Key Laboratory of Synthetic and Self-Assembly Chemistry for Organic Functional Molecules, Shanghai Institute of Organic Chemistry, Chinese Academy of Sciences, Lingling Road 345, Shanghai 200032, China.
Department of Bioengineering, McGill University, 817 Sherbrook Street, Montréal, QC H3A0C3, Canada.
Int J Mol Sci. 2018 Jan 26;19(2):369. doi: 10.3390/ijms19020369.
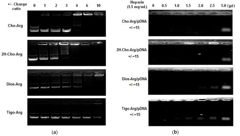
Using renewable and biocompatible natural-based resources to construct functional biomaterials has attracted great attention in recent years. In this work, we successfully prepared a series of steroid-based cationic lipids by integrating various steroid skeletons/hydrophobes with (-)-arginine headgroups via facile and efficient synthetic approach. The plasmid DNA (pDNA) binding affinity of the steroid-based cationic lipids, average particle sizes, surface potentials, morphologies and stability of the steroid-based cationic lipids/pDNA lipoplexes were disclosed to depend largely on the steroid skeletons. Cellular evaluation results revealed that cytotoxicity and gene transfection efficiency of the steroid-based cationic lipids in H1299 and HeLa cells strongly relied on the steroid hydrophobes. Interestingly, the steroid lipids/pDNA lipoplexes inclined to enter H1299 cells mainly through caveolae and lipid-raft mediated endocytosis pathways, and an intracellular trafficking route of "lipid-raft-mediated endocytosis→lysosome→cell nucleic localization" was accordingly proposed. The study provided possible approach for developing high-performance steroid-based lipid gene carriers, in which the cytotoxicity, gene transfection capability, endocytosis pathways, and intracellular trafficking/localization manners could be tuned/controlled by introducing proper steroid skeletons/hydrophobes. Noteworthy, among the lipids, Cho-Arg showed remarkably high gene transfection efficacy, even under high serum concentration (50% fetal bovine serum), making it an efficient gene transfection agent for practical application.
近年来,利用可再生和生物相容的天然资源构建功能性生物材料引起了极大的关注。在这项工作中,我们通过简便高效的合成方法,成功地将各种甾体骨架/疏水性基团与(-)-精氨酸头基整合到甾体阳离子脂质中。甾体阳离子脂质的质粒 DNA(pDNA)结合亲和力、平均粒径、表面电位、形态和稳定性在很大程度上取决于甾体骨架。细胞评价结果表明,甾体阳离子脂质在 H1299 和 HeLa 细胞中的细胞毒性和基因转染效率强烈依赖于甾体疏水性。有趣的是,甾体脂质/pDNA 脂质体倾向于通过小窝和脂筏介导的内吞作用途径进入 H1299 细胞,因此提出了一种“脂筏介导的内吞作用→溶酶体→细胞核酸定位”的细胞内转运途径。该研究为开发高性能甾体脂质基因载体提供了可能的方法,通过引入合适的甾体骨架/疏水性基团,可以调节/控制其细胞毒性、基因转染能力、内吞作用途径和细胞内转运/定位方式。值得注意的是,在这些脂质中,Cho-Arg 表现出非常高的基因转染效率,即使在高血清浓度(50%胎牛血清)下也是如此,使其成为一种用于实际应用的高效基因转染剂。