• 文献检索
  • 文档翻译
  • 深度研究
  • 学术资讯
  • Suppr Zotero 插件Zotero 插件
  • 邀请有礼
  • 套餐&价格
  • 历史记录
应用&插件
Suppr Zotero 插件Zotero 插件浏览器插件Mac 客户端Windows 客户端微信小程序
定价
高级版会员购买积分包购买API积分包
服务
文献检索文档翻译深度研究API 文档MCP 服务
关于我们
关于 Suppr公司介绍联系我们用户协议隐私条款
关注我们

Suppr 超能文献

核心技术专利:CN118964589B侵权必究
粤ICP备2023148730 号-1Suppr @ 2026

文献检索

告别复杂PubMed语法,用中文像聊天一样搜索,搜遍4000万医学文献。AI智能推荐,让科研检索更轻松。

立即免费搜索

文件翻译

保留排版,准确专业,支持PDF/Word/PPT等文件格式,支持 12+语言互译。

免费翻译文档

深度研究

AI帮你快速写综述,25分钟生成高质量综述,智能提取关键信息,辅助科研写作。

立即免费体验

DJ-1 通过调节破骨细胞分化来控制骨内稳态。

DJ-1 controls bone homeostasis through the regulation of osteoclast differentiation.

机构信息

Department of Immunology and Physiology, School of Medicine, Konkuk University, Chungju, 380-701, Republic of Korea.

Department of Medicine, University of Connecticut Health Center, 263 Farmington Ave, Farmington, CT, 06030, USA.

出版信息

Nat Commun. 2017 Nov 15;8(1):1519. doi: 10.1038/s41467-017-01527-y.

DOI:10.1038/s41467-017-01527-y
PMID:29142196
原文链接:https://pmc.ncbi.nlm.nih.gov/articles/PMC5688089/
Abstract

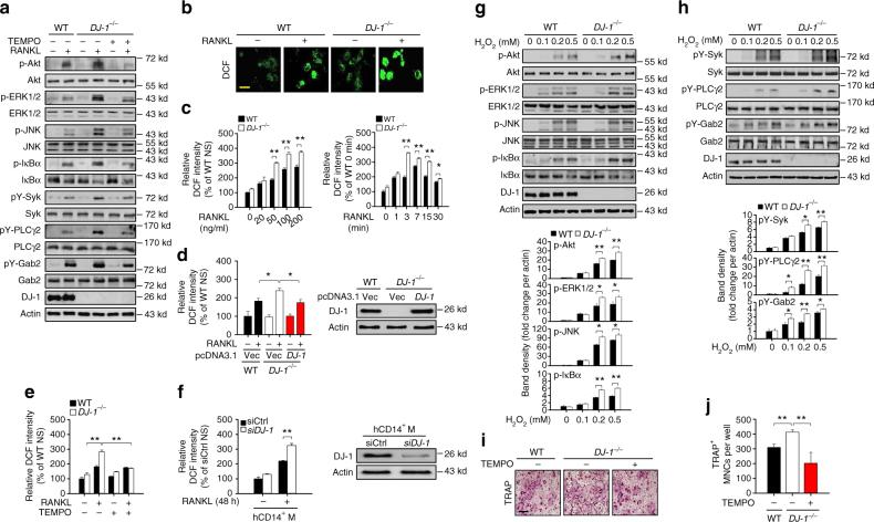
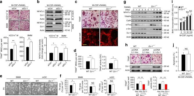
Receptor activator of NF-kB ligand (RANKL) generates intracellular reactive oxygen species (ROS), which increase RANKL-mediated signaling in osteoclast (OC) precursor bone marrow macrophages (BMMs). Here we show that a ROS scavenging protein DJ-1 negatively regulates RANKL-driven OC differentiation, also called osteoclastogenesis. DJ-1 ablation in mice leads to a decreased bone volume and an increase in OC numbers. In vitro, the activation of RANK-dependent signals is enhanced in DJ-1-deficient BMMs as compared to wild-type BMMs. DJ-1 suppresses the activation of both RANK-TRAF6 and RANK-FcRγ/Syk signaling pathways because of activation of Src homology region 2 domain-containing phosphatase-1, which is inhibited by ROS. Ablation of DJ-1 in mouse models of arthritis and RANKL-induced bone disease leads to an increase in the number of OCs, and exacerbation of bone damage. Overall, our results suggest that DJ-1 plays a role in bone homeostasis in normal physiology and in bone-associated pathology by negatively regulating osteoclastogenesis.

