Suppr超能文献

TRPC6介导的ERK1/2激活通过大鼠海马中亚细胞Kv4.3定位调节神经元兴奋性。

TRPC6-mediated ERK1/2 Activation Regulates Neuronal Excitability via Subcellular Kv4.3 Localization in the Rat Hippocampus.

作者信息

Kim Ji-Eun, Park Jin-Young, Kang Tae-Cheon

机构信息

Department of Anatomy and Neurobiology, Institute of Epilepsy Research, College of Medicine, Hallym University, Chuncheon, South Korea.

出版信息

Front Cell Neurosci. 2017 Dec 20;11:413. doi: 10.3389/fncel.2017.00413. eCollection 2017.

Abstract

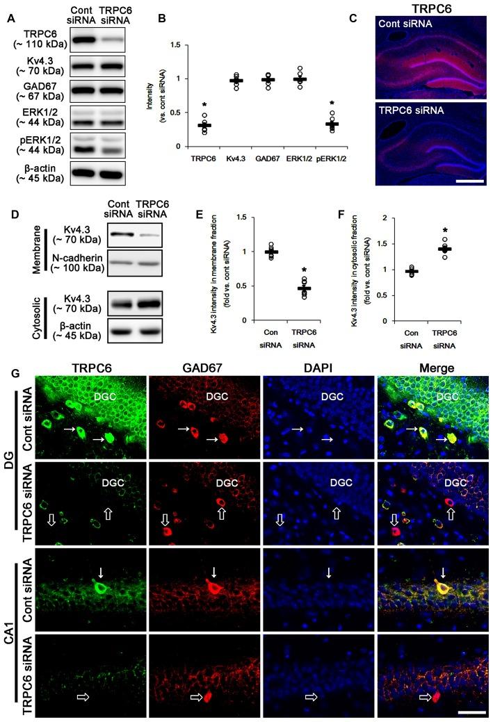
Recently, we have reported that transient receptor potential channel-6 (TRPC6) plays an important role in the regulation of neuronal excitability and synchronization of spiking activity in the dentate granule cells (DGC). However, the underlying mechanisms of TRPC6 in these phenomena have been still unclear. In the present study, we investigated the role of TRPC6 in subcellular localization of Kv4.3 and its relevance to neuronal excitability in the rat hippocampus. TRPC6 knockdown increased excitability and inhibitory transmission in the DGC and the CA1 neurons in response to a paired-pulse stimulus. However, TRPC6 knockdown impaired γ-aminobutyric acid (GABA)ergic inhibition in the hippocampus during and after high-frequency stimulation (HFS). TRPC6 knockdown reduced the Kv4.3 clusters in membrane fractions and its dendritic localization on DGC and GABAergic interneurons. TRPC6 knockdown also decreased extracellular signal-regulated kinase 1/2 (ERK1/2) phosphorylation and the efficacy of 4-aminopyridine (4-AP) in neuronal excitability. An ERK1/2 inhibitor generated multiple population spikes in response to a paired-pulse stimulus, concomitant with reduced membrane Kv4.3 translocation. A TRPC6 activator (hyperforin) reversed the effects of TRPC knockdown, except paired-pulse inhibition. These findings provide valuable clues indicating that TRPC6-mediated ERK1/2 activation may regulate subcellular Kv4.3 localization in DGC and interneurons, which is cause-effect relationship between neuronal excitability and seizure susceptibility.

摘要

最近,我们报道了瞬时受体电位通道6(TRPC6)在齿状颗粒细胞(DGC)中神经元兴奋性调节和动作电位活动同步化方面发挥重要作用。然而,TRPC6在这些现象中的潜在机制仍不清楚。在本研究中,我们调查了TRPC6在大鼠海马中Kv4.3亚细胞定位中的作用及其与神经元兴奋性的相关性。TRPC6基因敲低增加了DGC和CA1神经元对配对脉冲刺激的兴奋性和抑制性传递。然而,TRPC6基因敲低损害了高频刺激(HFS)期间及之后海马中的γ-氨基丁酸(GABA)能抑制。TRPC6基因敲低减少了膜组分中Kv4.3簇及其在DGC和GABA能中间神经元上的树突定位。TRPC6基因敲低还降低了细胞外信号调节激酶1/2(ERK1/2)的磷酸化以及4-氨基吡啶(4-AP)对神经元兴奋性的作用效果。ERK1/2抑制剂在配对脉冲刺激下产生多个群体峰电位,同时伴有膜Kv4.3转位减少。TRPC6激活剂(金丝桃素)逆转了TRPC基因敲低的影响,但配对脉冲抑制除外。这些发现提供了有价值的线索,表明TRPC6介导的ERK1/2激活可能调节DGC和中间神经元中Kv4.3的亚细胞定位,这是神经元兴奋性与癫痫易感性之间的因果关系。

https://cdn.ncbi.nlm.nih.gov/pmc/blobs/a7e2/5742353/7868b9fbb456/fncel-11-00413-g0001.jpg

文献检索

告别复杂PubMed语法,用中文像聊天一样搜索,搜遍4000万医学文献。AI智能推荐,让科研检索更轻松。

立即免费搜索

文件翻译

保留排版,准确专业,支持PDF/Word/PPT等文件格式,支持 12+语言互译。

免费翻译文档

深度研究

AI帮你快速写综述,25分钟生成高质量综述,智能提取关键信息,辅助科研写作。

立即免费体验