• 文献检索
  • 文档翻译
  • 深度研究
  • 学术资讯
  • Suppr Zotero 插件Zotero 插件
  • 邀请有礼
  • 套餐&价格
  • 历史记录
应用&插件
Suppr Zotero 插件Zotero 插件浏览器插件Mac 客户端Windows 客户端微信小程序
定价
高级版会员购买积分包购买API积分包
服务
文献检索文档翻译深度研究API 文档MCP 服务
关于我们
关于 Suppr公司介绍联系我们用户协议隐私条款
关注我们

Suppr 超能文献

核心技术专利:CN118964589B侵权必究
粤ICP备2023148730 号-1Suppr @ 2026

文献检索

告别复杂PubMed语法,用中文像聊天一样搜索,搜遍4000万医学文献。AI智能推荐,让科研检索更轻松。

立即免费搜索

文件翻译

保留排版,准确专业,支持PDF/Word/PPT等文件格式,支持 12+语言互译。

免费翻译文档

深度研究

AI帮你快速写综述,25分钟生成高质量综述,智能提取关键信息,辅助科研写作。

立即免费体验

S100A16是一种很有前景的候选物,可作为切除的肺腺癌中铂类辅助化疗的预后标志物。

S100A16, a promising candidate as a prognostic marker for platinum-based adjuvant chemotherapy in resected lung adenocarcinoma.

作者信息

Katono Ken, Sato Yuichi, Kobayashi Makoto, Nagashio Ryo, Ryuge Shinichiro, Igawa Satoshi, Ichinoe Masaaki, Murakumo Yoshiki, Saegusa Makoto, Masuda Noriyuki

机构信息

Department of Respiratory Medicine, School of Medicine.

Department of Molecular Diagnostics, School of Allied Health Sciences.

出版信息

Onco Targets Ther. 2017 Nov 2;10:5273-5279. doi: 10.2147/OTT.S145072. eCollection 2017.

DOI:10.2147/OTT.S145072
PMID:29138580
原文链接:https://pmc.ncbi.nlm.nih.gov/articles/PMC5679695/
Abstract

PURPOSE

Although cisplatin-based adjuvant chemotherapy improves the survival of patients with resected non-small-cell lung cancer, not all patients show a survival benefit, and some patients experience severe toxicity. Therefore, identifying biomarkers is important for selecting subgroups of patients who may show improved survival with platinum-based adjuvant chemotherapy. S100A16 is thought to play key roles during different steps of tumor progression. The aim of this study was to evaluate the use of S100A16 expression as a prognostic marker in patients with completely resected lung adenocarcinoma receiving platinum-based adjuvant chemotherapy.

METHODS

S100A16 expression was immunohistochemically studied in 65 consecutive lung adenocarcinoma patients who underwent complete resection and received platinum-based adjuvant chemotherapy. Kaplan-Meier survival analysis and Cox proportional hazards models were used to estimate the effect of S100A16 expression on disease-free survival (DFS) and overall survival (OS).

RESULTS

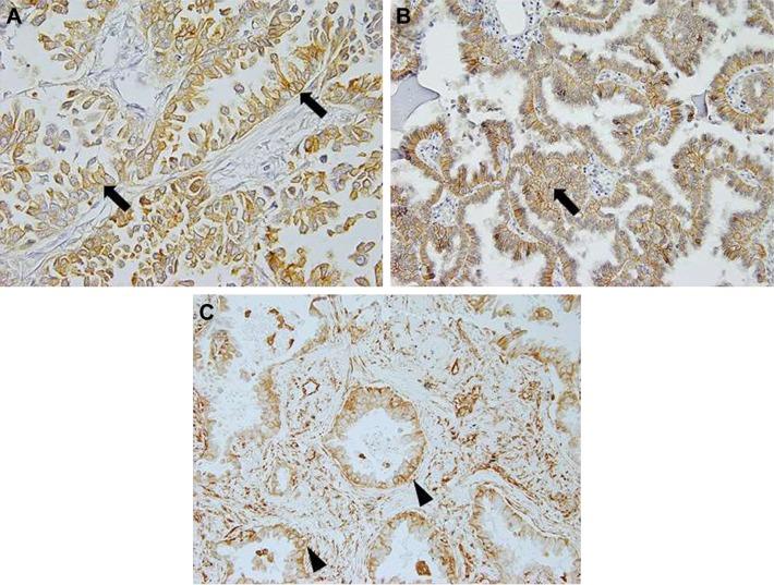
S100A16 expression was detected in 26 of the 65 (40.0%) lung adenocarcinoma patients. Although S100A16 expression was not correlated with DFS (=0.062), it was significantly correlated with OS (=0.009). In addition, multivariable analysis revealed that S100A16 expression independently predicted a poorer survival (HR =4.79; 95% CI =1.87-12.23; =0.001).

