Butilă Anamaria Todoran, Zazgyva Ancuta, Sin Anca Ileana, Szabo Elisabeta Racoș, Tilinca Mariana Cornelia
Department of Genetics, University of Medicine and Pharmacy of Târgu-Mureş, Târgu-Mureş, Romania.
Department of Cell and Molecular Biology, University of Medicine and Pharmacy of Târgu-Mureş, Târgu-Mureş, Romania.
Arch Med Sci. 2018 Jan;14(1):157-166. doi: 10.5114/aoms.2016.63739. Epub 2016 Nov 17.
This case-control study aimed to assess two single nucleotide polymorphisms of the gene encoding the GABRG2 protein - GABRG2 (3145 G>A) and GABRG2 rs 211037 Asn196Asn (C588T) - in a cohort of pediatric patients from Romania, and evaluate their possible impact on drug-resistant forms of generalized epilepsy and recurrent febrile seizures.
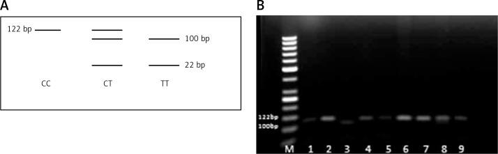
One hundred and fourteen children with idiopathic generalized epilepsy (group 1) or febrile seizures (group 2) were compared to 153 controls. Peripheral blood samples were assessed using polymerase chain reaction-restriction fragment length polymorphism analysis, with results interpreted based on the disappearance of a restriction site in the C allele (122 bp) compared to the T allele (100 bp + 22 bp).
A significant association was found with the TT homozygous genotype and T allele for both febrile seizures and epilepsy for the C588T locus, while GABRG2 G>A 3145 showed no significant association with any type of seizure. The TT homozygous genotype of GABRG2 Asn196Asn polymorphism was more frequent in patients with a history of febrile seizures ( = 0.0001), without a significant association identified for GABRG2-G>A 3145. Composite analysis showed associations with epilepsy for CC-AG ( = 0.02) and CT-AG ( = 0.007) with the CC-AA combination as reference.
C588T polymorphism of the GABRG2 gene might be a predictive genetic marker in triggering febrile convulsions. GABRG2 rs211037 TT homozygotes and T allele variants have an increased risk for developing febrile seizures. Recurrent crises and repeated episodes of seizures are more frequent in the GABRG2 Asn196Asn TT genotype polymorphism, with a 45 and 8 times higher risk of developing idiopathic generalized epilepsy and recurrent febrile seizures, respectively.
本病例对照研究旨在评估罗马尼亚一组儿科患者中编码GABRG2蛋白的基因的两个单核苷酸多态性——GABRG2(3145 G>A)和GABRG2 rs 211037 Asn196Asn(C588T),并评估它们对全身性癫痫耐药形式和复发性热性惊厥的可能影响。
将114例特发性全身性癫痫患儿(第1组)或热性惊厥患儿(第2组)与153名对照进行比较。使用聚合酶链反应-限制性片段长度多态性分析评估外周血样本,结果根据与T等位基因(100 bp + 22 bp)相比C等位基因(122 bp)中限制性位点的消失来解释。
在C588T位点,热性惊厥和癫痫均与TT纯合基因型和T等位基因存在显著关联,而GABRG2 G>A 3145与任何类型的惊厥均无显著关联。有热性惊厥病史的患者中,GABRG2 Asn196Asn多态性的TT纯合基因型更为常见(= 0.0001),而GABRG2-G>A 3145未发现显著关联。综合分析显示,以CC-AA组合为参照,CC-AG(= 0.02)和CT-AG(= 0.007)与癫痫存在关联。
GABRG2基因的C588T多态性可能是引发热性惊厥的预测性遗传标记。GABRG2 rs211037 TT纯合子和T等位基因变体发生热性惊厥的风险增加。在GABRG2 Asn196Asn TT基因型多态性中,复发性危机和癫痫发作更为频繁,发生特发性全身性癫痫和复发性热性惊厥的风险分别高出45倍和8倍。