Suppr超能文献

一名年轻成人患有原发性颅内INI1缺陷型横纹肌样肿瘤且CD34免疫阳性。

Primary intracerebral INI1-deficient rhabdoid tumor with CD34 immunopositivity in a young adult.

作者信息

Bodi Istvan, Giamouriadis Anastasios, Sibtain Naomi, Laxton Ross, King Andrew, Vergani Francesco

机构信息

Department of Clinical Neuropathology, King's College Hospital NHS Foundation Trust, London, UK.

Department of Neurosurgery, King's College Hospital NHS Foundation Trust, London, UK.

出版信息

Surg Neurol Int. 2018 Feb 21;9:45. doi: 10.4103/sni.sni_334_17. eCollection 2018.

Abstract

BACKGROUND

Primary CNS malignant rhabdoid tumors are very rare in adults and much less is known about their biological behavior than in children. Recently, two adult cases of SMARCB1 (also known as INI1)-deficient tumor with rhabdoid cells have been described, suggesting an emerging group of primary meningeal SMARCB1-deficient tumors. We have recently encountered a case of INI1-deficient tumor with similar histology and immunophenotype to the above cases, but with a superficial cerebral, yet apparent intra-axial origin.

CASE DESCRIPTION

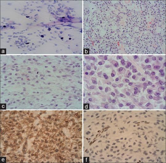
A 22-year-old woman presented with approximately one year history of focal sensorimotor right upper limb seizures and recently developed a slowly progressive weakness in her right hand. An MRI of the brain demonstrated an avidly enhancing lesion centered on the left perirolandic region with no definite dural involvement. The patient underwent a complete surgical excision. Histology revealed a tumor with monotonous epithelioid and spindle-shaped cells in a mucoid/myxoid background. There was focal mitotic activity and a few necrotic areas, in addition to many rhabdoid cells. The immunohistochemistry was negative for INI1 and there was strong positivity with CD34, while focal smooth muscle actin (SMA) and epithelial membrane antigen (EMA) immunoreactivity were also noted.

CONCLUSIONS

As an addition to the two cases of adult SMARCB1-deficient tumors recently described, we present a further adult case with a similar immunohistochemical profile but with an apparent intra-axial origin, questioning the necessary meningeal origin of this type of tumor. The prognosis of this adult INI1/SMARCB1-deficient tumor is to be determined, but may be better than the pediatric atypical/teratoid tumor (AT/RT).

摘要

背景

原发性中枢神经系统恶性横纹肌样肿瘤在成人中非常罕见,人们对其生物学行为的了解远少于儿童。最近,已有两例成人SMARCB1(也称为INI1)缺陷型伴有横纹肌样细胞的肿瘤被报道,提示出现了一组原发性脑膜SMARCB1缺陷型肿瘤。我们最近遇到了一例INI1缺陷型肿瘤,其组织学和免疫表型与上述病例相似,但起源于大脑浅表且明显位于轴内。

病例描述

一名22岁女性,有大约一年的右侧上肢局灶性感觉运动性癫痫病史,近期右手出现缓慢进展性无力。脑部MRI显示一个以左侧中央前回周围区域为中心的明显强化病灶,无明确硬脑膜受累。患者接受了完整的手术切除。组织学检查显示肿瘤由在黏液样/黏液变性背景下的单一上皮样和梭形细胞组成。除了许多横纹肌样细胞外,还有局灶性有丝分裂活性和一些坏死区域。免疫组化显示INI1阴性,CD34呈强阳性,同时也注意到局灶性平滑肌肌动蛋白(SMA)和上皮膜抗原(EMA)免疫反应阳性。

结论

作为最近报道的两例成人SMARCB1缺陷型肿瘤的补充,我们又报道了一例成人病例,其具有相似的免疫组化特征,但起源明显位于轴内,这对这类肿瘤必需起源于脑膜提出了质疑。这种成人INI1/SMARCB1缺陷型肿瘤的预后有待确定,但可能优于儿童非典型/畸胎样肿瘤(AT/RT)。

https://cdn.ncbi.nlm.nih.gov/pmc/blobs/a6ef/5843975/26a99eb2eb4a/SNI-9-45-g001.jpg

文献AI研究员

20分钟写一篇综述,助力文献阅读效率提升50倍。

立即体验

用中文搜PubMed

大模型驱动的PubMed中文搜索引擎

马上搜索

文档翻译

学术文献翻译模型,支持多种主流文档格式。

立即体验