Suppr超能文献

18F-FDG正电子发射断层扫描/计算机断层扫描显示的胃贲门部低级别肌纤维母细胞肉瘤:1例极其罕见的病例报告

Low-grade myofibroblastic sarcoma of gastric cardia on 18F-FDG positron emission tomography/computed tomography: An extremely rare case report.

作者信息

Niu Rong, Wang Jian-Feng, Zhang Da-Chuan, Shao Xiao-Liang, Qiu Chun, Wang Yue-Tao

机构信息

Department of Nuclear Medicine.

Department of Pathology, the Third Affiliated Hospital of Soochow University, Changzhou, China.

出版信息

Medicine (Baltimore). 2018 Jan;97(4):e9720. doi: 10.1097/MD.0000000000009720.

Abstract

RATIONALE

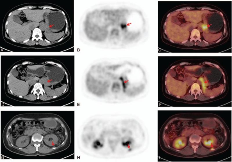
Low-grade myofibroblastic sarcoma (LGMS) is a rare mesenchyme-derived tumor, which usually occurs in head, neck (especially tongue and mouth), and limbs. In this report, we described a case of gastric LGMS by F-fluoro-2-deoxy-d-glucose (FDG) positron emission tomography/computed tomography (PET/CT), which has not been reported previously.

PATIENT CONCERNS

A 51-year-old female patient was admitted to our hospital with upper abdominal discomfort for 1 year and gradually increased eating difficulties over the last 3 months. From gastroscopy, an ulcer of 1.0 cm × 1.2 cm at the entrance of cardia and stiffness of peripheral mucosa were found, leading to suspicion of cardia cancer. F-FDG PET/CT was performed for further diagnosis and staging.

DIAGNOSES

According to pathological findings in combination with immunohistochemical features, diagnosis of gastric LGMS was made.

INTERVENTIONS

To relieve symptoms of upper gastrointestinal obstruction in the patient, proximal gastrectomy was carried out 1 week after the F-FDG PET/CT scan.

OUTCOMES

The patient died due to advanced tumor.

LESSONS

F-FDG PET/CT scan showed local thickening of the gastric wall, invasion of adjacent soft tissue, diaphragmatic and peritoneal metastasis at early stage, absence of regional lymph node metastasis, and increased F-FDG metabolism in primary tumor and metastatic tumor.

摘要

原理

低度恶性肌纤维母细胞肉瘤(LGMS)是一种罕见的间充质来源肿瘤,通常发生于头颈部(尤其是舌部和口腔)以及四肢。在本报告中,我们描述了一例通过F-氟-2-脱氧-D-葡萄糖(FDG)正电子发射断层扫描/计算机断层扫描(PET/CT)诊断的胃LGMS病例,此前未见相关报道。

患者情况

一名51岁女性患者因上腹部不适1年、近3个月进食困难逐渐加重入院。胃镜检查发现贲门入口处有一个1.0厘米×1.2厘米的溃疡,周围黏膜僵硬,怀疑为贲门癌。进行F-FDG PET/CT检查以进一步诊断和分期。

诊断

结合病理结果及免疫组化特征,诊断为胃LGMS。

干预措施

为缓解患者上消化道梗阻症状,在F-FDG PET/CT扫描1周后进行了近端胃切除术。

结果

患者因肿瘤晚期死亡。

经验教训

F-FDG PET/CT扫描显示胃壁局部增厚,早期侵犯相邻软组织、膈肌和腹膜转移,无区域淋巴结转移,原发肿瘤和转移瘤的F-FDG代谢增加。

https://cdn.ncbi.nlm.nih.gov/pmc/blobs/5d74/5794390/3eb1d4a23ec2/medi-97-e9720-g001.jpg

文献AI研究员

20分钟写一篇综述,助力文献阅读效率提升50倍。

立即体验

用中文搜PubMed

大模型驱动的PubMed中文搜索引擎

马上搜索

文档翻译

学术文献翻译模型,支持多种主流文档格式。

立即体验