Suppr超能文献

单亲二体与产前表型:两例病例报告及文献综述

Uniparental disomy and prenatal phenotype: Two case reports and review.

作者信息

Li Xiaofei, Liu Yan, Yue Song, Wang Li, Zhang Tiejuan, Guo Cuixia, Hu Wenjie, Kagan Karl-Oliver, Wu Qingqing

机构信息

Department of Ultrasound Department of Obstetrics, Beijing Obstetrics and Gynecology Hospital, Capital Medical University, Beijing, China Department of Obstetrics and Gynecology, University of Tübingen, Tübingen, Germany.

出版信息

Medicine (Baltimore). 2017 Nov;96(45):e8474. doi: 10.1097/MD.0000000000008474.

Abstract

RATIONALE

Uniparental disomy (UPD) gives a description of the inheritance of both homologues of a chromosome pair from the same parent. The consequences of UPD depend on the specific chromosome/segment involved and its parental origin.

PATIENT CONCERNS

We report prenatal phenotypes of 2 rare cases of UPD.

DIAGNOSES

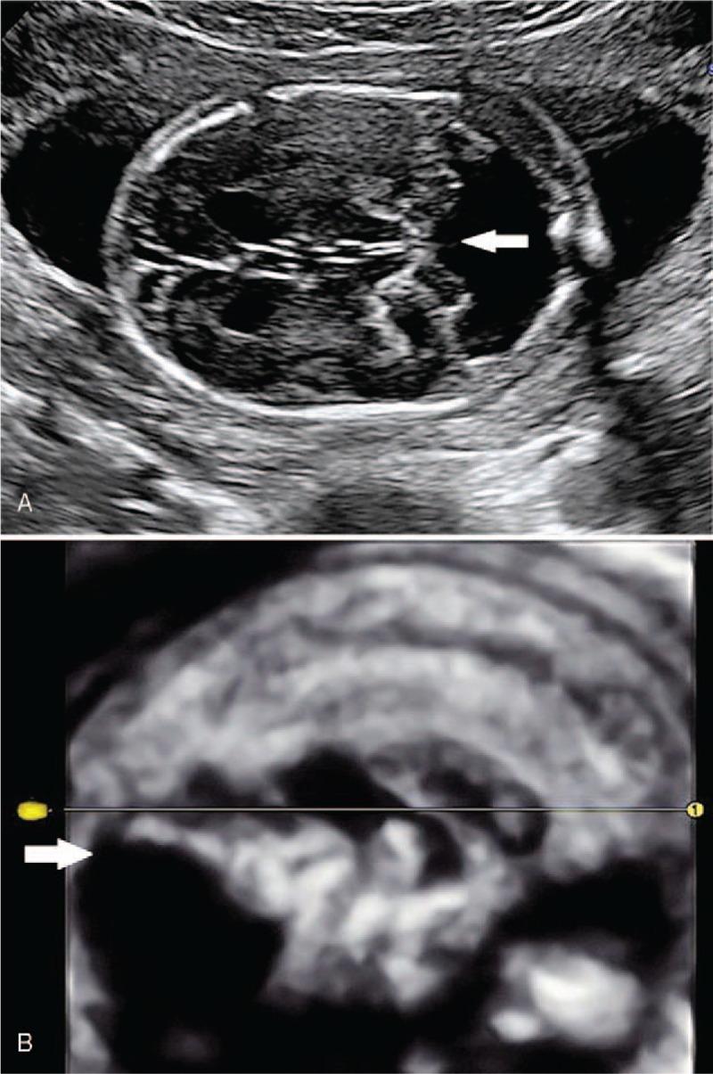
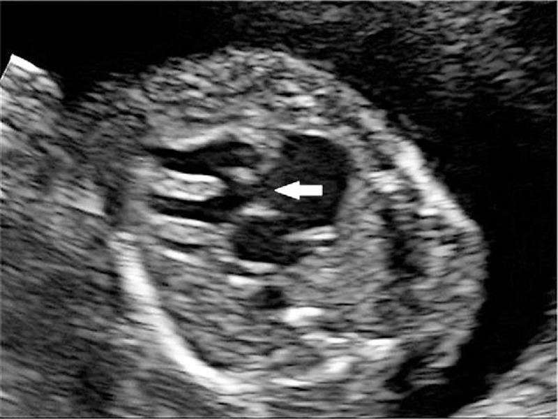
The prenatal phenotype of case 1 included sonographic markers such as enlarged nuchal translucency (NT), absent nasal bone, short femur and humerus length, and several structural malformations involving Dandy-Walker malformation and congenital heart defects. The prenatal phenotype of Case 2 are sonographic markers, including enlarged NT, thickened nuchal fold, ascites, and polyhydramnios without apparent structural malformations.

INTERVENTIONS

Conventional G-band karyotype appears normal in case 1, while it shows normal chromosomes with a small supernumerary marker chromosome (sSMC) in case 2. Genetic etiology was left unknown until single-nucleotide polymorphism-based array (SNP-array) was performed, and segmental paternal UPD 22 was identified in case 1 and segmental paternal UPD 14 was found in case 2.

OUTCOMES

The parents of case 1 chose termination of pregnancy. The neonate of case 2 was born prematurely with a bellshaped small thorax and died within a day.

LESSONS

UPD cases are rare and the phenotypes are different, which depend on the origin and affected chromosomal part. If a fetus shows multiple anomalies that cannot be attributed to a common aneuploidy or a genetic syndrome, or manifests some features possibly related to an UPD syndrome, such as detection of sSMC, SNP-array should be considered.

摘要

理论依据

单亲二体(UPD)描述了一对染色体的两条同源染色体均来自同一亲本的遗传情况。UPD的后果取决于所涉及的特定染色体/片段及其亲本来源。

患者情况

我们报告了2例罕见的UPD产前表型。

诊断结果

病例1的产前表型包括超声软指标,如颈部透明带(NT)增厚、鼻骨缺失、股骨和肱骨长度短,以及一些结构畸形,包括Dandy-Walker畸形和先天性心脏缺陷。病例2的产前表型为超声软指标,包括NT增厚、颈部褶皱增厚、腹水和羊水过多,无明显结构畸形。

干预措施

病例1的常规G带核型看似正常,而病例2显示正常染色体伴有一条小的额外标记染色体(sSMC)。在进行基于单核苷酸多态性的阵列分析(SNP-阵列)之前,遗传病因不明,病例1中鉴定出22号染色体片段性父源UPD,病例2中发现14号染色体片段性父源UPD。

结果

病例1的父母选择终止妊娠。病例2的新生儿早产,胸廓呈钟形,一天内死亡。

经验教训

UPD病例罕见,表型各异,这取决于起源和受影响的染色体部分。如果胎儿表现出多种无法归因于常见非整倍体或遗传综合征的异常,或表现出一些可能与UPD综合征相关的特征,如检测到sSMC,则应考虑进行SNP-阵列分析。

https://cdn.ncbi.nlm.nih.gov/pmc/blobs/b70d/5690727/c7df4076e682/medi-96-e8474-g001.jpg

文献AI研究员

20分钟写一篇综述,助力文献阅读效率提升50倍。

立即体验

用中文搜PubMed

大模型驱动的PubMed中文搜索引擎

马上搜索

文档翻译

学术文献翻译模型,支持多种主流文档格式。

立即体验