• 文献检索
  • 文档翻译
  • 深度研究
  • 学术资讯
  • Suppr Zotero 插件Zotero 插件
  • 邀请有礼
  • 套餐&价格
  • 历史记录
应用&插件
Suppr Zotero 插件Zotero 插件浏览器插件Mac 客户端Windows 客户端微信小程序
定价
高级版会员购买积分包购买API积分包
服务
文献检索文档翻译深度研究API 文档MCP 服务
关于我们
关于 Suppr公司介绍联系我们用户协议隐私条款
关注我们

Suppr 超能文献

核心技术专利:CN118964589B侵权必究
粤ICP备2023148730 号-1Suppr @ 2026

文献检索

告别复杂PubMed语法,用中文像聊天一样搜索,搜遍4000万医学文献。AI智能推荐,让科研检索更轻松。

立即免费搜索

文件翻译

保留排版,准确专业,支持PDF/Word/PPT等文件格式,支持 12+语言互译。

免费翻译文档

深度研究

AI帮你快速写综述,25分钟生成高质量综述,智能提取关键信息,辅助科研写作。

立即免费体验

结肠镜辅助下腹腔镜手术治疗表现为急性阑尾炎的盲肠黏膜下粪石:一例报告

Laparoscopic surgery assisted by colonoscopy for a submucosal cecal fecalith presenting as acute appendicitis: A case report.

作者信息

Ruan Xiao-Jiao, Ye Bai-Liang, Zheng Zhi-Hai, Zhou Huan-Hao, Zheng Xiao-Feng, Zhou Zhen-Xu

机构信息

Department of General Surgery, the First Affiliated Hospital of Wenzhou Medical University, Wenzhou City, Zhejiang Province, China.

出版信息

Medicine (Baltimore). 2017 Nov;96(47):e8872. doi: 10.1097/MD.0000000000008872.

DOI:10.1097/MD.0000000000008872
PMID:29382008
原文链接:https://pmc.ncbi.nlm.nih.gov/articles/PMC5709007/
Abstract

RATIONALE

A cecal submucosal fecalith is extremely rare and is likely to be misdiagnosed as appendicitis with an incarcerated fecalith.

PATIENT CONCERNS

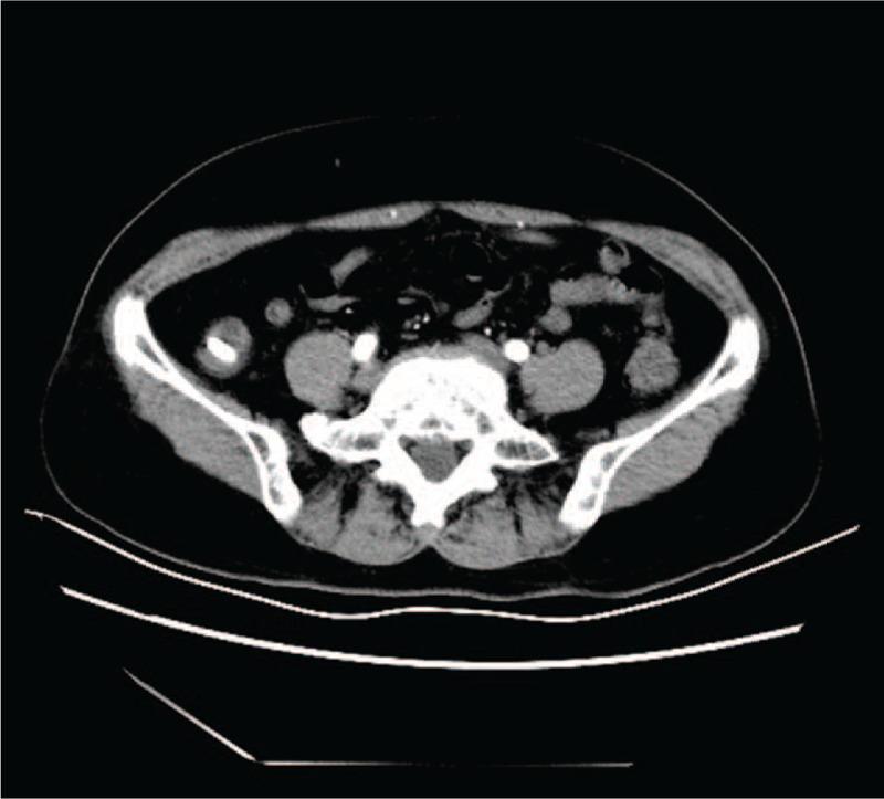
This review presents the case of a female patient complaining of recurrent abdominal pain in the right lower quadrant, similar to the clinical symptoms of appendicitis. Physical examination revealed an abdominal tenderness in the right lower quadrant without rebound tenderness or muscular tension. An ultrasound examination found a mass located in the right lower abdomen. Computed tomography showed a high-density shadow in the cecal cavity.

