Suppr超能文献

利什曼原虫感染 BALB/c 小鼠肝肉芽肿的组织病理学和免疫组织化学特征:时间进程研究。

Histopathological and immunohistochemical characterisation of hepatic granulomas in Leishmania donovani-infected BALB/c mice: a time-course study.

机构信息

Department of Pathology and Infectious Diseases, School of Veterinary Medicine, University of Surrey, Guildford, UK.

Fundação Oswaldo Cruz, Centro de Pesquisas Gonçalo Moniz, Salvador, Bahia, Brazil.

出版信息

Parasit Vectors. 2018 Jan 31;11(1):73. doi: 10.1186/s13071-018-2624-z.

Abstract

BACKGROUND

Visceral leishmaniasis (VL) is a neglected tropical disease (NTD), caused by the intracellular protozoan parasites Leishmania donovani and Leishmania infantum. Symptomatic VL is considered fatal when left untreated. At present, there is no effective vaccine licensed for human use and available chemotherapies have limitations. Understanding the local immune mechanisms required for the control of infection is a key factor for developing effective vaccines and therapeutics.

METHODS

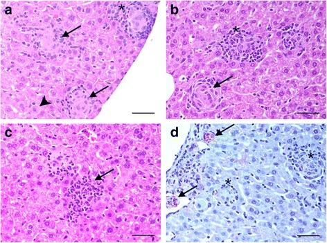
We have investigated the development of the typical granulomatous lesions in the liver in experimental VL over time, together with the local immune responses. BALB/c mice were infected intravenously with a dose of 2 × 10 L. donovani amastigotes (MHOM/ET/67/HU3) and sacrificed at 15, 35 and 63 days post-infection (dpi). Histopathology and immunohistochemical techniques were used for the detection of Leishmania antigen, selected cell types including B and T lymphocytes, macrophages and neutrophils (CD45R-B220+, CD3+, F4/80+ and Ly-6G+) and iNOS.

RESULTS

Granulomatous lesions were identified as early as 15 dpi in the livers of all infected animals. Three categories were used to classify liver granulomas (immature, mature and clear). Clear granulomas were exclusively detected from 35 dpi onwards. Kupffer cells (F4/80+) were predominant in immature granulomas, regardless of the dpi. Nonetheless, the highest expression was found 63 dpi. Positive staining for iNOS was mainly observed in the cytoplasm of fused Kupffer cells and the highest expression observed at 35 dpi. T cells (CD3+) and B cells (CD45R-B220+) were predominant in more advanced granuloma stages, probably related to the establishment of acquired immunity. Neutrophils (Ly-6G+) were predominantly observed in mature granulomas with the highest expression at 15 dpi. Neutrophils were lower in numbers compared to other cell types, particularly at later time points.

CONCLUSIONS

Our results reflect the role of macrophages during the early stage of infection and the establishment of a lymphocytic response to control the infection in more advanced stages.

摘要

背景

内脏利什曼病(VL)是一种被忽视的热带病(NTD),由细胞内原生动物寄生虫利什曼原虫和婴儿利什曼原虫引起。未经治疗的症状性 VL 被认为是致命的。目前,尚无获准用于人类的有效疫苗,现有的化疗药物存在局限性。了解控制感染所需的局部免疫机制是开发有效疫苗和疗法的关键因素。

方法

我们研究了实验性 VL 中肝典型肉芽肿病变随时间的发展,以及局部免疫反应。BALB/c 小鼠经静脉内感染 2×10 L. donovani 无鞭毛体(MHOM/ET/67/HU3),于感染后 15、35 和 63 天(dpi)处死。采用组织病理学和免疫组织化学技术检测利什曼抗原、选定的细胞类型(包括 B 和 T 淋巴细胞、巨噬细胞和中性粒细胞[CD45R-B220+、CD3+、F4/80+和 Ly-6G+]和 iNOS)。

结果

在所有感染动物的肝脏中,15 天即可识别出肉芽肿病变。将肝肉芽肿分为 3 类(不成熟、成熟和清晰)。从 35 dpi 开始,仅检测到清晰的肉芽肿。无论 dpi 如何,不成熟肉芽肿中均以库普弗细胞(F4/80+)为主。然而,最高表达出现在 63 dpi。iNOS 阳性染色主要观察到融合库普弗细胞的细胞质中,最高表达出现在 35 dpi。T 细胞(CD3+)和 B 细胞(CD45R-B220+)在更晚期的肉芽肿阶段占优势,可能与获得性免疫的建立有关。中性粒细胞(Ly-6G+)主要存在于成熟肉芽肿中,在 15 dpi 时表达最高。与其他细胞类型相比,中性粒细胞数量较少,尤其是在较晚的时间点。

结论

我们的结果反映了巨噬细胞在感染早期的作用,以及在更晚期阶段建立淋巴细胞反应以控制感染的作用。

https://cdn.ncbi.nlm.nih.gov/pmc/blobs/a8af/5793367/78f6c7d49ef7/13071_2018_2624_Fig1_HTML.jpg

文献AI研究员

20分钟写一篇综述,助力文献阅读效率提升50倍。

立即体验

用中文搜PubMed

大模型驱动的PubMed中文搜索引擎

马上搜索

文档翻译

学术文献翻译模型,支持多种主流文档格式。

立即体验