evidence in favour of the menstrual reflux theory.
Hum Reprod. 2007 Sep;22(9):2359-67. doi: 10.1093/humrep/dem224. Epub 2007 Jul 18.
8
Diaphragmatic endometriosis: diagnosis and surgical management--a case report.
Acta Chir Belg. 2003 Oct;103(5):519-20. doi: 10.1080/00015458.2003.11679481.
9
Diaphragmatic endometriosis: diagnosis, surgical management, and long-term results of treatment.膈子宫内膜异位症:诊断、手术治疗及长期治疗结果
Fertil Steril. 2002 Feb;77(2):288-96. doi: 10.1016/s0015-0282(01)02998-3.
10
Endometriosis: radiologic-pathologic correlation.子宫内膜异位症:放射学与病理学的相关性
Radiographics. 2001 Jan-Feb;21(1):193-216; questionnaire 288-94. doi: 10.1148/radiographics.21.1.g01ja14193.