Zhang Ying, Jia Linpei, Zhang Ying, Ji Wei, Li Hai
Department of Pathology, China-Japan Union Hospital of Jilin University, Changchun 130033, P.R. China.
Department of Nephrology, Xuanwu Hospital, Capital Medical University, Beijing 100000, P.R. China.
Oncotarget. 2017 Oct 24;8(56):96313-96322. doi: 10.18632/oncotarget.22029. eCollection 2017 Nov 10.
We aimed to explore the expression of forkhead box class O (FOXO) and relations between expressions of FOXOs and clinicopathological characteristics and prognosis of bladder cancer.
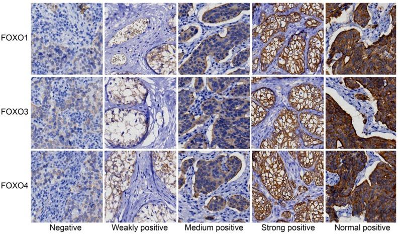
We enrolled a cohort of 276 patients with bladder cancer in our study. Expressions of FOXOs in bladder cancer tissue and adjacent tissue were measured by quantitative real-time polymerase chain reaction (qRT-PCR) and immunohistochemistry (IHC). Correlations between expression of FOXOs and clinicopathological characteristics and prognosis were analyzed. The relationship between expression of FOXOs and survival time of patients with bladder cancer was analyzed by the Kaplan-Meier survival analysis and the Log-rank test; individual variables which may affect the prognosis of bladder cancer were detected by the Cox proportional hazard regression model.
Compared with bladder cancer tissue, a higher expression of FOXOs was detected in paracancerous tissue. We found significant associations between histological grade and the expressions of FOXOs, clinical stage and the expressions of FOXOs, and lymph node metastasis and the expressions of FOXOs (all < 0.05). When used for diagnosing bladder cancer, the mRNA expression of FOXO1/3/4 produced cut off values of 1.475, 1.305, and 1.295, respectively, exhibiting relatively high specificity and sensitivity. The Kaplan-Meier curves indicated that patients with a higher expression of FOXOs tended to have a longer overall survival than those with lower expression. The Cox regression analysis revealed that lymph node metastasis, high clinical stage, and low expression of FOXOs were independent risk factors for bladder cancer prognosis.
Our results indicate that the expression of FOXOs is closely correlated with clinicopathological characteristics and prognosis of bladder cancer.
我们旨在探讨叉头框O类(FOXO)的表达以及FOXOs表达与膀胱癌临床病理特征和预后之间的关系。
我们纳入了276例膀胱癌患者进行研究。通过定量实时聚合酶链反应(qRT-PCR)和免疫组织化学(IHC)检测膀胱癌组织和癌旁组织中FOXOs的表达。分析FOXOs表达与临床病理特征和预后之间的相关性。通过Kaplan-Meier生存分析和Log-rank检验分析FOXOs表达与膀胱癌患者生存时间的关系;通过Cox比例风险回归模型检测可能影响膀胱癌预后的个体变量。
与膀胱癌组织相比,癌旁组织中检测到更高的FOXOs表达。我们发现组织学分级与FOXOs表达、临床分期与FOXOs表达以及淋巴结转移与FOXOs表达之间存在显著关联(均P<0.05)。当用于诊断膀胱癌时,FOXO1/3/4的mRNA表达产生的截断值分别为1.475、1.305和1.295,表现出相对较高的特异性和敏感性。Kaplan-Meier曲线表明,FOXOs表达较高的患者总体生存期往往比表达较低的患者更长。Cox回归分析显示,淋巴结转移、高临床分期和FOXOs低表达是膀胱癌预后的独立危险因素。
我们的结果表明,FOXOs的表达与膀胱癌的临床病理特征和预后密切相关。