Suppr超能文献

Imaging Findings of Jugular Foramen Meningocele in a Neurofibromatosis Type 1 Patient.

作者信息

Serindere Mehmet, Tasar Mustafa, Hamcan Salih, Bozlar Ugur

机构信息

Gulhane Training and Research Hospital, Department of Radiology, University of Health Sciences, Ankara, Turkey.

出版信息

Case Rep Radiol. 2017;2017:7047696. doi: 10.1155/2017/7047696. Epub 2017 Dec 24.

Abstract

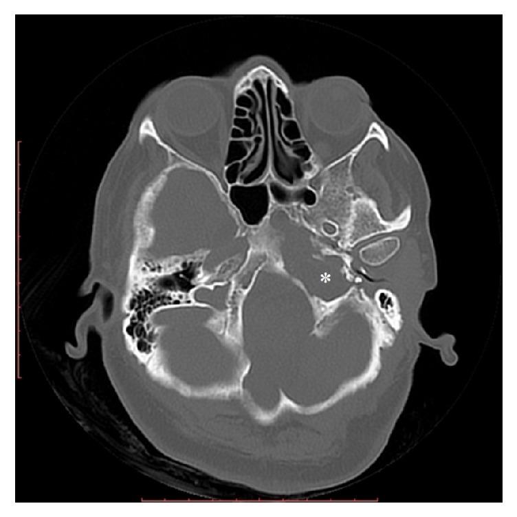
Neurofibromatosis type I (NF1) is a neurocutaneous disorder that involves autosomal dominant transmission. Skull defects, including sphenoid dysplasia and calvarial defects, are a rare finding in patients with NF1. Spinal meningocele and sphenoid wing dysplasia have been identified in NF1 but the occurrence of meningoceles at the skull base is extremely rare. A rare instance of jugular foramen meningocele being identified in an NF1 patient on imaging is described in this paper. To the best of our knowledge, only two such cases have been reported in the English literature.

摘要
https://cdn.ncbi.nlm.nih.gov/pmc/blobs/d162/5757098/d19fb0cad5e3/CRIRA2017-7047696.001.jpg

文献AI研究员

20分钟写一篇综述,助力文献阅读效率提升50倍。

立即体验

用中文搜PubMed

大模型驱动的PubMed中文搜索引擎

马上搜索

文档翻译

学术文献翻译模型,支持多种主流文档格式。

立即体验