Suppr超能文献

成人库拉里诺三联征合并巨大骶前畸胎瘤和脊膜膨出的手术治疗:一例报告

Surgical management for a huge presacral teratoma and a meningocele in an adult with Currarino triad: a case report.

作者信息

Emoto Shigenobu, Kaneko Manabu, Murono Koji, Sasaki Kazuhito, Otani Kensuke, Nishikawa Takeshi, Tanaka Toshiaki, Hata Keisuke, Kawai Kazushige, Imai Hideaki, Saito Nobuhito, Kobayashi Hiroshi, Tanaka Sakae, Ikemura Masako, Ushiku Tetsuo, Nozawa Hiroaki

机构信息

Department of Surgical Oncology, The University of Tokyo, 7-3-1, Hongo, Bunkyo-ku, Tokyo, 113-8655, Japan.

Department of Neurosurgery, The University of Tokyo, Tokyo, Japan.

出版信息

Surg Case Rep. 2018 Jan 19;4(1):9. doi: 10.1186/s40792-018-0419-2.

Abstract

BACKGROUND

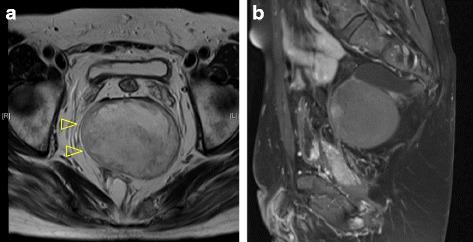
The Currarino triad is a rare hereditary syndrome comprising anorectal malformation, sacral bony defect, and presacral mass. Most of the patients are diagnosed during infancy.

CASE PRESENTATION

A 44-year-old man was diagnosed with Currarino triad, with a huge presacral teratoma and meningocele. One-stage surgery via posterior approach was successful.

CONCLUSIONS

Treatment of the presacral mass in the Currarino triad, diagnosed in adulthood, is challenging. Multidisciplinary management and detailed planning before surgery are important for a satisfactory outcome.

摘要

背景

库拉里诺三联征是一种罕见的遗传性综合征,包括肛门直肠畸形、骶骨骨质缺损和骶前肿物。大多数患者在婴儿期被诊断出来。

病例介绍

一名44岁男性被诊断为库拉里诺三联征,伴有巨大的骶前畸胎瘤和脑脊膜膨出。通过后路进行一期手术获得成功。

结论

对于成年期诊断出的库拉里诺三联征中的骶前肿物,治疗具有挑战性。多学科管理以及术前的详细规划对于获得满意的治疗效果很重要。

https://cdn.ncbi.nlm.nih.gov/pmc/blobs/e2cf/5775187/57cf7b6781b2/40792_2018_419_Fig1_HTML.jpg

文献AI研究员

20分钟写一篇综述,助力文献阅读效率提升50倍。

立即体验

用中文搜PubMed

大模型驱动的PubMed中文搜索引擎

马上搜索

文档翻译

学术文献翻译模型,支持多种主流文档格式。

立即体验