DIAGNOSES

A fecalith was detected in the submucosal cecal wall. The postoperative pathologic examination showed that the fecalith was located in the submucosa.

INTERVENTIONS

A partial cecal excision was performed under laparoscopic surgery assisted by colonoscopy.

OUTCOMES

The patient was discharged 1 week after surgery without postoperative complications.

LESSONS

Fecaliths should be considered in the differential diagnosis of submucosal occupying lesions of the cecum.

摘要

理论依据

盲肠黏膜下粪石极为罕见,很可能被误诊为伴有嵌顿粪石的阑尾炎。

患者情况

本病例报告了一名女性患者,主诉右下腹反复疼痛,与阑尾炎临床症状相似。体格检查发现右下腹压痛,无反跳痛或肌紧张。超声检查发现右下腹有一肿块。计算机断层扫描显示盲肠腔内有高密度影。

诊断

在盲肠壁黏膜下检测到粪石。术后病理检查显示粪石位于黏膜下层。

干预措施

在结肠镜辅助下行腹腔镜下部分盲肠切除术。

结果

患者术后1周出院,无术后并发症。

经验教训

在鉴别诊断盲肠黏膜下占位性病变时应考虑粪石。

https://cdn.ncbi.nlm.nih.gov/pmc/blobs/481e/5709007/f1a59d570da3/medi-96-e8872-g004.jpg
https://cdn.ncbi.nlm.nih.gov/pmc/blobs/481e/5709007/acf2e66c8492/medi-96-e8872-g001.jpg
https://cdn.ncbi.nlm.nih.gov/pmc/blobs/481e/5709007/0e494557f97d/medi-96-e8872-g002.jpg
https://cdn.ncbi.nlm.nih.gov/pmc/blobs/481e/5709007/45db192f4544/medi-96-e8872-g003.jpg
https://cdn.ncbi.nlm.nih.gov/pmc/blobs/481e/5709007/f1a59d570da3/medi-96-e8872-g004.jpg
https://cdn.ncbi.nlm.nih.gov/pmc/blobs/481e/5709007/acf2e66c8492/medi-96-e8872-g001.jpg
https://cdn.ncbi.nlm.nih.gov/pmc/blobs/481e/5709007/0e494557f97d/medi-96-e8872-g002.jpg
https://cdn.ncbi.nlm.nih.gov/pmc/blobs/481e/5709007/45db192f4544/medi-96-e8872-g003.jpg
https://cdn.ncbi.nlm.nih.gov/pmc/blobs/481e/5709007/f1a59d570da3/medi-96-e8872-g004.jpg