CONCLUSION

The present study revealed that S100A16 is a promising candidate as a prognostic marker for platinum-based adjuvant chemotherapy in resected lung adenocarcinoma. A further large-scale study is needed to confirm the present results.

摘要

目的

尽管基于顺铂的辅助化疗可提高非小细胞肺癌切除患者的生存率,但并非所有患者都能从中获益,且部分患者会出现严重毒性。因此,识别生物标志物对于选择可能从铂类辅助化疗中提高生存率的患者亚组很重要。S100A16被认为在肿瘤进展的不同阶段发挥关键作用。本研究的目的是评估S100A16表达作为接受铂类辅助化疗的完全切除肺腺癌患者预后标志物的应用价值。

方法

对65例连续的肺腺癌患者进行免疫组织化学研究,这些患者均接受了完全切除并接受了铂类辅助化疗。采用Kaplan-Meier生存分析和Cox比例风险模型来评估S100A16表达对无病生存期(DFS)和总生存期(OS)的影响。

结果

65例肺腺癌患者中有26例(40.0%)检测到S100A16表达。尽管S100A16表达与DFS无关(=0.062),但与OS显著相关(=0.009)。此外,多变量分析显示S100A16表达独立预测较差的生存率(HR =4.79;95% CI =1.87-12.23;=0.001)。

结论

本研究表明S100A16有望作为切除肺腺癌铂类辅助化疗的预后标志物。需要进一步的大规模研究来证实本研究结果。

https://cdn.ncbi.nlm.nih.gov/pmc/blobs/e9eb/5679695/2ff79522300d/ott-10-5273Fig2.jpg
https://cdn.ncbi.nlm.nih.gov/pmc/blobs/e9eb/5679695/6df6d3298385/ott-10-5273Fig1.jpg
https://cdn.ncbi.nlm.nih.gov/pmc/blobs/e9eb/5679695/2ff79522300d/ott-10-5273Fig2.jpg
https://cdn.ncbi.nlm.nih.gov/pmc/blobs/e9eb/5679695/6df6d3298385/ott-10-5273Fig1.jpg
https://cdn.ncbi.nlm.nih.gov/pmc/blobs/e9eb/5679695/2ff79522300d/ott-10-5273Fig2.jpg

