Suppr超能文献

帕博利珠单抗用于亚洲人群复发性/转移性头颈部鳞状细胞癌的治疗。

Pembrolizumab for recurrent/metastatic head and neck squamous cell carcinoma in an Asian population.

作者信息

Chen Wen-Chun, Chu Pen-Yuan, Lee Yu-Ting, Lu Wen-Bin, Liu Chun-Yu, Chang Peter Mu-Hsin, Yang Muh-Hwa

机构信息

Department of Medicine, Taipei Veterans General Hospital School of Medicine, National Yang-Ming University Department of Otolaryngology, Taipei Veterans General Hospital, Taipei Department of Medicine, Chiayi Branch, Taichung Veterans General Hospital, Chiayi, Taiwan Department of Medical Oncology, Wujin People's Hospital Affiliated to Jiangsu University, Jiangsu, China Division of Medical Oncology, Department of Oncology, Taipei Veterans General Hospital Institute of Clinical Medicine, National Yang-Ming University, Taipei, Taiwan.

出版信息

Medicine (Baltimore). 2017 Dec;96(52):e9519. doi: 10.1097/MD.0000000000009519.

Abstract

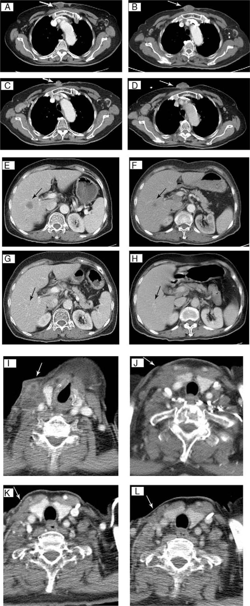
Head and neck squamous cell carcinoma (HNSCC) has a high prevalence and is a major cause of cancer deaths in Taiwan. However, there is still no effective salvage therapy that prolongs the life expectancy of patients with recurrent/metastatic (R/M) HNSCC. Immune checkpoint therapy that targets the programmed cell death protein 1 (PD-1) may provide clinical benefit for these patients. We analyzed 22 R/M HNSCC patients who received pembrolizumab, a monoclonal antibody against PD-1, as salvage therapy. Intravenous pembrolizumab was given at a fixed dosage of 100 or 200 mg every 3 weeks. Three patients also received local palliative radiotherapy, but no patients received chemotherapy or targeted drugs. Seventeen patients (77.3%) received at least 3 cycles of pembrolizumab. Based on Response Evaluation Criteria in Solid Tumors criteria (ver. 1.1), 2 patients (9.1%) had complete response, 5 (22.7%) had partial response, and 6 (27.3%) had stable disease, corresponding to a disease control rate of 59.1%. Four patients had confirmed disease progression, 2 of whom had continuous progression over the target lesion after shrinkage of other metastases. One patient developed immune-related pneumonitis that resolved quickly after steroid treatment. Another patient developed itchy skin rashes immediately after administration of pembrolizumab, and this was controlled by an antihistamine. There were no other severe adverse effects. Pembrolizumab is beneficial and well-tolerated for some patients with refractory R/M HNSCC. However, it is important to identify biomarkers to identify the most responsive patients when designing future trials.

摘要

头颈鳞状细胞癌(HNSCC)在台湾地区发病率很高,是癌症死亡的主要原因之一。然而,对于复发/转移性(R/M)HNSCC患者,仍没有有效的挽救性治疗方法能够延长其预期寿命。针对程序性细胞死亡蛋白1(PD-1)的免疫检查点疗法可能会为这些患者带来临床益处。我们分析了22例接受派姆单抗(一种抗PD-1单克隆抗体)作为挽救性治疗的R/M HNSCC患者。静脉注射派姆单抗,固定剂量为每3周100或200毫克。3例患者还接受了局部姑息性放疗,但没有患者接受化疗或靶向药物治疗。17例患者(77.3%)接受了至少3个周期的派姆单抗治疗。根据实体瘤疗效评价标准(第1.1版),2例患者(9.1%)完全缓解,5例(22.7%)部分缓解,6例(27.3%)病情稳定,疾病控制率为59.1%。4例患者疾病进展得到确认,其中2例在其他转移灶缩小后,靶病灶持续进展。1例患者发生免疫相关性肺炎,经类固醇治疗后迅速缓解。另1例患者在使用派姆单抗后立即出现皮肤瘙痒皮疹,通过使用抗组胺药得到控制。没有其他严重不良反应。派姆单抗对一些难治性R/M HNSCC患者有益且耐受性良好。然而,在设计未来试验时,识别生物标志物以确定最敏感的患者非常重要。

https://cdn.ncbi.nlm.nih.gov/pmc/blobs/c0de/6392576/6781052f1ab4/medi-96-e9519-g002.jpg

文献AI研究员

20分钟写一篇综述,助力文献阅读效率提升50倍。

立即体验

用中文搜PubMed

大模型驱动的PubMed中文搜索引擎

马上搜索

文档翻译

学术文献翻译模型,支持多种主流文档格式。

立即体验