Suppr超能文献

胰岛素降解酶不从培养的细胞中分泌。

Insulin-degrading enzyme is not secreted from cultured cells.

机构信息

Department of Molecular and Cellular Biochemistry and the Center for Structural Biology, University of Kentucky, Lexington, KY, 40536, USA.

出版信息

Sci Rep. 2018 Feb 5;8(1):2335. doi: 10.1038/s41598-018-20597-6.

Abstract

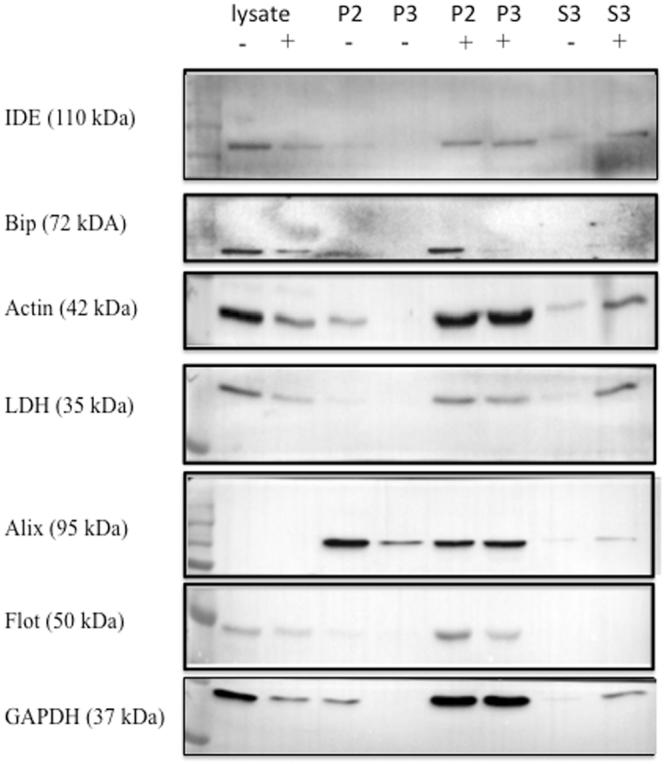
Insulin-degrading enzyme (IDE) functions in the catabolism of bioactive peptides. Established roles include degrading insulin and the amyloid beta peptide (Aβ), linking it to diabetes and Alzheimer's disease. IDE is primarily located in the cytosol, and a longstanding question is how it gains access to its peptide substrates. Reports suggest that IDE secreted by an unconventional pathway participates in extracellular hydrolysis of insulin and Aβ. We find that IDE release from cultured HEK-293 or BV-2 cells represents only ~1% of total cellular IDE, far less than has been reported previously. Importantly, lactate dehydrogenase (LDH) and other cytosolic enzymes are released at the same relative level, indicating that extracellular IDE results from a loss of cell integrity, not secretion. Lovastatin increases IDE release from BV-2 cells as reported, but this release is mirrored by LDH release. Cell viability assays indicate lovastatin causes a loss of cell integrity, explaining its effect on IDE release. IDE is present in an exosome-enriched fraction from BV-2 cell conditioned media, however it represents only ~0.01% of the total cellular enzyme and is unlikely to be a significant source of IDE. These results call into question the secretion of IDE and its importance in extracellular peptide degradation.

摘要

胰岛素降解酶(IDE)在生物活性肽的代谢中发挥作用。已确定的作用包括降解胰岛素和淀粉样β肽(Aβ),将其与糖尿病和阿尔茨海默病联系起来。IDE 主要位于细胞质中,一个长期存在的问题是它如何获得其肽底物。有报道称,通过非典型途径分泌的 IDE 参与了胰岛素和 Aβ 的细胞外水解。我们发现,培养的 HEK-293 或 BV-2 细胞中 IDE 的释放仅代表总细胞 IDE 的1%,远低于先前报道的水平。重要的是,乳酸脱氢酶(LDH)和其他细胞质酶以相同的相对水平释放,表明细胞外 IDE 是由于细胞完整性的丧失而不是分泌造成的。正如报道的那样,洛伐他汀增加了 BV-2 细胞中 IDE 的释放,但 LDH 的释放也反映了这一点。细胞活力测定表明,洛伐他汀导致细胞完整性丧失,解释了它对 IDE 释放的影响。IDE 存在于 BV-2 细胞条件培养基的富含外泌体的部分中,但仅占总细胞酶的0.01%,不太可能是 IDE 的重要来源。这些结果质疑了 IDE 的分泌及其在细胞外肽降解中的重要性。

https://cdn.ncbi.nlm.nih.gov/pmc/blobs/96d2/5799172/c8a48bde75ea/41598_2018_20597_Fig1_HTML.jpg

文献AI研究员

20分钟写一篇综述,助力文献阅读效率提升50倍。

立即体验

用中文搜PubMed

大模型驱动的PubMed中文搜索引擎

马上搜索

文档翻译

学术文献翻译模型,支持多种主流文档格式。

立即体验