Suppr超能文献

一匹老龄马同时患有胸段间皮瘤和甲状腺C细胞腺瘤并伴有淀粉样沉积

Concurrent thoracic mesothelioma and thyroid C-cell adenoma with amyloid deposition in an aged horse.

作者信息

Fortin Jessica S, Royal Angela B, Kuroki Keiichi

机构信息

Veterinary Medical Diagnostic LaboratoryUniversity of MissouriColumbiaMissouriUSA.

出版信息

Vet Med Sci. 2017 Dec 14;4(1):63-70. doi: 10.1002/vms3.87. eCollection 2018 Feb.

Abstract

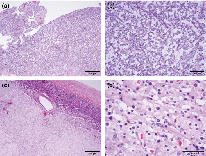
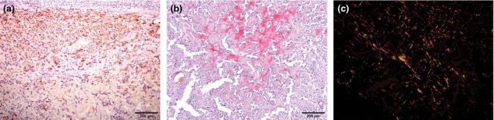
A 21-year-old American Saddlebred mare died with a history of weight loss and breathing difficulties of 1 month duration. Post-mortem examination revealed a copious pleural effusion with multifocal to coalescing numerous white to grey nodular masses on the serosal surface of the pericardium, lungs and thoracic cavity. In addition, the left thyroid gland was markedly enlarged. A thoracic mesothelioma and C-cell adenoma with amyloid deposits of the left thyroid gland were diagnosed by histopathology and confirmed by immunohistochemistry employing antibodies against cytokeratin (CK), vimentin and calcitonin. Amyloid deposits in the thyroid tumour were confirmed by Congo red staining with apple-green birefringence under polarized light. Mesothelioma remains an uncommon neoplasm encountered in aged horses. Discussion includes the diagnostic challenge of differentiating carcinomatosis from mesothelioma by histology and differentiating reactive and neoplastic mesothelial cells by cytology.

摘要

一匹21岁的美国鞍马死亡,有1个月的体重减轻和呼吸困难病史。尸检发现有大量胸腔积液,在心包膜、肺和胸腔的浆膜表面有多处融合的大量白色至灰色结节状肿块。此外,左甲状腺明显肿大。通过组织病理学诊断为胸腹膜间皮瘤和左甲状腺C细胞腺瘤伴淀粉样沉积,并通过使用抗细胞角蛋白(CK)、波形蛋白和降钙素的抗体进行免疫组织化学证实。甲状腺肿瘤中的淀粉样沉积通过刚果红染色在偏振光下呈苹果绿双折射得以证实。间皮瘤在老龄马匹中仍然是一种罕见的肿瘤。讨论内容包括通过组织学区分癌病和间皮瘤以及通过细胞学区分反应性和肿瘤性间皮细胞的诊断挑战。

https://cdn.ncbi.nlm.nih.gov/pmc/blobs/10b0/5813108/fb19ad0bf0c2/VMS3-4-63-g001.jpg

文献AI研究员

20分钟写一篇综述,助力文献阅读效率提升50倍。

立即体验

用中文搜PubMed

大模型驱动的PubMed中文搜索引擎

马上搜索

文档翻译

学术文献翻译模型,支持多种主流文档格式。

立即体验