摘要

核因子-κB 受体激活物配体(RANKL)产生细胞内活性氧(ROS),从而增加破骨细胞(OC)前体细胞骨髓巨噬细胞(BMM)中 RANKL 介导的信号转导。在这里,我们表明,一种 ROS 清除蛋白 DJ-1 负调节 RANKL 驱动的 OC 分化,也称为破骨细胞形成。与野生型 BMM 相比,DJ-1 缺失的小鼠中 RANK 依赖性信号的激活增强。DJ-1 抑制 RANK-TRAF6 和 RANK-FcRγ/Syk 信号通路的激活,因为 Src 同源区域 2 结构域包含磷酸酶-1 的激活被 ROS 抑制。DJ-1 在关节炎和 RANKL 诱导的骨病的小鼠模型中的缺失导致 OC 数量增加,并加剧骨损伤。总的来说,我们的研究结果表明,DJ-1 通过负调节破骨细胞形成在正常生理和与骨相关的病理中发挥作用,维持骨稳态。

https://cdn.ncbi.nlm.nih.gov/pmc/blobs/2d77/5688089/d2fa10a347f4/41467_2017_1527_Fig8_HTML.jpg
https://cdn.ncbi.nlm.nih.gov/pmc/blobs/2d77/5688089/c9750b03a27b/41467_2017_1527_Fig1_HTML.jpg
https://cdn.ncbi.nlm.nih.gov/pmc/blobs/2d77/5688089/342656572829/41467_2017_1527_Fig2_HTML.jpg
https://cdn.ncbi.nlm.nih.gov/pmc/blobs/2d77/5688089/1e5d9baf4782/41467_2017_1527_Fig3_HTML.jpg
https://cdn.ncbi.nlm.nih.gov/pmc/blobs/2d77/5688089/0911a3178edb/41467_2017_1527_Fig4_HTML.jpg
https://cdn.ncbi.nlm.nih.gov/pmc/blobs/2d77/5688089/dd2f32c9de78/41467_2017_1527_Fig5_HTML.jpg
https://cdn.ncbi.nlm.nih.gov/pmc/blobs/2d77/5688089/1d069242909d/41467_2017_1527_Fig6_HTML.jpg
https://cdn.ncbi.nlm.nih.gov/pmc/blobs/2d77/5688089/1272762b9936/41467_2017_1527_Fig7_HTML.jpg
https://cdn.ncbi.nlm.nih.gov/pmc/blobs/2d77/5688089/d2fa10a347f4/41467_2017_1527_Fig8_HTML.jpg
https://cdn.ncbi.nlm.nih.gov/pmc/blobs/2d77/5688089/c9750b03a27b/41467_2017_1527_Fig1_HTML.jpg
https://cdn.ncbi.nlm.nih.gov/pmc/blobs/2d77/5688089/342656572829/41467_2017_1527_Fig2_HTML.jpg
https://cdn.ncbi.nlm.nih.gov/pmc/blobs/2d77/5688089/1e5d9baf4782/41467_2017_1527_Fig3_HTML.jpg
https://cdn.ncbi.nlm.nih.gov/pmc/blobs/2d77/5688089/0911a3178edb/41467_2017_1527_Fig4_HTML.jpg
https://cdn.ncbi.nlm.nih.gov/pmc/blobs/2d77/5688089/dd2f32c9de78/41467_2017_1527_Fig5_HTML.jpg
https://cdn.ncbi.nlm.nih.gov/pmc/blobs/2d77/5688089/1d069242909d/41467_2017_1527_Fig6_HTML.jpg
https://cdn.ncbi.nlm.nih.gov/pmc/blobs/2d77/5688089/1272762b9936/41467_2017_1527_Fig7_HTML.jpg
https://cdn.ncbi.nlm.nih.gov/pmc/blobs/2d77/5688089/d2fa10a347f4/41467_2017_1527_Fig8_HTML.jpg