相似文献

1
S100A16, a promising candidate as a prognostic marker for platinum-based adjuvant chemotherapy in resected lung adenocarcinoma.S100A16是一种很有前景的候选物,可作为切除的肺腺癌中铂类辅助化疗的预后标志物。
Onco Targets Ther. 2017 Nov 2;10:5273-5279. doi: 10.2147/OTT.S145072. eCollection 2017.
2
Aberrant S100A16 expression might be an independent prognostic indicator of unfavorable survival in non-small cell lung adenocarcinoma.异常 S100A16 表达可能是非小细胞肺腺癌不良生存的独立预后指标。
PLoS One. 2018 May 10;13(5):e0197402. doi: 10.1371/journal.pone.0197402. eCollection 2018.
3
TRAP1 is a predictive biomarker of platinum-based adjuvant chemotherapy benefits in patients with resected lung adenocarcinoma.TRAP1 是预测可切除肺腺癌患者铂类辅助化疗获益的生物标志物。
Biomed Res. 2020;41(1):53-65. doi: 10.2220/biomedres.41.53.
4
Prognostic significance of S100A16 subcellular localization in lung adenocarcinoma.S100A16 亚细胞定位在肺腺癌中的预后意义。
Hum Pathol. 2018 Apr;74:148-155. doi: 10.1016/j.humpath.2018.01.001. Epub 2018 Jan 7.
5
Adjuvant chemotherapy, p53, carcinoembryonic antigen expression and prognosis after D2 gastrectomy for gastric adenocarcinoma.胃腺癌 D2 胃切除术后辅助化疗、p53、癌胚抗原表达与预后的关系。
World J Gastroenterol. 2014 Jan 7;20(1):264-73. doi: 10.3748/wjg.v20.i1.264.
6
Prognostic significance of nestin expression in patients with resected non-small cell lung cancer treated with platinum-based adjuvant chemotherapy; relationship between nestin expression and epithelial to mesenchymal transition related markers.巢蛋白表达在接受铂类辅助化疗的非小细胞肺癌切除患者中的预后意义;巢蛋白表达与上皮-间质转化相关标志物之间的关系。
PLoS One. 2017 Mar 30;12(3):e0173886. doi: 10.1371/journal.pone.0173886. eCollection 2017.
7
The prognostic value of ERCC1 and RRM1 gene expression in completely resected non-small cell lung cancer: tumor recurrence and overall survival.完全切除的非小细胞肺癌中 ERCC1 和 RRM1 基因表达的预后价值:肿瘤复发和总生存。
Cancer Manag Res. 2013 Oct 3;5:327-36. doi: 10.2147/CMAR.S52073. eCollection 2013.
8
Evaluation of Prognostic Factors and Adjuvant Chemotherapy in Patients With Small Bowel Adenocarcinoma Who Underwent Curative Resection.评价接受根治性切除术的小肠腺癌患者的预后因素和辅助化疗。
Clin Colorectal Cancer. 2017 Sep;16(3):220-227. doi: 10.1016/j.clcc.2016.08.002. Epub 2016 Aug 30.
9
Cyclooxygenase-2 expression is a prognostic biomarker for non-small cell lung cancer patients treated with adjuvant platinum-based chemotherapy.环氧化酶-2表达是接受铂类辅助化疗的非小细胞肺癌患者的一种预后生物标志物。
World J Surg Oncol. 2015 Feb 6;13:21. doi: 10.1186/s12957-014-0426-0.
10
S100A16 is a Prognostic Marker for Lung Adenocarcinomas.S100A16是肺腺癌的一个预后标志物。
Asian Pac J Cancer Prev. 2015;16(16):7039-44. doi: 10.7314/apjcp.2015.16.16.7039.

引用本文的文献

1
S100A16 stabilizes the ITGA3‑mediated ECM‑receptor interaction pathway to drive the malignant properties of lung adenocarcinoma cells via binding MOV10.S100A16 通过结合 MOV10 稳定 ITGA3 介导的细胞外基质-受体相互作用通路,从而驱动肺腺癌细胞的恶性特性。
Mol Med Rep. 2025 Jan;31(1). doi: 10.3892/mmr.2024.13376. Epub 2024 Oct 25.
2
Correlation of S100A4 and S100A14 Expression With Clinico-Pathological Features and Tumor Location in Colorectal Cancer Patients.S100A4和S100A14表达与结直肠癌患者临床病理特征及肿瘤位置的相关性
Cureus. 2024 Jul 29;16(7):e65615. doi: 10.7759/cureus.65615. eCollection 2024 Jul.
3

