Suppr超能文献

伴多器官受累的冯·希佩尔-林道病:一例报告及8年随访临床病程

Von Hippel-Lindau Disease With Multi-Organ Involvement: A Case Report and 8-Year Clinical Course With Follow-Up.

作者信息

Yaghobi Joybari Ali, Azadeh Payam

机构信息

Department of Radiation Oncology, School of Medicine, Shahid Beheshti University of Medical Science, Tehran, Iran.

出版信息

Am J Case Rep. 2017 Nov 17;18:1220-1224. doi: 10.12659/ajcr.907356.

Abstract

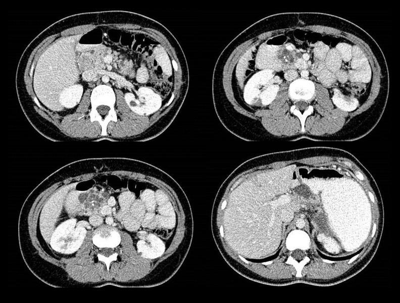
BACKGROUND Von Hippel-Lindau (VHL) disease is a rare autosomal dominant syndrome manifested by a spectrum of benign and malignant tumors.  CASE REPORT The patient presented here was a 31-year-old female with unremarkable family history who presented initially complaining of intermittent abdominal pain. Abdominal CT scan revealed an inhomogeneous solid mass (13×9×7 cm) originating from the tail of the pancreas with splenic and gastric invasion as well as several pancreatic cysts. A nucleotide scan showed left adrenal involvement. The patient underwent tumor resection, splenectomy, partial gastrectomy, and left adrenalectomy. Histopathologic examination reported well-differentiated neuroendocrine carcinoma with low malignant potential of the tumor with splenic and adrenal involvement. Pancreatic cysts had benign component.  Three years later, follow-up abdominal CT showed heterogeneously-enhanced solid nodules in both kidneys found to be renal cell carcinoma (RCC) on biopsy. At the same time, brain MRI showed cerebellar hemangioblastomas. Partial nephrectomy was done. Molecular genetic testing for demonstrated NM_000551.3:c.481C > T (p.R161* CGA>TGA), which has been reported previously in VHL disease. The next year, she developed peritonitis, which found to be the result of a perforated gastric ulcer. Histopathologic examination of the ulcer revealed neuroendocrine carcinoma. Then, the next year, a brain MRI revealed 4 solid and enhanced nodules in the cerebellum, suggesting multiple hemangioblastomas. Octreotide (Sandostatin® LAR) and everolimus (Afinitor®) were started for the patient. At the last visit, the patient was asymptomatic with acceptable condition.    CONCLUSIONS Here, we present a young patient with pancreatic neuroendocrine tumor as the first presentation of VHL without a remarkable family history for VHL disease. The patient developed RCC, renal cysts, cardiomegaly, and brain hemangioblastomas during the 8-year follow-up. Regular follow-up with imaging (ultrasound, CT, MRI) are necessary to follow the previous lesions and detect any newly-developed VHL-associate tumors.

摘要

背景 冯希佩尔-林道(VHL)病是一种罕见的常染色体显性综合征,表现为一系列良性和恶性肿瘤。

病例报告 本文介绍的患者是一名31岁女性,家族史无异常,最初因间歇性腹痛就诊。腹部CT扫描显示一个不均匀实性肿块(13×9×7 cm),起源于胰尾,侵犯脾脏和胃,还有几个胰腺囊肿。核苷酸扫描显示左肾上腺受累。患者接受了肿瘤切除术、脾切除术、部分胃切除术和左肾上腺切除术。组织病理学检查报告为高分化神经内分泌癌,肿瘤恶性潜能低,累及脾脏和肾上腺。胰腺囊肿有良性成分。

三年后,腹部CT随访显示双肾有不均匀强化的实性结节,活检发现为肾细胞癌(RCC)。同时,脑部MRI显示小脑成血管细胞瘤。进行了部分肾切除术。分子基因检测显示为NM_000551.3:c.481C>T(p.R161* CGA>TGA),此前在VHL病中已有报道。次年,她发生了腹膜炎,发现是胃溃疡穿孔所致。溃疡的组织病理学检查显示为神经内分泌癌。然后,又过了一年,脑部MRI显示小脑有4个实性强化结节,提示多发成血管细胞瘤。开始为患者使用奥曲肽(善龙®长效注射剂)和依维莫司(飞尼妥®)。在最后一次就诊时,患者无症状,情况尚可。

结论 在此,我们介绍了一名年轻患者,以胰腺神经内分泌肿瘤为VHL病的首发表现,且无明显的VHL病家族史。该患者在8年随访期间发生了肾细胞癌、肾囊肿、心脏肥大和脑成血管细胞瘤。定期进行影像学(超声、CT、MRI)随访对于追踪既往病变和发现任何新发生的VHL相关肿瘤很有必要。

https://cdn.ncbi.nlm.nih.gov/pmc/blobs/0c61/5701459/0359d9d263ce/amjcaserep-18-1220-g001.jpg

文献AI研究员

20分钟写一篇综述,助力文献阅读效率提升50倍。

立即体验

用中文搜PubMed

大模型驱动的PubMed中文搜索引擎

马上搜索

文档翻译

学术文献翻译模型,支持多种主流文档格式。

立即体验