相似文献

1
DJ-1 controls bone homeostasis through the regulation of osteoclast differentiation.DJ-1 通过调节破骨细胞分化来控制骨内稳态。
Nat Commun. 2017 Nov 15;8(1):1519. doi: 10.1038/s41467-017-01527-y.
2
Fyn positively regulates the activation of DAP12 and FcRγ-mediated costimulatory signals by RANKL during osteoclastogenesis.Fyn 通过 RANKL 在破骨细胞生成过程中正向调节 DAP12 和 FcRγ 介导的共刺激信号的激活。
Cell Signal. 2012 Jun;24(6):1306-14. doi: 10.1016/j.cellsig.2012.02.014. Epub 2012 Feb 25.
3
Dual Oxidase Maturation Factor 1 Positively Regulates RANKL-Induced Osteoclastogenesis via Activating Reactive Oxygen Species and TRAF6-Mediated Signaling.双氧化酶成熟因子 1 通过激活活性氧和 TRAF6 介导的信号正向调节 RANKL 诱导的破骨细胞生成。
Int J Mol Sci. 2020 Sep 3;21(17):6416. doi: 10.3390/ijms21176416.
4
RANKL cytokine enhances TNF-induced osteoclastogenesis independently of TNF receptor associated factor (TRAF) 6 by degrading TRAF3 in osteoclast precursors.核因子κB受体激活因子配体(RANKL)细胞因子通过降解破骨细胞前体中的肿瘤坏死因子受体相关因子3(TRAF3),独立于肿瘤坏死因子受体相关因子6(TRAF6)增强肿瘤坏死因子(TNF)诱导的破骨细胞生成。
J Biol Chem. 2017 Jun 16;292(24):10169-10179. doi: 10.1074/jbc.M116.771816. Epub 2017 Apr 24.
5
Receptor activator of NF-kappa B ligand stimulates recruitment of SHP-1 to the complex containing TNFR-associated factor 6 that regulates osteoclastogenesis.核因子κB受体激活剂配体刺激含肿瘤坏死因子受体相关因子6的复合物募集含Src同源2结构域蛋白酪氨酸磷酸酶-1,该复合物调节破骨细胞生成。
J Immunol. 2003 Oct 1;171(7):3620-6. doi: 10.4049/jimmunol.171.7.3620.
6
Maslinic acid suppresses osteoclastogenesis and prevents ovariectomy-induced bone loss by regulating RANKL-mediated NF-κB and MAPK signaling pathways.马粟酸通过调节 RANKL 介导的 NF-κB 和 MAPK 信号通路抑制破骨细胞生成,预防卵巢切除诱导的骨丢失。
J Bone Miner Res. 2011 Mar;26(3):644-56. doi: 10.1002/jbmr.242.
7
Neogambogic Acid Suppresses Receptor Activator of Nuclear Factor κB Ligand (RANKL)-Induced Osteoclastogenesis by Inhibiting the JNK and NF-κB Pathways in Mouse Bone Marrow-Derived Monocyte/Macrophages.新藤黄酸通过抑制小鼠骨髓来源的单核/巨噬细胞中的 JNK 和 NF-κB 通路抑制核因子 κB 受体激活剂配体 (RANKL)诱导的破骨细胞生成。
Med Sci Monit. 2018 Apr 26;24:2569-2577. doi: 10.12659/MSM.909651.
8
Methylsulfonylmethane Inhibits RANKL-Induced Osteoclastogenesis in BMMs by Suppressing NF-κB and STAT3 Activities.甲基磺酰甲烷通过抑制NF-κB和STAT3活性来抑制RANKL诱导的骨髓巨噬细胞破骨细胞生成。
PLoS One. 2016 Jul 22;11(7):e0159891. doi: 10.1371/journal.pone.0159891. eCollection 2016.
9
Licorice isoliquiritigenin suppresses RANKL-induced osteoclastogenesis in vitro and prevents inflammatory bone loss in vivo.甘草异甘草素抑制体外 RANKL 诱导的破骨细胞生成,并防止体内炎症性骨丢失。
Int J Biochem Cell Biol. 2012 Jul;44(7):1139-52. doi: 10.1016/j.biocel.2012.04.003. Epub 2012 Apr 12.
10
NADPH oxidase gp91 contributes to RANKL-induced osteoclast differentiation by upregulating NFATc1.NADPH 氧化酶 gp91 通过上调 NFATc1 促进 RANKL 诱导的破骨细胞分化。
Sci Rep. 2016 Nov 29;6:38014. doi: 10.1038/srep38014.