相似文献

1
Laparoscopic surgery assisted by colonoscopy for a submucosal cecal fecalith presenting as acute appendicitis: A case report.结肠镜辅助下腹腔镜手术治疗表现为急性阑尾炎的盲肠黏膜下粪石:一例报告
Medicine (Baltimore). 2017 Nov;96(47):e8872. doi: 10.1097/MD.0000000000008872.
2
Pseudo-submucosal tumor in the colon: seeing is believing.
Rev Esp Enferm Dig. 2024 Mar;116(3):177-178. doi: 10.17235/reed.2023.9773/2023.
3
Appendicitis with submucosal fecalith mimicking a submucosal tumor: a case report.伴有模仿黏膜下肿瘤的黏膜下粪石的阑尾炎:病例报告
Surg Case Rep. 2021 Apr 27;7(1):105. doi: 10.1186/s40792-021-01169-9.
4
Partial cecal necrosis treated by laparoscopic partial cecal resection.腹腔镜下部分盲肠切除术治疗部分盲肠坏死
Coll Antropol. 2006 Dec;30(4):937-9.
5
[Chronic appendicitis due to multiple fecaliths. A case report].[多发性粪石导致的慢性阑尾炎。病例报告]
Cir Cir. 2017 Dec;85 Suppl 1:99-102. doi: 10.1016/j.circir.2016.10.009. Epub 2016 Dec 10.
6
Benign solitary cecal ulcer: a condition that mimics plastron appendicitis.良性孤立性盲肠溃疡:一种酷似龟胸型阑尾炎的病症。
Ulus Travma Acil Cerrahi Derg. 2010 Nov;16(6):579-81.
7
Cecal diverticulitis: a case report and review of the current literature.盲肠憩室炎:一例病例报告及当前文献综述
Int Surg. 2001 Jul-Sep;86(3):191-4.
8
The importance of fecaliths in the aetiology of acute appendicitis.粪石在急性阑尾炎病因学中的重要性。
Chirurgia (Bucur). 2012 Nov-Dec;107(6):756-60.
9
Acute appendicitis following endoscopic mucosal resection of cecal adenoma.盲肠腺瘤内镜黏膜切除术后并发急性阑尾炎。
World J Gastroenterol. 2015 Jul 21;21(27):8462-6. doi: 10.3748/wjg.v21.i27.8462.
10
The myth of the fecalith.粪石的神话。
Am J Emerg Med. 1996 Jul;14(4):394-7. doi: 10.1016/S0735-6757(96)90058-3.

引用本文的文献

1
Appendiceal Fecalith Presenting as a Submucosal Cecal Polyp Removed During Colonoscopy.结肠镜检查时切除的表现为盲肠黏膜下息肉的阑尾粪石
ACG Case Rep J. 2023 Feb 10;10(2):e00987. doi: 10.14309/crj.0000000000000987. eCollection 2023 Feb.
2
Appendicitis with submucosal fecalith mimicking a submucosal tumor: a case report.伴有模仿黏膜下肿瘤的黏膜下粪石的阑尾炎:病例报告
Surg Case Rep. 2021 Apr 27;7(1):105. doi: 10.1186/s40792-021-01169-9.
3
Submucosal Fecalith Presenting as a Submucosal Cecal Mass.表现为盲肠黏膜下肿物的黏膜下粪石

本文引用的文献

1
Bleeding caecal mass: a rare finding.盲肠肿物出血:一种罕见的发现。
J Surg Case Rep. 2015 Sep 16;2015(9):rjv116. doi: 10.1093/jscr/rjv116.
2
Fecalith presenting as a submucosal cecal mass.粪石表现为盲肠黏膜下肿物。
Clin Gastroenterol Hepatol. 2013 Jun;11(6):A24. doi: 10.1016/j.cgh.2012.07.010. Epub 2012 Jul 24.
3
Evaluation of submucosal lesions of the large intestine: part 2. Nonneoplastic causes.大肠黏膜下病变的评估:第2部分。非肿瘤性病因。
ACG Case Rep J. 2019 Aug 21;6(8):e00182. doi: 10.14309/crj.0000000000000182. eCollection 2019 Aug.
Radiographics. 2007 Nov-Dec;27(6):1693-703. doi: 10.1148/rg.276075028.
4
Evaluation of submucosal lesions of the large intestine: part 1. Neoplasms.
Radiographics. 2007 Nov-Dec;27(6):1681-92. doi: 10.1148/rg.276075027.
5
Giant submucosal lipoma of the cecum: report of a case and review of literature.盲肠巨大黏膜下脂肪瘤:一例报告并文献复习
Rom J Gastroenterol. 2005 Dec;14(4):393-6.