Suppr超能文献

两名患有罕见的直肠混合性腺神经内分泌癌的患者。

Two patients with rare mixed adenoneuroendocrine carcinomas of the rectum.

作者信息

Gül-Klein Safak, Sinn Marianne, Jurmeister Philipp Sebastian, Biebl Matthias, Weiß Sascha, Rau Beate, Bläker Hendrik, Pratschke Johann, Aigner Felix

机构信息

Department of Surgery, Campus Charité-Mitte and Campus Virchow-Klinikum, Charité-Universitätsmedizin Berlin, Berlin, Germany.

Department of Hematology, Oncology and Tumor Immunology, Charité-Universitätsmedizin Berlin, Berlin, Germany.

出版信息

SAGE Open Med Case Rep. 2018 Mar 14;6:2050313X18758816. doi: 10.1177/2050313X18758816. eCollection 2018.

Abstract

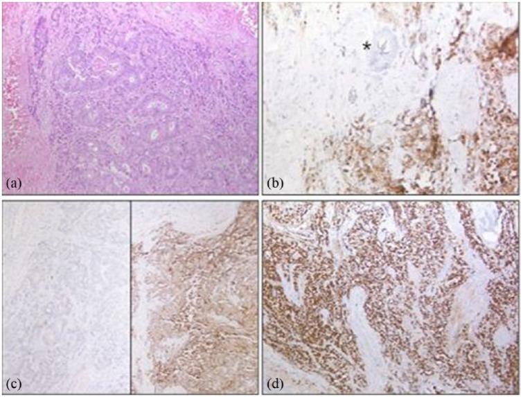
Mixed adenoneuroendocrine carcinomas of the gastrointestinal tract are until today poorly understood and thus very challenging for interdisciplinary therapy. We herewith report the first case series of patients with a primary mixed adenoneuroendocrine carcinoma of the rectum. Both cases were initially diagnosed as adenocarcinoma and only secondarily with mixed adenoneuroendocrine carcinoma and had a poor outcome due to a rapid tumor progression and resistance to chemotherapy. A 65-year-old female presented with local tumor recurrence and hepatopulmonary metastasis 1 year after primary surgery for adenocarcinoma of the rectum and consecutive radiochemotherapy regimen. Fluorouracil (5-FU) was followed by bevacizumab- and capecitabine-based chemotherapy but had to be discontinued due to side effects and progressive disease. Progressive local pain syndrome accompanied by recurrent bleeding episodes led to a local tumor-debulking operation. Afterward, mixed adenoneuroendocrine carcinoma as the underlying diagnosis in the final histopathological examination was detected. The patient died 3 months after the operation in the context of a fulminant tumor progress. A 63-year-old male patient underwent neoadjuvant radiochemotherapy and laparoscopic rectum resection. After 5 months, postoperative oxaliplatin/capecitabine-based adjuvant chemotherapy was switched to carboplatin/etopsid due to a progressive polyneuropathy and biopsy-proven pulmonary metastasis. The patient then had to be switched to local radiation of cerebral metastases and Topotecan due to cerebral bleeding episodes but died 18 months after the initial diagnosis. In conclusion of our case series, mixed adenoneuroendocrine carcinomas of the rectum should be considered as a rare but aggressive tumor entity. An early and detailed histopathological diagnosis is required in order to establish an individual interdisciplinary treatment concept.

摘要

胃肠道混合性腺神经内分泌癌至今仍了解甚少,因此对多学科治疗极具挑战性。我们在此报告首例原发性直肠混合性腺神经内分泌癌患者的病例系列。两例患者最初均被诊断为腺癌,后来才确诊为混合性腺神经内分泌癌,由于肿瘤进展迅速且对化疗耐药,预后较差。一名65岁女性在直肠癌腺癌初次手术后接受序贯放化疗1年后出现局部肿瘤复发及肝肺转移。采用氟尿嘧啶(5-FU)后,继以贝伐单抗和卡培他滨为基础的化疗,但因副作用和疾病进展而不得不停药。进行性局部疼痛综合征伴反复出血发作导致了局部肿瘤减积手术。术后最终组织病理学检查发现潜在诊断为混合性腺神经内分泌癌。患者在术后3个月因肿瘤暴发性进展死亡。一名63岁男性患者接受了新辅助放化疗及腹腔镜直肠切除术。5个月后,由于进行性多发性神经病变及活检证实的肺转移,术后以奥沙利铂/卡培他滨为基础的辅助化疗改为卡铂/依托泊苷。该患者随后因脑出血发作不得不改为脑转移瘤局部放疗及拓扑替康治疗,但在初次诊断后18个月死亡。在我们的病例系列总结中,直肠混合性腺神经内分泌癌应被视为一种罕见但侵袭性强的肿瘤实体。需要早期及详细的组织病理学诊断以制定个体化的多学科治疗方案。

https://cdn.ncbi.nlm.nih.gov/pmc/blobs/c96c/5858677/2c7364c5cb54/10.1177_2050313X18758816-fig1.jpg

文献AI研究员

20分钟写一篇综述,助力文献阅读效率提升50倍。

立即体验

用中文搜PubMed

大模型驱动的PubMed中文搜索引擎

马上搜索

文档翻译

学术文献翻译模型,支持多种主流文档格式。

立即体验