Suppr超能文献

孤立性后踝骨折与下胫腓联合不稳:1例病例报告及文献复习

The isolated posterior malleolar fracture and syndesmotic instability: A case report and review of the literature.

作者信息

Smeeing Diederik P J, Houwert Roderick M, Kruyt Moyo C, Hietbrink Falco

机构信息

Traumacenter Utrecht, Utrecht, The Netherlands; Department of Surgery, University Medical Center Utrecht, Utrecht, The Netherlands.

Traumacenter Utrecht, Utrecht, The Netherlands; Department of Surgery, St Antonius Hospital Nieuwegein, The Netherlands.

出版信息

Int J Surg Case Rep. 2017;41:360-365. doi: 10.1016/j.ijscr.2017.10.062. Epub 2017 Nov 13.

Abstract

INTRODUCTION

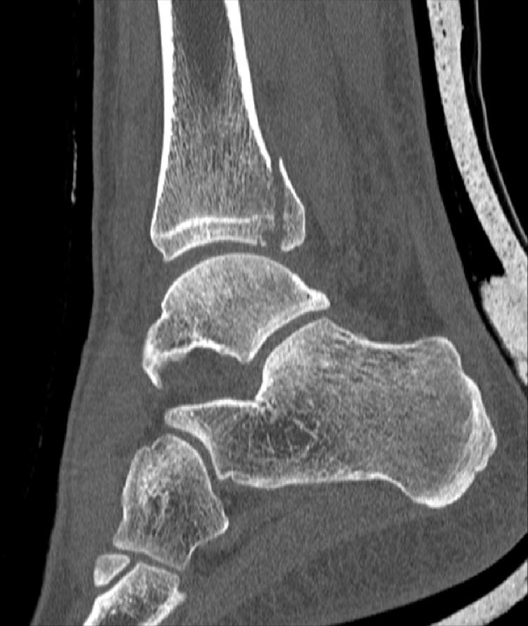
Ankle fractures are among the most common type of fractures in the lower extremity. A posterior malleolar fracture is frequently part of a more complex ankle fracture and only in rare cases it occurs as isolated injury. Posterior malleolar fractures often occur with associated injuries, such as a Maisonneuve fracture or with bi- or trimalleolar ligamentous injuries. Knowledge about these associated injuries is essential to prevent missed diagnoses. The aim of this article is to describe the isolated posterior malleolar fracture, the possible associated injuries, the diagnostic work-up and therapeutic consequences.

PRESENTATION OF CASE

We present a case of a 26-year-old male patient who sustained an isolated posterior malleolar fracture with 4.5 years follow-up.

DISCUSSION

Isolated fractures of the posterior malleolus are uncommon injuries. Diagnosis, treatment and outcome can seldom be extracted from large series. However, several cases have been described in literature, which we have summarized.

CONCLUSION

This case report and literature review shows that isolated posterior malleolar fractures might occur as part of a more complex ankle injury, in combination with a fracture of the lower leg or after high energy trauma. Physicians should be aware of these associated injuries. Diagnostic work-up should include X-rays of the knee and lower leg and a CT scan of the ankle. If diagnosed and treated properly, isolated posterior malleolar fractures have a good long-term functional outcome.

摘要

引言

踝关节骨折是下肢最常见的骨折类型之一。后踝骨折常是更复杂踝关节骨折的一部分,仅在极少数情况下作为孤立损伤发生。后踝骨折常伴有相关损伤,如 Maisonneuve 骨折或双踝或三踝韧带损伤。了解这些相关损伤对于防止漏诊至关重要。本文旨在描述孤立性后踝骨折、可能的相关损伤、诊断检查及治疗结果。

病例介绍

我们报告一例 26 岁男性患者,其发生孤立性后踝骨折,随访 4.5 年。

讨论

孤立性后踝骨折是少见的损伤。很少能从大型系列研究中得出诊断、治疗及结果。然而,文献中已有数例描述,我们进行了总结。

结论

本病例报告及文献综述表明,孤立性后踝骨折可能作为更复杂踝关节损伤的一部分出现,与小腿骨折合并发生或在高能创伤后出现。医生应了解这些相关损伤。诊断检查应包括膝关节和小腿的 X 光片以及踝关节的 CT 扫描。如果诊断和治疗得当,孤立性后踝骨折具有良好的长期功能预后。

https://cdn.ncbi.nlm.nih.gov/pmc/blobs/fb3c/5695917/9b2f157f8f44/gr1.jpg

文献检索

告别复杂PubMed语法,用中文像聊天一样搜索,搜遍4000万医学文献。AI智能推荐,让科研检索更轻松。

立即免费搜索

文件翻译

保留排版,准确专业,支持PDF/Word/PPT等文件格式,支持 12+语言互译。

免费翻译文档

深度研究

AI帮你快速写综述,25分钟生成高质量综述,智能提取关键信息,辅助科研写作。

立即免费体验