Suppr超能文献

一名64岁马拉松运动员膝关节外侧间室的软骨下骨不全骨折

Subchondral Insufficiency Fracture in the Lateral Compartment of the Knee in a 64-Year-Old Marathon Runner.

作者信息

An Vincent Vg, Broek Mathias van den, Oussedik Sam

机构信息

Faculty of Medicine, University of Sydney, Sydney, Australia.

Department of Orthopaedics, University College London Hospitals NHS Trust, London, UK.

出版信息

Knee Surg Relat Res. 2017 Dec 1;29(4):325-328. doi: 10.5792/ksrr.17.049.

Abstract

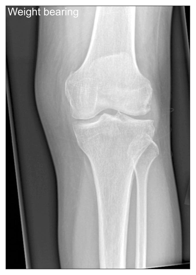
A 64-year-old marathon runner presented to our clinic with a history of worsening pain in her left knee. Following magnetic resonance imaging, the diagnosis of subchondral insufficiency fracture of the knee (SIFK) was made. A course of conservative management via bisphosphonates was initiated. The patient successfully recovered and returned to full athletic function, having recently returned to competitive marathon running. This article aims to present this unusual case of lateral compartment SIFK and summarise the literature on this uncommon condition.

摘要

一名64岁的马拉松运动员因左膝疼痛加重前来我院就诊。经磁共振成像检查后,诊断为膝关节软骨下不全骨折(SIFK)。开始了通过双膦酸盐进行的保守治疗疗程。患者成功康复并恢复了全部运动功能,最近已重返马拉松比赛。本文旨在介绍这例罕见的外侧间室SIFK病例,并总结关于这种罕见病症的文献。

https://cdn.ncbi.nlm.nih.gov/pmc/blobs/c3e0/5718795/1f5031c220a5/ksrr-29-325f1.jpg

文献AI研究员

20分钟写一篇综述,助力文献阅读效率提升50倍。

立即体验

用中文搜PubMed

大模型驱动的PubMed中文搜索引擎

马上搜索

文档翻译

学术文献翻译模型,支持多种主流文档格式。

立即体验