Suppr超能文献

人类神经瘤中神经内膜小管的病理性重塑

Pathologic Remodeling of Endoneurial Tubules in Human Neuromas.

作者信息

Karsy Michael, Palmer Cheryl A, Mahan Mark A

机构信息

Department of Neurosurgery, University of Utah.

Department of Pathology, University of Utah.

出版信息

Cureus. 2018 Jan 18;10(1):e2087. doi: 10.7759/cureus.2087.

Abstract

BACKGROUND

Laminins are extracellular matrix proteins that participate in endoneurial tubule formation and are important in the regeneration of nerves after injury. They act as scaffolds to guide nerves to distal targets and play a key role in neurite outgrowth. Because there is evidence that laminin architecture affects nerve regeneration, we evaluated endoneurial tubules by examining the laminin structure in clinical samples from patients with nerve injuries.

METHODS

In a retrospective review of eight nerve injury cases, we evaluated nerve histology in relation to clinical history and injury type. The immunohistochemical delineation of the laminin structure in relationship with the neuroma type was performed.

RESULTS

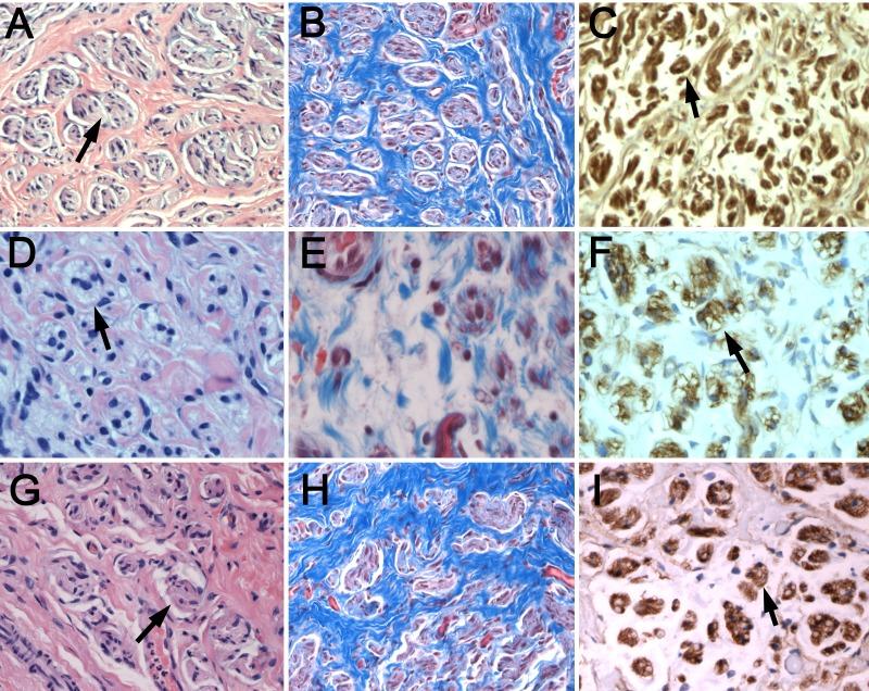
Five cases of upper-trunk stretch injuries-four from childbirth injury and one from a motorcycle accident-and three cases of nerve laceration leading to neuroma formation were examined. In the upper-trunk stretch injuries, avulsed nerves demonstrated no neuroma formation with a linear laminin architecture and a regular Schwann cell arrangement, but increased fibrous tissue deposition. For neuromas-in-continuity after a stretch injury, laminin immunohistochemistry demonstrated a double-lumen laminin tubule, with encapsulation of the Schwann cells and axonal processes. Nerve laceration leading to stump neuroma formation had a similar double-lumen laminin tubule, but less severe fibrosis.

CONCLUSIONS

In nerve injuries with regenerative capacity, endoneurial tubules become pathologically disorganized. A double-lumen endoneurial tubule of unclear significance develops. The consistency of this pattern potentially suggests a reproducible pathophysiologic process. Further exploration of this pathophysiologic healing may provide insight into the failure of programmed peripheral nerve regeneration after injury.

摘要

背景

层粘连蛋白是细胞外基质蛋白,参与神经内膜小管的形成,对损伤后神经的再生很重要。它们作为支架引导神经到达远端靶点,并在神经突生长中起关键作用。由于有证据表明层粘连蛋白结构影响神经再生,我们通过检查神经损伤患者临床样本中的层粘连蛋白结构来评估神经内膜小管。

方法

在对8例神经损伤病例的回顾性研究中,我们根据临床病史和损伤类型评估神经组织学。对与神经瘤类型相关的层粘连蛋白结构进行免疫组织化学描绘。

结果

检查了5例上干牵拉伤——4例由分娩损伤引起,1例由摩托车事故引起——以及3例导致神经瘤形成的神经撕裂伤。在上干牵拉伤中,撕脱的神经未形成神经瘤,具有线性层粘连蛋白结构和规则的雪旺细胞排列,但纤维组织沉积增加。对于牵拉伤后连续性神经瘤,层粘连蛋白免疫组织化学显示双腔层粘连蛋白小管,雪旺细胞和轴突被包裹。导致残端神经瘤形成的神经撕裂伤有类似的双腔层粘连蛋白小管,但纤维化较轻。

结论

在具有再生能力的神经损伤中,神经内膜小管发生病理紊乱。出现了意义不明的双腔神经内膜小管。这种模式的一致性可能提示了一个可重复的病理生理过程。对这种病理生理愈合的进一步探索可能有助于深入了解损伤后程序性周围神经再生的失败。

https://cdn.ncbi.nlm.nih.gov/pmc/blobs/c0be/5856420/62ee03e0e1d0/cureus-0010-00000002087-i01.jpg

文献AI研究员

20分钟写一篇综述,助力文献阅读效率提升50倍。

立即体验

用中文搜PubMed

大模型驱动的PubMed中文搜索引擎

马上搜索

文档翻译

学术文献翻译模型,支持多种主流文档格式。

立即体验