Suppr超能文献

血管紧张素转换酶引起的小肠血管性水肿:计算机断层扫描表现

Small bowel angioedema from angiotensin-converting enzyme: Changes on computed tomography.

作者信息

Vallabh Hiren, Hahn Bethani, Bryan Cara, Hogg Jeffery, Kupec Justin T

机构信息

Department of Medicine, Section of Digestive Diseases, West Virginia University Hospitals, 1 Medical Center Drive, Box 9161, Morgantown, WV 26506, USA.

Department of Radiology, West Virginia University Hospitals, Morgantown, WV, USA.

出版信息

Radiol Case Rep. 2017 Oct 16;13(1):55-57. doi: 10.1016/j.radcr.2017.09.014. eCollection 2018 Feb.

Abstract

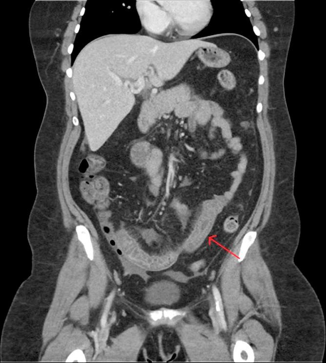
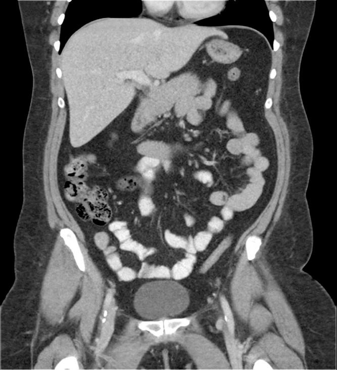
Intestinal angioedema is a rare side effect of angiotensin-converting enzyme inhibitors. We present a 41-year-old woman with sporadic right lower quadrant abdominal pain and diarrhea with multiple computed tomography scans demonstrating enteritis. Suspicion turned to angiotensin-converting enzyme inhibitor use as the cause for the patient's illness after an extensive negative evaluation including labs, stool studies, endoscopies, and capsule endoscopy. Weeks after stopping the medication, the patient's symptoms improved and repeat computed tomography showed a resolution of the previously seen findings of enteritis. This case illustrates the importance of a good medication review to make appropriate clinical decisions and diagnoses.

摘要

肠道血管性水肿是血管紧张素转换酶抑制剂的一种罕见副作用。我们报告一名41岁女性,有散发性右下腹腹痛和腹泻,多次计算机断层扫描显示为肠炎。在进行包括实验室检查、粪便研究、内镜检查和胶囊内镜检查在内的广泛阴性评估后,怀疑病因是血管紧张素转换酶抑制剂的使用。停药数周后,患者症状改善,重复计算机断层扫描显示先前所见的肠炎表现已消退。该病例说明了进行良好的用药回顾以做出适当临床决策和诊断的重要性。

https://cdn.ncbi.nlm.nih.gov/pmc/blobs/14ef/5851310/d6a96fc1dd2b/radcr342-fig-0001.jpg

文献AI研究员

20分钟写一篇综述,助力文献阅读效率提升50倍。

立即体验

用中文搜PubMed

大模型驱动的PubMed中文搜索引擎

马上搜索

文档翻译

学术文献翻译模型,支持多种主流文档格式。

立即体验