引用本文的文献

1
Biomaterial-based strategies for bone cement: modulating the bone microenvironment and promoting regeneration.基于生物材料的骨水泥策略:调节骨微环境并促进再生。
J Nanobiotechnology. 2025 May 13;23(1):343. doi: 10.1186/s12951-025-03363-5.
2
Curculigoside is a Promising Osteoprotective Agent for Osteoporosis: Review.仙茅苷是一种有前景的骨质疏松症骨保护剂:综述。
Drug Des Devel Ther. 2025 Apr 28;19:3323-3336. doi: 10.2147/DDDT.S519174. eCollection 2025.
3
Phospholipase C β4 promotes RANKL-dependent osteoclastogenesis by interacting with MKK3 and p38 MAPK.

本文引用的文献

1
Contradictory Role of CD97 in Basal and Tumor Necrosis Factor-Induced Osteoclastogenesis In Vivo.CD97 在体内基础和肿瘤坏死因子诱导的破骨细胞生成中的矛盾作用。
Arthritis Rheumatol. 2016 May;68(5):1301-13. doi: 10.1002/art.39538.
2
DJ-1 links muscle ROS production with metabolic reprogramming and systemic energy homeostasis in mice.DJ-1将小鼠肌肉活性氧生成与代谢重编程及全身能量稳态联系起来。
Nat Commun. 2015 Jun 16;6:7415. doi: 10.1038/ncomms8415.
3
DJ-1 knockout augments disease severity and shortens survival in a mouse model of ALS.
磷脂酶Cβ4通过与MKK3和p38丝裂原活化蛋白激酶相互作用促进RANKL依赖的破骨细胞生成。
Exp Mol Med. 2025 Feb;57(2):323-334. doi: 10.1038/s12276-025-01390-8. Epub 2025 Feb 3.
4
Unique expression and critical role of metallothionein 3 in the control of osteoclastogenesis and osteoporosis.金属硫蛋白 3 的独特表达及其在破骨细胞生成和骨质疏松症控制中的关键作用。
Exp Mol Med. 2024 Aug;56(8):1791-1806. doi: 10.1038/s12276-024-01290-3. Epub 2024 Aug 1.
5
Garcinone C attenuates RANKL-induced osteoclast differentiation and oxidative stress by activating Nrf2/HO-1 and inhibiting the NF-kB signaling pathway.藤黄诺酮C通过激活Nrf2/HO-1并抑制NF-κB信号通路来减轻RANKL诱导的破骨细胞分化和氧化应激。
Heliyon. 2024 Feb 1;10(3):e25601. doi: 10.1016/j.heliyon.2024.e25601. eCollection 2024 Feb 15.
6
S-Nitrosylation-mediated coupling of DJ-1 with PTEN induces PI3K/AKT/mTOR pathway-dependent keloid formation.S-亚硝基化介导的DJ-1与PTEN偶联诱导PI3K/AKT/mTOR通路依赖性瘢痕疙瘩形成。
Burns Trauma. 2023 Dec 18;11:tkad024. doi: 10.1093/burnst/tkad024. eCollection 2023.
7
Advances in the study of traditional Chinese medicine affecting bone metabolism through modulation of oxidative stress.通过调节氧化应激影响骨代谢的中医研究进展
Front Pharmacol. 2023 Nov 1;14:1235854. doi: 10.3389/fphar.2023.1235854. eCollection 2023.
8
