Suppr超能文献

Staged endovascular repair of an abdominal aortic aneurysm adjacent to a chronic high-flow iliocaval traumatic arteriovenous fistula.

作者信息

Wang S Keisin, Gutwein Ashley R, Casciani Tom, Murphy Michael P, Lemmon Gary W

机构信息

Division of Vascular Surgery, Indiana University School of Medicine, Indianapolis, Ind.

Division of Interventional Radiology, Indiana University School of Medicine, Indianapolis, Ind.

出版信息

J Vasc Surg Cases Innov Tech. 2017 Dec 18;3(4):247-250. doi: 10.1016/j.jvscit.2017.10.004. eCollection 2017 Dec.

Abstract

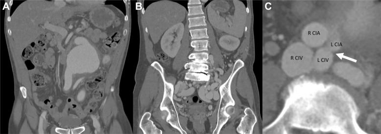
Large-vessel chronic traumatic arteriovenous fistulas are a rare complication after trauma. Delayed presentation can consist of one or more features of high-output cardiac failure, pulsatile abdominal mass, bruit, limb ischemia, and venous congestion. We describe a patient with a complex iliocaval fistula secondary to a remote gunshot wound associated with a large 8.5-cm aortic aneurysm. Informed consent of the patient was obtained for publication of the case.

摘要
https://cdn.ncbi.nlm.nih.gov/pmc/blobs/d3f6/5765185/fbe534164b2e/gr1.jpg

文献AI研究员

20分钟写一篇综述,助力文献阅读效率提升50倍。

立即体验

用中文搜PubMed

大模型驱动的PubMed中文搜索引擎

马上搜索

文档翻译

学术文献翻译模型,支持多种主流文档格式。

立即体验