Lu Hao-Yuan, Wei Wei, Chen Qi-Wei, Meng Qing-Gui, Hu Gao-Hua, Yi Xian-Lin, Bai Xian-Zhong
Department of Urology, Tumor Hospital of Guangxi Medical University and Guangxi Cancer Research Institute, Nanning 530021, China.
Department of Radiology, Tumor Hospital of Guangxi Medical University and Guangxi Cancer Research Institute, Nanning 530021, China.
Ther Clin Risk Manag. 2018 Mar 8;14:489-492. doi: 10.2147/TCRM.S152460. eCollection 2018.
To study an uncommon life-threatening disease, spontaneous retroperitoneal and perirenal hemorrhage.
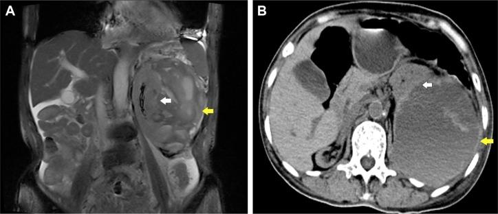
A 69-year-old male presented with pain in the left waist and back of 1 month duration. The renal abscess was suspected by magnetic resonance imaging before operation. The perirenal hematoma was cleaned by operation. In another case, the patient had a functional solitary left kidney compressed by a huge retroperitoneal mass and uropenia appeared.
The first patient died of adult respiratory distress syndrome after surgery. The second patient died of cardiac insufficiency and pulmonary embolism on the second day after evacuation of retroperitoneal hematoma.
Conservative surgery, such as selective arterial embolization, is a reasonable approach in patients with chronic spontaneous retroperitoneal and perirenal space hemorrhage and with poor general condition. We strongly recommend drainage or interventional therapy, but not a major surgery, in patients with poor condition.
研究一种罕见的危及生命的疾病——自发性腹膜后和肾周出血。
一名69岁男性,左侧腰背部疼痛1个月。术前磁共振成像怀疑为肾脓肿。术中清除了肾周血肿。另一例患者,其功能性孤立左肾被巨大腹膜后肿块压迫,出现少尿。
首例患者术后死于成人呼吸窘迫综合征。第二例患者在腹膜后血肿清除术后第二天死于心功能不全和肺栓塞。
对于慢性自发性腹膜后和肾周间隙出血且全身状况较差的患者,保守手术如选择性动脉栓塞是一种合理的治疗方法。对于病情较差的患者,我们强烈建议采用引流或介入治疗,而非大手术。