DCIR suppresses osteoclastic proliferation and resorption by downregulating M-CSF and RANKL signaling.DCIR 通过下调 M-CSF 和 RANKL 信号抑制破骨细胞的增殖和吸收。
Front Immunol. 2023 May 17;14:1159058. doi: 10.3389/fimmu.2023.1159058. eCollection 2023.
9
Denosumab Is Superior to Raloxifene in Lowering Risks of Mortality and Ischemic Stroke in Osteoporotic Women.在降低骨质疏松症女性的死亡风险和缺血性中风风险方面,地诺单抗优于雷洛昔芬。
Pharmaceuticals (Basel). 2023 Feb 1;16(2):222. doi: 10.3390/ph16020222.
10
Transformation of arginine into zero-dimensional nanomaterial endows the material with antibacterial and osteoinductive activity.精氨酸转化为零维纳米材料赋予了该材料抗菌和骨诱导活性。
Sci Adv. 2023 May 26;9(21):eadf8645. doi: 10.1126/sciadv.adf8645.
DJ-1基因敲除会加重肌萎缩侧索硬化症小鼠模型的疾病严重程度并缩短生存期。
PLoS One. 2015 Mar 30;10(3):e0117190. doi: 10.1371/journal.pone.0117190. eCollection 2015.
4
DJ-1 as a human oncogene and potential therapeutic target.DJ-1作为一种人类癌基因和潜在的治疗靶点。
Biochem Pharmacol. 2015 Feb 1;93(3):241-50. doi: 10.1016/j.bcp.2014.11.012. Epub 2014 Dec 11.
5
Gender- and region-specific alterations in bone metabolism in Scarb1-null female mice.Scarb1 基因敲除雌性小鼠骨代谢的性别和区域特异性改变。
J Endocrinol. 2014 Aug;222(2):277-88. doi: 10.1530/JOE-14-0147. Epub 2014 Jun 13.
6
DJ-1 contributes to adipogenesis and obesity-induced inflammation.DJ-1参与脂肪生成和肥胖诱导的炎症反应。
Sci Rep. 2014 Jun 13;4:4805. doi: 10.1038/srep04805.
7
Osteoporosis in men: epidemiology and treatment with denosumab.男性骨质疏松症:流行病学和地舒单抗治疗。
Clin Interv Aging. 2014 Apr 8;9:593-601. doi: 10.2147/CIA.S51940. eCollection 2014.
8
DJ-1/park7 modulates vasorelaxation and blood pressure via epigenetic modification of endothelial nitric oxide synthase.DJ-1/park7 通过内皮型一氧化氮合酶的表观遗传修饰调节血管舒张和血压。
Cardiovasc Res. 2014 Mar 1;101(3):473-81. doi: 10.1093/cvr/cvt274. Epub 2013 Dec 9.
9
Regulation of protein tyrosine phosphatase oxidation in cell adhesion and migration.细胞黏附与迁移过程中蛋白质酪氨酸磷酸酶氧化的调控
Antioxid Redox Signal. 2014 May 1;20(13):1994-2010. doi: 10.1089/ars.2013.5643. Epub 2014 Mar 10.
10
DJ-1 facilitates the interaction between STAT1 and its phosphatase, SHP-1, in brain microglia and astrocytes: A novel anti-inflammatory function of DJ-1.DJ-1 促进了脑小胶质细胞和星形胶质细胞中 STAT1 与其磷酸酶 SHP-1 的相互作用:DJ-1 的新抗炎功能。
Neurobiol Dis. 2013 Dec;60:1-10. doi: 10.1016/j.nbd.2013.08.007. Epub 2013 Aug 20.