Suppr超能文献

微小 RNA-139-5p/Flt1/Wnt/β-连环蛋白调控串扰调节胶质瘤的进展。

MicroRNA-139-5p/Flt1/Wnt/β-catenin regulatory crosstalk modulates the progression of glioma.

机构信息

Tianjin Neurosurgery Institute, Tianjin Key Laboratory of Cerebral Vascular and Neural Degenerative Diseases, Tianjin Huanhu Hospital, Tianjin 300060, P.R. China.

The Graduate School, Tianjin Medical University, Tianjin 300060, P.R. China.

出版信息

Int J Mol Med. 2018 Apr;41(4):2139-2149. doi: 10.3892/ijmm.2018.3439. Epub 2018 Jan 30.

Abstract

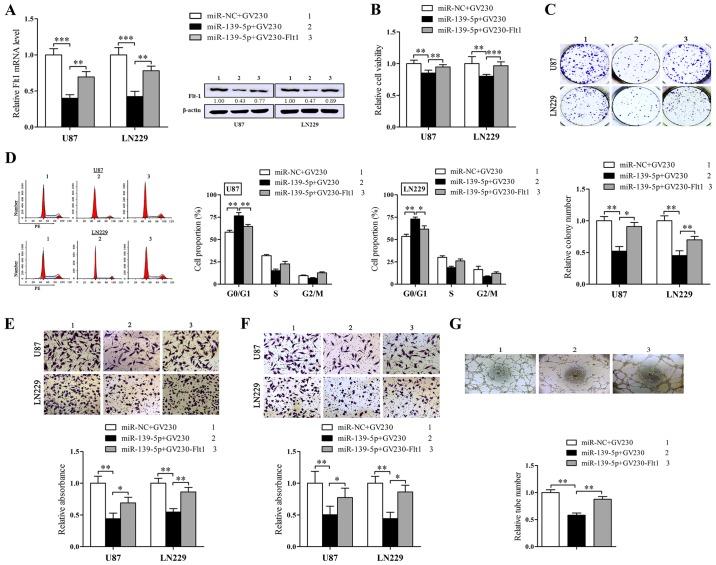
Fms-related tyrosine kinase 1 (Flt1), the receptor of VEGF/PIGF, is associated with cancer angiogenesis and tumorigenesis. Although the high expression of Flt1 in glioma is identified, its regulatory mechanism remains unclear. In the present study, we demonstrate that miR‑139‑5p inhibits Flt1 expression mediated by binding its 3' untranslated region (3'UTR) to regulate the progression of human glioma. We found miR‑139‑5p was downregulated in glioma tissues compared with normal brain tissues whereas a converse expression level of Flt1 was observed. Additionally we proved that miR‑139‑5p directly integrated with the 3'UTR of Flt1 via luciferase activity assay and cells transfected with miR‑139‑5p characterized with a low expression of Flt1 in mRNA and protein levels. Furthermore, we validated that miR‑139‑5p enforced its biological modulation via targeting Flt1 through rescue experiments. miR‑139‑5p suppressed and Flt1 stimulated the malignant activities of glioma cells. We demonstrated that miR‑139‑5p inhibited the Flt1-mediated Wnt/β-catenin signaling pathway in glioma cells. Conclusively, our study indicated that miR‑139‑5p can counteract the malignant phenotypes of glioma cells by the inhibitory effect of the Flt1-mediated Wnt/β-catenin signaling pathway.

摘要

Fms 相关酪氨酸激酶 1(Flt1)是血管内皮生长因子/胎盘生长因子(VEGF/PIGF)的受体,与癌症血管生成和肿瘤发生有关。尽管已鉴定出神经胶质瘤中 Flt1 的高表达,但它的调节机制仍不清楚。在本研究中,我们证明 miR-139-5p 通过结合其 3'非翻译区(3'UTR)抑制 Flt1 的表达,从而调节人神经胶质瘤的进展。我们发现与正常脑组织相比,神经胶质瘤组织中 miR-139-5p 下调,而 Flt1 的表达水平则相反。此外,我们通过荧光素酶活性测定证明 miR-139-5p 直接与 Flt1 的 3'UTR 结合,并且转染 miR-139-5p 的细胞在 mRNA 和蛋白水平上均表现出 Flt1 的低表达。此外,通过挽救实验,我们验证了 miR-139-5p 通过靶向 Flt1 发挥其生物学调节作用。miR-139-5p 抑制和 Flt1 刺激神经胶质瘤细胞的恶性活性。我们证明 miR-139-5p 抑制了神经胶质瘤细胞中 Flt1 介导的 Wnt/β-catenin 信号通路。总之,我们的研究表明,miR-139-5p 通过抑制 Flt1 介导的 Wnt/β-catenin 信号通路来拮抗神经胶质瘤细胞的恶性表型。

https://cdn.ncbi.nlm.nih.gov/pmc/blobs/622f/5810245/730ff0ed6eb3/IJMM-41-04-2139-g00.jpg

文献AI研究员

20分钟写一篇综述,助力文献阅读效率提升50倍。

立即体验

用中文搜PubMed

大模型驱动的PubMed中文搜索引擎

马上搜索

文档翻译

学术文献翻译模型,支持多种主流文档格式。

立即体验