Suppr超能文献

CT 中的心包膈静脉的识别。

Identification of the pericardiacophrenic vein on CT.

机构信息

Department of Radiology, Nagoya City University, Graduate School of Medical Sciences, 1 Kawasumi, Mizuho-cho, Mizuho-ku, Nagoya, 467-8601, Japan.

Department of Radiology, Nagoya City West Medical Center, Nagoya, Japan.

出版信息

Cancer Imaging. 2018 Jan 5;18(1):1. doi: 10.1186/s40644-017-0134-4.

Abstract

BACKGROUND

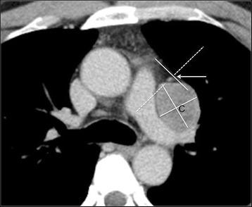
To evaluate the depictability of pericardiacophrenic veins (PCPV) as landmarks for the location of the phrenic nerves on multi-detector-row computed tomography (MDCT), and to investigate the usefulness of depicting the PCPV to aid differential diagnosis of anterior mediastinal lesions.

METHODS

Fifty-six patients with anterior mediastinal lesions (Fifty lesions originated from the thymus, six were of non-thymic origin) were evaluated. Contrast-enhanced CT scans of the chest were performed in all cases before diagnosis, and 22 of these scans were performed with electrocardiographic (ECG) gating. Two chest radiologists assessed the depictability of the PCPV and the positional relationship between the center of each anterior mediastinal lesion and the ipsilateral PCPV.

RESULTS

The use of ECG gating increased the PCPV depiction rate in the lower left part of the mediastinum. The depiction rate of the left PCPV was significantly higher than that of the right PCPV. All 50 tumors of thymic origin and 3 of the 6 tumors of non-thymic origin were located on the medial side of the ipsilateral PCPV. The 3 lesions located on the lateral side of the ipsilateral PCPV were of non-thymic origin (p = 0.0007).

CONCLUSION

The use of ECG gating during MDCT may improve the depictability of the PCPV in the lower left section of the anterior mediastinum. Solitary anterior mediastinal lesions located on the lateral side of the ipsilateral PCPV are likely to be of non-thymic origin.

摘要

背景

评估心包膈(PCPV)静脉作为膈神经位置的标志在多排螺旋 CT(MDCT)上的可描绘性,并研究描绘 PCPV 对辅助前纵隔病变的鉴别诊断的有用性。

方法

评估了 56 例前纵隔病变患者(50 例起源于胸腺,6 例为非胸腺起源)。所有病例均在诊断前进行了胸部增强 CT 扫描,其中 22 例进行了心电图(ECG)门控扫描。两位胸部放射科医生评估了 PCPV 的可描绘性以及每个前纵隔病变的中心与同侧 PCPV 之间的位置关系。

结果

使用 ECG 门控技术增加了中下纵隔部分 PCPV 的描绘率。左 PCPV 的描绘率明显高于右 PCPV。所有 50 例起源于胸腺的肿瘤和 6 例非胸腺起源的肿瘤均位于同侧 PCPV 的内侧。同侧 PCPV 外侧的 3 个病变为非胸腺起源(p = 0.0007)。

结论

在 MDCT 期间使用 ECG 门控可能会提高中下纵隔前部分 PCPV 的可描绘性。位于同侧 PCPV 外侧的孤立性前纵隔病变可能是非胸腺起源的。

https://cdn.ncbi.nlm.nih.gov/pmc/blobs/c4a5/5756428/77b497a29375/40644_2017_134_Fig1_HTML.jpg

文献AI研究员

20分钟写一篇综述,助力文献阅读效率提升50倍。

立即体验

用中文搜PubMed

大模型驱动的PubMed中文搜索引擎

马上搜索

文档翻译

学术文献翻译模型,支持多种主流文档格式。

立即体验