本文引用的文献

1
Prognostic significance of nestin expression in patients with resected non-small cell lung cancer treated with platinum-based adjuvant chemotherapy; relationship between nestin expression and epithelial to mesenchymal transition related markers.巢蛋白表达在接受铂类辅助化疗的非小细胞肺癌切除患者中的预后意义;巢蛋白表达与上皮-间质转化相关标志物之间的关系。
PLoS One. 2017 Mar 30;12(3):e0173886. doi: 10.1371/journal.pone.0173886. eCollection 2017.
2
Targeting Epithelial-Mesenchymal Transition (EMT) to Overcome Drug Resistance in Cancer.靶向上皮-间质转化(EMT)以克服癌症中的耐药性
Molecules. 2016 Jul 22;21(7):965. doi: 10.3390/molecules21070965.
3
The role of miR-6884-5p in epithelial-mesenchymal transition in non-small cell lung cancer.
miR-6884-5p在非小细胞肺癌上皮-间质转化中的作用
Aging (Albany NY). 2024 Jan 24;16(2):1968-1979. doi: 10.18632/aging.205474.
4
Expression and gene regulatory network of S100A16 protein in cervical cancer cells based on data mining.基于数据挖掘的宫颈癌 S100A16 蛋白的表达及其基因调控网络
BMC Cancer. 2023 Nov 17;23(1):1124. doi: 10.1186/s12885-023-11574-y.
5
Expression of S100A16 Is Associated with Biological Aggressiveness and Poor Prognosis in Patients with Bladder Cancer Who Underwent Radical Cystectomy.S100A16 的表达与接受根治性膀胱切除术的膀胱癌患者的生物学侵袭性和不良预后相关。
Int J Mol Sci. 2023 Sep 26;24(19):14536. doi: 10.3390/ijms241914536.
6
An Update on S100A16 in Human Cancer.S100A16 在人类癌症中的研究进展。
Biomolecules. 2023 Jul 3;13(7):1070. doi: 10.3390/biom13071070.
7
S-100 Proteins: Basics and Applications as Biomarkers in Animals with Special Focus on Calgranulins (S100A8, A9, and A12).S-100蛋白:基础与作为动物生物标志物的应用,特别关注钙粒蛋白(S100A8、A9和A12)
Biology (Basel). 2023 Jun 19;12(6):881. doi: 10.3390/biology12060881.
8
Integrated analysis identifies S100A16 as a potential prognostic marker for pancreatic cancer.综合分析确定S100A16为胰腺癌的潜在预后标志物。
Am J Transl Res. 2021 May 15;13(5):5720-5730. eCollection 2021.
9
The Combined Detection of Immune Genes for Predicting the Prognosis of Patients With Non-Small Cell Lung Cancer.免疫基因联合检测预测非小细胞肺癌患者预后
Technol Cancer Res Treat. 2020 Jan-Dec;19:1533033820977504. doi: 10.1177/1533033820977504.
10
Identification of Prognostic Immune-Related Genes by Integrating mRNA Expression and Methylation in Lung Adenocarcinoma.通过整合肺腺癌中的mRNA表达和甲基化来鉴定预后免疫相关基因
Int J Genomics. 2020 Jul 9;2020:9548632. doi: 10.1155/2020/9548632. eCollection 2020.
S100A16 promotes cell proliferation and metastasis via AKT and ERK cell signaling pathways in human prostate cancer.
S100A16通过AKT和ERK细胞信号通路促进人前列腺癌的细胞增殖和转移。
Tumour Biol. 2016 Sep;37(9):12241-12250. doi: 10.1007/s13277-016-5096-9. Epub 2016 May 30.
4
Mutation testing for directing upfront targeted therapy and post-progression combination therapy strategies in lung adenocarcinoma.用于指导肺腺癌一线靶向治疗和进展后联合治疗策略的突变检测
Expert Rev Mol Diagn. 2016 Jul;16(7):737-49. doi: 10.1080/14737159.2016.1181545. Epub 2016 May 26.
5
Reversal of cisplatin resistance by inhibiting PI3K/Akt signal pathway in human lung cancer cells.通过抑制人肺癌细胞中的 PI3K/Akt 信号通路逆转顺铂耐药性。
Neoplasma. 2016;63(3):362-70. doi: 10.4149/304_150806N433.
6
Clinicopathological Significance of S100A10 Expression in Lung Adenocarcinomas.S100A10在肺腺癌中表达的临床病理意义
Asian Pac J Cancer Prev. 2016;17(1):289-94. doi: 10.7314/apjcp.2016.17.1.289.
7
S100A16 is a Prognostic Marker for Lung Adenocarcinomas.S100A16是肺腺癌的一个预后标志物。
Asian Pac J Cancer Prev. 2015;16(16):7039-44. doi: 10.7314/apjcp.2015.16.16.7039.
8
Epithelial-mesenchymal transition in patients of pulmonary adenocarcinoma: correlation with cancer stem cell markers and prognosis.肺腺癌患者的上皮-间质转化:与癌症干细胞标志物及预后的相关性
Int J Clin Exp Pathol. 2015 Aug 1;8(8):8997-9009. eCollection 2015.
9
S100A16 promotes differentiation and contributes to a less aggressive tumor phenotype in oral squamous cell carcinoma.S100A16促进口腔鳞状细胞癌的分化,并导致肿瘤表型侵袭性降低。
BMC Cancer. 2015 Sep 9;15:631. doi: 10.1186/s12885-015-1622-1.
10
The 2015 World Health Organization Classification of Lung Tumors: Impact of Genetic, Clinical and Radiologic Advances Since the 2004 Classification.2015 年世界卫生组织肺肿瘤分类:自 2004 年分类以来遗传、临床和放射学进展的影响。
J Thorac Oncol. 2015 Sep;10(9):1243-1260. doi: 10.1097/JTO.0000000000000630.