Zhao Dandan, Zhao Shaoqian, Wang Xiao, Su Mingbo, Liu Wen, Ma Qinyun, Hong Jie, Gu Weiqiong, Li Jingya, Liu Ruixin, Ning Guang, Wang Jiqiu, Zhang Yifei
Department of Endocrinology and Metabolism, China National Research Center for Metabolic Diseases, National Key Laboratory for Medical Genomes, Ruijin Hospital, Shanghai Jiao Tong University School of Medicine (SJTUSM), Shanghai, China.
National Center for Drug Screening, Shanghai Institute of Material Medical (SIMM), Chinese Academy of Science (CAS), Shanghai, China.
Front Endocrinol (Lausanne). 2018 Mar 5;9:62. doi: 10.3389/fendo.2018.00062. eCollection 2018.
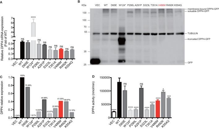
The clinical application of dipeptidyl peptidase IV inhibitors (DPP4i) increasing active glucagon-like peptide-1 (AGLP-1) levels has been linked to pancreatitis, pancreatic tumors, and cardiovascular events. However, mutations in humans or the long-term outcomes of high glucagon-like peptide-1 (GLP-1) level exposure have not been reported. A trio family with a proband showing an extremely high AGLP-1 level [defined here as hyperglipemia (hyper-glucagon-like peptide-1-emia)] were conducted whole-exome sequencing for potential pathogenic genetic defects. One novel mutation, p.V486M (c.1456 G>A), was identified in the proband and showed damaged enzymatic activity of DPP4. functional study further showed that the serum from the proband markedly enhanced insulin production of primary rat islet cells. Furthermore, V486M variant and another eight variants were identified in our in-home database and seven showed decreased enzymatic activities than wild-type DPP4, consistent with their alterations in their protein expression levels. Of note, the levels of glucose, lipids, and tumor markers (especially for CA15-3 and CA125), increased gradually in the proband during a 4-year follow-up period, although no abnormal physical symptoms or imaging results were observed at present. The other two old carriers in the pedigree both had type 2 diabetes, and one of them also had hyperlipidemia and myocarditis. We first identified hyperglipemia in a female subject harboring a loss-of-function mutation with decreased DPP4 activity. Other sporadic mutations verified the low-frequent occurrence of genetic inhibition of DPP4 activity, at least in the Chinese population studied. These results may provide new evidence for evaluation of the potential long-term effects of DPP4i and GLP-1 analogs.
二肽基肽酶IV抑制剂(DPP4i)可提高活性胰高血糖素样肽-1(AGLP-1)水平,其临床应用与胰腺炎、胰腺肿瘤及心血管事件有关。然而,尚未有关于人类突变或高胰高血糖素样肽-1(GLP-1)水平暴露的长期后果的报道。对一个先证者表现出极高AGLP-1水平[在此定义为高胰高血糖素样肽血症(高GLP-1血症)]的三联家庭进行全外显子测序,以寻找潜在的致病基因缺陷。在先证者中鉴定出一个新的突变,p.V486M(c.1456 G>A),该突变显示DPP4的酶活性受损。功能研究进一步表明,先证者的血清显著增强了原代大鼠胰岛细胞的胰岛素分泌。此外,在我们的内部数据库中鉴定出V486M变体和另外8个变体,其中7个显示出比野生型DPP4更低的酶活性,这与其蛋白质表达水平的改变一致。值得注意的是,在先证者4年的随访期间,血糖、血脂和肿瘤标志物(尤其是CA15-3和CA125)水平逐渐升高,尽管目前未观察到异常的身体症状或影像学结果。家系中的另外两名老年携带者均患有2型糖尿病,其中一人还患有高脂血症和心肌炎。我们首次在一名具有功能丧失突变且DPP4活性降低的女性受试者中发现了高胰高血糖素样肽血症。其他散发性突变证实了DPP4活性基因抑制的低频率发生,至少在所研究的中国人群中如此。这些结果可能为评估DPP4i和GLP-1类似物的潜在长期影响提供新的证据。