Ogawa Takashi, Shojima Yuri, Kuroki Takuma, Eguchi Hiroto, Hattori Nobutaka, Miwa Hideto
Department of Neurology, Juntendo University Nerima Hospital, 3-1-10 Takanodai, Nerima, Tokyo, 177-8521, Japan.
Department of Neurology, Juntendo University School of Medicine, 1-21-1 Hongo, Bunkyo, Tokyo, 113-0033, Japan.
J Med Case Rep. 2018 Feb 10;12(1):34. doi: 10.1186/s13256-018-1561-y.
Secondary cervical dystonia is induced by organic brain lesions involving the basal ganglia, thalamus, cerebellum, and brain stem. It is extremely rare to see cervical dystonia induced by a medullary lesion.
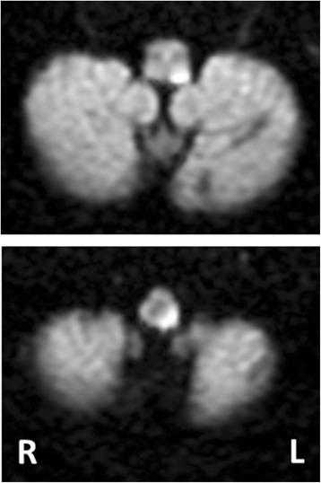
We report a case of an 86-year-old Japanese woman who developed cervical dystonia following lateral medullary infarction. She developed sudden-onset left upper and lower extremity weakness, right-side numbness, and dysarthria. Brain magnetic resonance imaging revealed an acute ischemic lesion involving the left lateral and dorsal medullae. A few days after her stroke, she complained of a taut sensation in her left neck and body, and cervico-shoulder dystonia toward the contralateral side subsequently appeared. Within a few weeks, it disappeared spontaneously, but her hemiplegia remained residual.
To date, to the best of our knowledge, there has been only one reported case of cervical dystonia associated with a single medullary lesion. It is interesting to note the similarities in the clinical characteristics of the previously reported case and our patient: the involvement of the dorsal and caudal parts of the medullary and associated ipsilateral hemiplegia. The present case may support the speculation that the lateral and caudal regions of the medulla may be the anatomical sites responsible for inducing cervical dystonia.
继发性颈部肌张力障碍由累及基底神经节、丘脑、小脑和脑干的器质性脑病变诱发。由延髓病变诱发颈部肌张力障碍极为罕见。
我们报告一例86岁日本女性,在延髓外侧梗死之后出现颈部肌张力障碍。她突发左上肢和下肢无力、右侧麻木及构音障碍。脑部磁共振成像显示急性缺血性病变累及左侧延髓外侧和背侧。中风后几天,她主诉左颈部和身体有紧绷感,随后出现向对侧的颈肩部肌张力障碍。几周内,该症状自行消失,但偏瘫仍有残留。
据我们所知,迄今为止仅有一例报告的颈部肌张力障碍与单一延髓病变相关。值得注意的是,先前报告病例与我们患者的临床特征存在相似之处:延髓背侧和尾侧部分受累及相关同侧偏瘫。本病例可能支持如下推测,即延髓外侧和尾侧区域可能是诱发颈部肌张力障碍的解剖部位。