Suppr超能文献

经口螺钉和钢丝固定治疗不稳定型寰椎前半骨折。

Transoral screw and wire fixation for unstable anterior ½ atlas fracture.

作者信息

Keskil Semih, Göksel Murat, Yüksel Ulas

机构信息

Department of Neurosurgery, Kırıkkale University Medical School, Kırıkkale, Turkey.

出版信息

J Craniovertebr Junction Spine. 2017 Oct-Dec;8(4):364-368. doi: 10.4103/jcvjs.JCVJS_94_17.

Abstract

STUDY DESIGN

Atlas fractures are evaluated according to the fracture type and ligamentous injury. External immobilization may result in fracture nonunion.

OBJECTIVE

The ideal treatment method for non-stabilized atlas fractures is limited fixation without restricting the range of motion of the atlantoaxial and atlantooccipital joints.

SUMMARY OF BACKGROUND DATA

Such a result can be established by using either anterior fixation or posterior lateral mass fixation. However, none of these techniques can fully address anterior 1/2 atlas fractures such as in this case.

MATERIALS AND METHODS

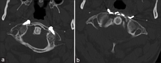
A transoral technique in which bilateral screws were placed intralaminarly and connected with wire was used to reduce and stabilize an anterior 1/2 fracture of C1.

RESULT

Radiological studies after the surgery showed good cervical alignment, no screw or wire failure and good reduction with fusion of anterior arcus of C1.

CONCLUSIONS

Internal immobilization by this screw and wire osteosynthesis technique protects the mobility of the atlanto-occipital and atlantoaxial joints. The main advantage is that neither the twisted wires inserted under the anterior lamina, nor the laterally placed screw heads interfere with midline wound closure; unlike the plate/cage and rod systems used together with anterior screws. A computer navigation system with intraoperative 3D imaging facilities will be of benefit for safe placement of the screw, however we preferred a free-hand technique, as the starting point was at the fracture line along the trajectory of the routinely accessible anterior lamina.

摘要

研究设计

根据骨折类型和韧带损伤情况对寰椎骨折进行评估。外固定可能导致骨折不愈合。

目的

对于不稳定的寰椎骨折,理想的治疗方法是有限固定,同时不限制寰枢关节和寰枕关节的活动范围。

背景资料总结

通过前路固定或后路侧块固定均可实现这一效果。然而,这些技术均无法完全解决此类前1/2寰椎骨折问题。

材料与方法

采用经口技术,经椎板内置入双侧螺钉并用钢丝连接,以复位并稳定C1前1/2骨折。

结果

术后影像学检查显示颈椎排列良好,无螺钉或钢丝失效,C1前弓融合且复位良好。

结论

这种螺钉和钢丝骨合成技术进行内固定可保护寰枕关节和寰枢关节的活动度。主要优点在于,与前路螺钉联合使用的钢板/椎间融合器及棒系统不同,无论是在前椎板下方插入的扭绕钢丝,还是侧向放置的螺钉头,均不会干扰中线伤口闭合。带有术中三维成像设备的计算机导航系统有助于安全置入螺钉,但我们更倾向于徒手技术,因为起始点位于沿常规可及的前椎板轨迹的骨折线处。

https://cdn.ncbi.nlm.nih.gov/pmc/blobs/10e2/5763596/c96141181b34/JCVJS-8-364-g001.jpg

文献AI研究员

20分钟写一篇综述,助力文献阅读效率提升50倍。

立即体验

用中文搜PubMed

大模型驱动的PubMed中文搜索引擎

马上搜索

文档翻译

学术文献翻译模型,支持多种主流文档格式。

立即体验