Suppr超能文献

免疫治疗时代高级别胶质瘤的临床决策:4 例报告。

Clinical decision making in the era of immunotherapy for high grade-glioma: report of four cases.

机构信息

Neuro-Oncology Branch, Center for Cancer Research, National Cancer Institute, National Institute of Health, Bethesda, MD, 20892, USA.

Laboratory of Pathology, National Cancer Institute, National Institutes of Health, Bethesda, MD, 20892, USA.

出版信息

BMC Cancer. 2018 Mar 1;18(1):239. doi: 10.1186/s12885-018-4131-1.

Abstract

BACKGROUND

Immune checkpoint inhibitors (ICPIs) are being investigated in clinical trials for patients with glioblastoma. While these therapies hold great promise, management of the patients receiving such treatment can be complicated due to the challenges in recognizing immune-related adverse events caused by checkpoint inhibitor treatment. Brain imaging changes that are the consequence of an inflammatory response may be misinterpreted as disease progression leading to inappropriate premature cessation of treatment. The aim of this study was to, by way of a series of cases, underscore the challenges in determining the nature of contrast-enhancing masses that develop during the treatment of patients with glioblastoma treated with ICPIs.

CASE PRESENTATION

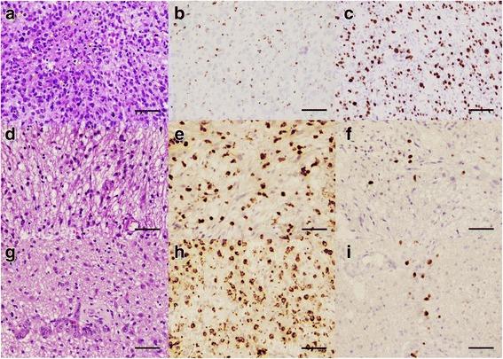
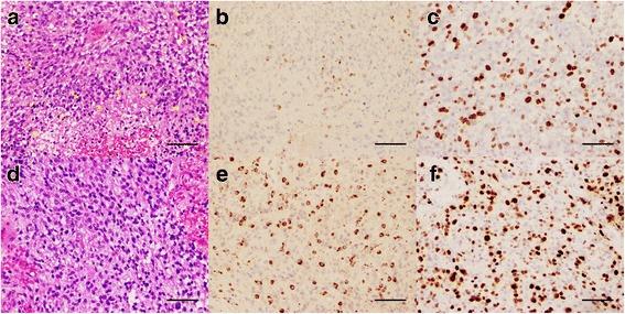
We reviewed the clinical course and management of 4 patients on ICPIs who developed signs of tumor progression on imaging. These findings were examined in the context of Immunotherapy Response Assessment in Neuro-Oncology (iRANO) guidelines. Although all 4 patients had very similar imaging findings, 2 of the 4 patients were later found to have intense inflammatory changes (pseudoprogression) by pathologic examination.

CONCLUSIONS

A high index of suspicion for pseudoprogression needs to be maintained when a patient with brain tumor on immunotherapy presents with worsening in an area of a pre-existing tumor or a new lesion in brain. Our findings strongly suggest that pathological diagnosis remains the gold standard for distinguishing tumor progression from pseudoprogression in patients receiving immunotherapy. There is a large unmet need to develop reliable non-invasive imaging diagnostic techniques.

TRIAL REGISTRATION

ClinicalTrials.gov NCT02311920. Registered 8 December 2014.

摘要

背景

免疫检查点抑制剂(ICPIs)正在临床试验中被用于治疗胶质母细胞瘤患者。虽然这些疗法有着巨大的潜力,但由于识别由检查点抑制剂治疗引起的免疫相关不良反应的挑战,接受此类治疗的患者的管理可能会变得复杂。由炎症反应引起的脑影像变化可能会被误诊为疾病进展,从而导致过早停止治疗。本研究的目的是通过一系列病例强调在确定胶质母细胞瘤患者在接受 ICPIs 治疗期间发生的增强肿块性质方面所面临的挑战。

病例介绍

我们回顾了 4 名接受 ICPIs 治疗的患者的临床病程和管理情况,这些患者在影像学上出现了肿瘤进展的迹象。这些发现根据神经肿瘤免疫治疗反应评估(iRANO)指南进行了检查。尽管所有 4 名患者的影像学表现非常相似,但其中 2 名患者后来通过病理检查发现存在强烈的炎症变化(假性进展)。

结论

当接受免疫治疗的脑肿瘤患者出现原有肿瘤区域恶化或脑内新病变时,需要高度怀疑假性进展。我们的研究结果强烈表明,病理诊断仍然是区分免疫治疗患者肿瘤进展与假性进展的金标准。目前迫切需要开发可靠的非侵入性影像学诊断技术。

试验注册

ClinicalTrials.gov NCT02311920。于 2014 年 12 月 8 日注册。

https://cdn.ncbi.nlm.nih.gov/pmc/blobs/530d/5831705/00ab34aa1397/12885_2018_4131_Fig1_HTML.jpg

文献检索

告别复杂PubMed语法,用中文像聊天一样搜索,搜遍4000万医学文献。AI智能推荐,让科研检索更轻松。

立即免费搜索

文件翻译

保留排版,准确专业,支持PDF/Word/PPT等文件格式,支持 12+语言互译。

免费翻译文档

深度研究

AI帮你快速写综述,25分钟生成高质量综述,智能提取关键信息,辅助科研写作。

立即免费体验