Suppr超能文献

原发性肺平滑肌瘤手术切除后导致继发性肥厚性骨关节病的无菌性支气管胸膜瘘

Sterile Bronchopleural Fistula Following Surgical Removal of Primary Lung Leiomyoma Inducing Secondary Hypertrophic Osteoarthropathy.

作者信息

AlAmodi Abdulhadi A, Farhoud Mohamad H, Mohammad Najwa, Alatassi Rawan, Alolayet Dana, AlQeshtaini Noor, AlMamlouk Raghad, Ahmed Mohamed Hussein, Ashour Mahmoud, Kayyali Sara S, AlShammari Abdullah

机构信息

College of Medicine, Alfaisal University, Riyadh, Saudi Arabia.

College of Medicine, King Saud University, Riyadh, Saudi Arabia.

出版信息

Am J Case Rep. 2018 Mar 9;19:267-271. doi: 10.12659/ajcr.908105.

Abstract

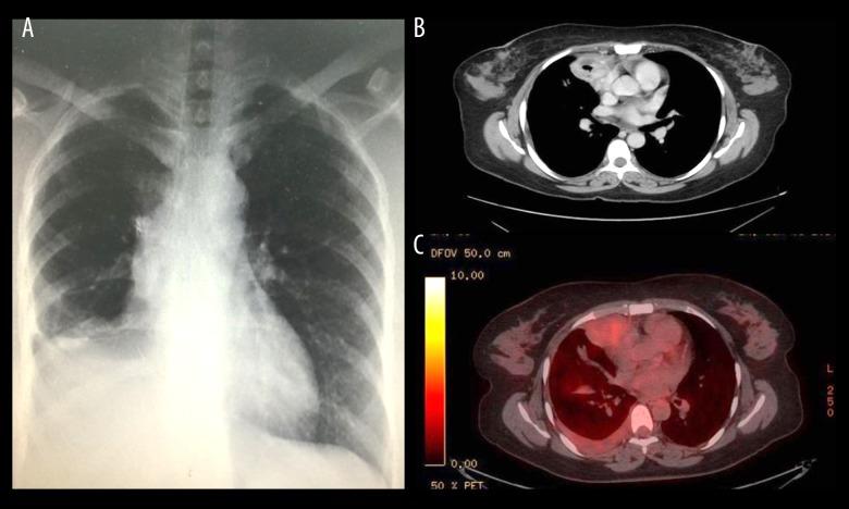
BACKGROUND Leiomyomas are benign neoplasms of the smooth muscle. When found in the pulmonary system, a rare occurrence, leiomyomas can result in hypertrophic osteoarthropathy, or significant clubbing, associated with proliferation of long bone periosteum. Bronchopulmonary fistulas, or communications between the bronchial tree and pleural space, are an uncommon postoperative complication of pneumonectomies. Even more infrequent is the presence of a bronchopulmonary fistula that is determined to be sterile. CASE REPORT The patient presented in the current case report is a 40-year-old previously healthy woman who presented with a 5-year history of chronic cough, right-sided chest discomfort, and dyspnea associated with back pain, and lower leg pain. The CT scan performed on the patient revealed a mass originating from the right lower lobe. Activity at the site of the lesion, in the long bones of the upper and lower limbs, rib cage, and vertebral bones was demonstrated by a bone scan. A CT-guided biopsy was performed, and the pathology report confirmed the presence of a leiomyoma. Following a right-sided lobectomy, the resected tumor was sent for histopathology, with the results confirming the biopsy. The patient subsequently presented with a history of persistent cough associated with increased watery secretions. The CT scan revealed the presence of a bronchopleural fistula, after which the patient underwent surgical correction. All symptoms resolved, and the patient was discharged in stable condition. CONCLUSIONS Here, we report on a patient who presented with 3 rare clinical findings: pulmonary leiomyoma, hypertrophic osteoarthropathy, and sterile bronchopulmonary fistula.

摘要

背景 平滑肌瘤是平滑肌的良性肿瘤。当在肺部系统发现时(这种情况很少见),平滑肌瘤可导致肥大性骨关节病或明显的杵状指,伴有长骨骨膜增生。支气管肺瘘,即支气管树与胸膜腔之间的连通,是肺切除术后一种不常见的并发症。更罕见的是发现无菌性支气管肺瘘。病例报告 本病例报告中的患者是一名40岁的既往健康女性,有5年慢性咳嗽、右侧胸部不适、伴有背痛和小腿疼痛的呼吸困难病史。对该患者进行的CT扫描显示右肺下叶有一个肿块。骨扫描显示病变部位、上肢和下肢长骨、肋骨和椎骨有活动。进行了CT引导下活检,病理报告证实存在平滑肌瘤。右侧肺叶切除术后,将切除的肿瘤送去做组织病理学检查,结果证实了活检结果。该患者随后出现持续咳嗽并伴有水样分泌物增多的病史。CT扫描显示存在支气管胸膜瘘,之后患者接受了手术矫正。所有症状均缓解,患者出院时病情稳定。结论 在此,我们报告了一名出现3种罕见临床发现的患者:肺平滑肌瘤、肥大性骨关节病和无菌性支气管肺瘘。

https://cdn.ncbi.nlm.nih.gov/pmc/blobs/7d39/5865406/3eb709c419b8/amjcaserep-19-267-g001.jpg

文献AI研究员

20分钟写一篇综述,助力文献阅读效率提升50倍。

立即体验

用中文搜PubMed

大模型驱动的PubMed中文搜索引擎

马上搜索

文档翻译

学术文献翻译模型,支持多种主流文档格式。

立即体验