Suppr超能文献

基于相对和绝对定量的等压标记物对经短暂阴囊高温处理的恒河猴睾丸活检组织进行蛋白质组学分析

Isobaric tags for relative and absolute quantification-based proteomic analysis of testis biopsies in rhesus monkeys treated with transient scrotal hyperthermia.

作者信息

Rao Meng, Ma Sha, Hu Shifu, Lei Hui, Wu Yanqing, Zhou Yanfei, Xia Wei, Zhu Changhong

机构信息

Family Planning Research Institute, Tongji Medical College, Huazhong University of Science and Technology, Wuhan, China.

Department of Reproduction and Genetics, The First Affiliated Hospital of Kunming Medical University, Kunming, China.

出版信息

Oncotarget. 2017 Sep 8;8(49):85909-85925. doi: 10.18632/oncotarget.20719. eCollection 2017 Oct 17.

Abstract

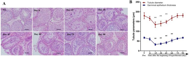
This study aimed to examine the cellular and molecular events that occur in rhesus monkey testes after scrotal hyperthermia. Eight male adult rhesus monkeys were subjected to scrotal hyperthermia at 43°C for 30 min daily for 6 consecutive days. Sperm concentration, reproductive hormones, and testis histology were examined before hyperthermia (day 0), and at 8, 15, 30, 45, 60, 75, and 90 days after the initiation of hyperthermia. iTRAQ-based proteomic analysis was conducted on testicular tissues collected on days 0, 8, and 60 to identify differentially expressed proteins at the early and recovery stages of testicular damage. The sperm concentration was significantly decreased at days 30 and 45 after treatment ( < 0.01) and recovered to baseline at day 60. When compared with day 0, 101 and 24 differentially expressed proteins were identified at days 8 and 60 after heat treatment, respectively. The molecular functions of the differentially expressed proteins at day 8 were mainly nucleic acid binding, unfolded protein binding, nucleotide binding, and nucleoside phosphate binding. Spliceosome was enriched as the most significant pathway at day 8. CIRBP, PSIP1, Sam68, and Decorin were validated and found to be consistent with the proteomic data, indicating the reliability of the proteomic profiles identified in this study. In summary, we suggest that the proteins identified in this study may play important roles in heat-induced spermatogenic impairment. Some of these proteins, such as CIRBP, PSIP1, Sam68, and Decorin, may be early molecular targets responsible for spermatogenesis suppression induced by heat treatment.

摘要

本研究旨在探讨恒河猴睾丸在阴囊高温后发生的细胞和分子事件。8只成年雄性恒河猴每天在43°C下进行阴囊高温处理30分钟,连续6天。在高温处理前(第0天)以及高温处理开始后的第8、15、30、45、60、75和90天,检测精子浓度、生殖激素和睾丸组织学。对在第0、8和60天收集的睾丸组织进行基于iTRAQ的蛋白质组学分析,以鉴定睾丸损伤早期和恢复阶段差异表达的蛋白质。处理后第30天和第45天精子浓度显著降低(<0.01),并在第60天恢复到基线水平。与第0天相比,热处理后第8天和第60天分别鉴定出101种和24种差异表达蛋白质。第8天差异表达蛋白质的分子功能主要为核酸结合、未折叠蛋白结合、核苷酸结合和核苷磷酸结合。剪接体在第8天作为最显著的通路被富集。对CIRBP、PSIP1、Sam68和核心蛋白聚糖进行了验证,发现与蛋白质组学数据一致,表明本研究鉴定的蛋白质组图谱具有可靠性。总之,我们认为本研究中鉴定的蛋白质可能在热诱导的生精障碍中发挥重要作用。其中一些蛋白质,如CIRBP、PSIP1、Sam68和核心蛋白聚糖,可能是热处理诱导生精抑制的早期分子靶点。

https://cdn.ncbi.nlm.nih.gov/pmc/blobs/3e3c/5689656/0b8e135af658/oncotarget-08-85909-g001.jpg

文献AI研究员

20分钟写一篇综述,助力文献阅读效率提升50倍。

立即体验

用中文搜PubMed

大模型驱动的PubMed中文搜索引擎

马上搜索

文档翻译

学术文献翻译模型,支持多种主流文档格式。

立即体验