Suppr超能文献

右位心合并内脏正位患者起源于主动脉窦的室性早搏的导管消融:一例报告

Catheter ablation of premature ventricular contractions originating from aortic sinus cusps in a patient with dextrocardia and situs solitus: A case report.

作者信息

Chen Chao-Feng, Liu Xiao-Hua, Gao Xiao-Fei, Chen Bin, Xu Yi-Zhou

机构信息

Hangzhou First People's Hospital, Nanjing Medical University, Zhejiang Chinese Medical University, Shangcheng District, Hangzhou, Zhejiang, China.

出版信息

Medicine (Baltimore). 2017 Dec;96(48):e8947. doi: 10.1097/MD.0000000000008947.

Abstract

BACKGROUND

Premature ventricular contractions (PVCs) originating from aortic sinus cusps is not infrequent and can be eliminated effectively by radiofrequency ablation with rare complications. However, after a review of the medical literature, and to our knowledge, this is the first case of successful idiopathic aortic sinus cusps-PVC-ablation using a 3-dimensional (3D) mapping system in an adult with dextrocardia.

METHODS

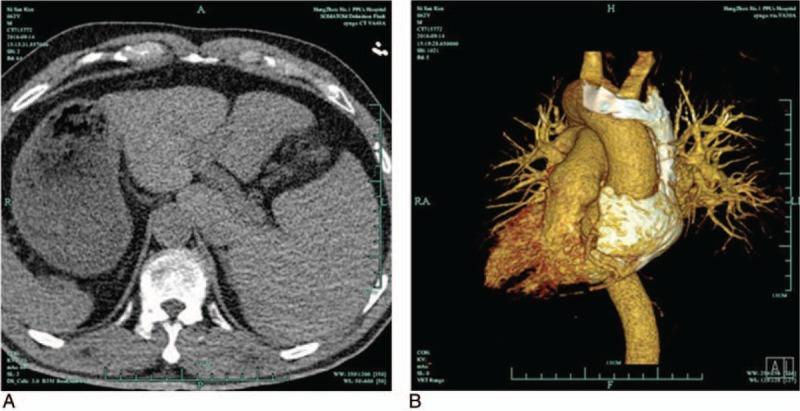
A 62-year-old male with dextrocardia and situs inversus underwent catheter ablation of frequent PVCs. The electrocardiograms (ECG) were recorded by placement of the electrodes in reversed positions. The PVCs exhibited left bundle branch block and inferior axis QRS morphology with transition at leads V2-V3. The activation mapping indicated the earliest site of ventricular activation between the left and right aortic sinus cusps, highlighting that catheter ablation was successful at this point.

RESULTS

The catheter ablation was successful between the left and right aortic sinus cusps, and the PVCs were not detected for the subsequent 30 min following the procedure as well as for the rest of the hospital stay.

CONCLUSION

Combined with ECG electrodes in reversed positions and 3D electroanatomical mapping system, catheter ablation of PVCs originating from aortic sinus cusps in patients with dextrocardia can be safely and effectively performed.

摘要

背景

起源于主动脉窦瓣叶的室性早搏并不少见,可通过射频消融有效消除,且并发症罕见。然而,经查阅医学文献,据我们所知,这是首例在成年右位心患者中使用三维(3D)标测系统成功进行特发性主动脉窦瓣叶室性早搏消融的病例。

方法

一名62岁右位心且内脏反位的男性接受了频繁室性早搏的导管消融。心电图(ECG)通过将电极置于反向位置进行记录。室性早搏表现为左束支传导阻滞和下轴QRS形态,在V2 - V3导联出现过渡区。激动标测显示心室激动最早部位位于左、右主动脉窦瓣叶之间,表明此时导管消融成功。

结果

导管消融在左、右主动脉窦瓣叶之间成功完成,术后30分钟及住院期间其余时间均未检测到室性早搏。

结论

结合反向放置的心电图电极和三维电解剖标测系统,右位心患者起源于主动脉窦瓣叶的室性早搏导管消融可安全、有效地进行。

https://cdn.ncbi.nlm.nih.gov/pmc/blobs/2241/5728792/cb1e136c7015/medi-96-e8947-g001.jpg

文献AI研究员

20分钟写一篇综述,助力文献阅读效率提升50倍。

立即体验

用中文搜PubMed

大模型驱动的PubMed中文搜索引擎

马上搜索

文档翻译

学术文献翻译模型,支持多种主流文档格式。

立即体验