Department of Cardiology, Union Hospital, Tongji Medical College, Huazhong University of Science and Technology, Wuhan, 430000, China.
Clinic Center of Human Gene Research, Union Hospital, Tongji Medical College, Huazhong University of Science and Technology, Wuhan, 430000, China.
Nat Commun. 2017 Dec 11;8(1):2049. doi: 10.1038/s41467-017-02229-1.
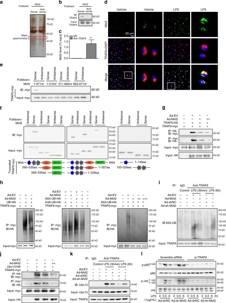
Toll-like receptors (TLRs) are a family of pattern recognition receptors (PRR) with a crucial function in innate immune responses. Activation of TLR4 signaling at the plasma membrane by lipopolysaccharide (LPS) stimulates proinflammatory signaling pathways dependent on the E3 ubiquitin ligase TRAF6. Here we show the LPS-induced long non-coding RNA (lncRNA) Mirt2 functions as a checkpoint to prevent aberrant activation of inflammation, and is a potential regulator of macrophage polarization. Mirt2 associates with, and attenuates Lys63 (K63)-linked ubiquitination of, TRAF6, thus inhibiting activation of NF-κB and MAPK pathways and limiting production of proinflammatory cytokines. Adenovirus mediated gene transfer of Mirt2 protects mice from endotoxemia induced fatality and multi-organ dysfunction. These findings identify lncRNA Mirt2 as a negative feedback regulator of excessive inflammation.
Toll 样受体 (TLRs) 是一类模式识别受体 (PRR),在先天免疫反应中具有关键作用。脂多糖 (LPS) 通过质膜上的 TLR4 信号激活,刺激依赖 E3 泛素连接酶 TRAF6 的促炎信号通路。在这里,我们表明 LPS 诱导的长非编码 RNA (lncRNA) Mirt2 作为一个检查点,防止炎症的异常激活,并且是巨噬细胞极化的潜在调节剂。Mirt2 与 TRAF6 结合,并减弱 Lys63 (K63)-连接的泛素化,从而抑制 NF-κB 和 MAPK 通路的激活,并限制促炎细胞因子的产生。Mirt2 的腺相关病毒介导的基因转移可保护小鼠免受内毒素血症诱导的致死性和多器官功能障碍。这些发现确定 lncRNA Mirt2 是过度炎症的负反馈调节剂。