Suppr超能文献

双巴尔塔扎尔术式经双部位修补胃袖状切除术后胃漏:一种新手术技术的病例报告。

Double Baltazar Procedure for Repair of Gastric Leakage Post-Sleeve Gastrectomy from Two Sites: Case Report of New Surgical Technique.

机构信息

Department of General Surgery, Al Zahraa University Hospital, Jnah, Beirut, Lebanon.

出版信息

Obes Surg. 2018 Jul;28(7):2092-2095. doi: 10.1007/s11695-018-3241-9.

Abstract

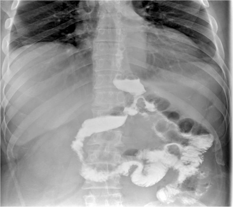
BACKGROUND

Staple line leak is one of the most challenging complications following laparoscopic sleeve gastrectomy, with a rate reaching near 1%. Its management often implicates a multidisciplinary approach and experienced bariatric and metabolic surgeons. The literature is abundant on various approaches to treat single staple line leak with variable results. But what to do in front of an intra-op incidental finding of double gastric fistulae?

METHODS

In this article, we describe a new successful surgical treatment option of double Baltazar technique for a patient who was found to have two gastric fistulae post-sleeve gastrectomy. We aim to demonstrate that this approach is safe and effective and can help avoid major side effects of traditional treatment options for such complications.

RESULTS

The patient presented 20 days following a laparoscopic sleeve gastrectomy in a severe septic condition and was found to have a gastric leak. During surgical repair, unlike the usual single proximal fistula findings, another opening was identified more distally. Decision was made to proceed with a double fistulo-jejunostomy. It was a feasible technique, with no intra-op complications. Post-operatively, the patient had a successful recover, with no residual leak.

CONCLUSIONS

Double Baltazar technique is a successful and feasible treatment option for patients presenting with two gastric fistulae following sleeve gastrectomy. This is the first case report describing this new technique, and its success should encourage more similar trials and avoid more aggressive surgical options such as total gastrectomy or gastric bypass.

摘要

背景

吻合口渗漏是腹腔镜袖状胃切除术最具挑战性的并发症之一,发生率接近 1%。其处理通常需要多学科的方法和有经验的减重和代谢外科医生。文献中有多种方法可用于治疗单一吻合口渗漏,但结果各不相同。但是,如果在腹腔镜袖状胃切除术后术中偶然发现双胃瘘,该怎么办?

方法

本文描述了一种新的成功的手术治疗方法,即双 Baltazar 技术,用于治疗一位术后发生双胃瘘的患者。我们旨在证明这种方法是安全有效的,可以避免传统治疗方法治疗此类并发症的主要副作用。

结果

患者在腹腔镜袖状胃切除术后 20 天出现严重感染,并发现有胃漏。在手术修复过程中,与通常的单一近端瘘口发现不同,在更远端发现了另一个开口。决定进行双胃瘘空肠吻合术。这是一种可行的技术,术中没有并发症。术后,患者恢复顺利,没有残余漏。

结论

双 Baltazar 技术是治疗腹腔镜袖状胃切除术后出现双胃瘘的患者的一种成功且可行的治疗选择。这是首例描述这种新技术的病例报告,其成功应鼓励更多类似的试验,并避免更具侵袭性的手术选择,如全胃切除术或胃旁路术。

https://cdn.ncbi.nlm.nih.gov/pmc/blobs/a275/6018596/c0a456780bb7/11695_2018_3241_Fig1_HTML.jpg

相似文献

3
Roux-En-Y Fistulo-Jejunostomy as a salvage procedure in patients with post-sleeve gastrectomy fistula.
Surg Endosc. 2014 Jun;28(6):1954-60. doi: 10.1007/s00464-014-3424-y. Epub 2014 Feb 25.
4
Management of a persistent staple line leakage with Roux-en-Y fistulojejunostomy following sleeve gastrectomy.
Surg Obes Relat Dis. 2017 Mar;13(3):e16-e18. doi: 10.1016/j.soard.2016.12.009. Epub 2016 Dec 19.
6
Surgical management of chronic fistula after sleeve gastrectomy.
Surg Obes Relat Dis. 2013 Nov-Dec;9(6):879-84. doi: 10.1016/j.soard.2013.02.010. Epub 2013 Mar 14.
7
Definitive surgical management of staple line leak after sleeve gastrectomy.
Surg Obes Relat Dis. 2015 Sep-Oct;11(5):1037-43. doi: 10.1016/j.soard.2015.04.017. Epub 2015 Apr 30.

引用本文的文献

2
Revisional Surgeries of Laparoscopic Sleeve Gastrectomy.
Diabetes Metab Syndr Obes. 2021 Feb 10;14:575-588. doi: 10.2147/DMSO.S295162. eCollection 2021.

本文引用的文献

2
Roux-En-Y Fistulo-Jejunostomy as a salvage procedure in patients with post-sleeve gastrectomy fistula.
Surg Endosc. 2014 Jun;28(6):1954-60. doi: 10.1007/s00464-014-3424-y. Epub 2014 Feb 25.
4
Sleeve gastrectomy.
N Z Med J. 2012 Aug 10;125(1359):5-6.
5
Sleeve gastrectomy as sole and definitive bariatric procedure: 5-year results for weight loss and ghrelin.
Obes Surg. 2010 May;20(5):535-40. doi: 10.1007/s11695-009-0066-6. Epub 2010 Jan 22.
6
Gastric leak after laparoscopic-sleeve gastrectomy for obesity.
Obes Surg. 2009 Dec;19(12):1672-7. doi: 10.1007/s11695-009-9884-9.
7
Use of Roux limb as remedial surgery for sleeve gastrectomy fistulas.
Surg Obes Relat Dis. 2008 Nov-Dec;4(6):759-63. doi: 10.1016/j.soard.2008.07.012. Epub 2008 Aug 5.
8
Use of a Roux limb to correct esophagogastric junction fistulas after sleeve gastrectomy.
Obes Surg. 2007 Oct;17(10):1408-10. doi: 10.1007/s11695-007-9222-z.
9
Treatment of gastric leaks with coated self-expanding stents after sleeve gastrectomy.
Obes Surg. 2007 Jul;17(7):866-72. doi: 10.1007/s11695-007-9161-8.
10
Laparoscopic sleeve gastrectomy as an initial weight-loss procedure for high-risk patients with morbid obesity.
Surg Endosc. 2006 Jun;20(6):859-63. doi: 10.1007/s00464-005-0134-5. Epub 2006 Apr 22.

文献AI研究员

20分钟写一篇综述,助力文献阅读效率提升50倍。

立即体验

用中文搜PubMed

大模型驱动的PubMed中文搜索引擎

马上搜索

文档翻译

学术文献翻译模型,支持多种主流文档格式。

立即体验