Suppr超能文献

创伤性幕上和幕下硬膜外血肿:病例系列及文献综述

Traumatic Supra- and Infra-tentorial Extradural Hematoma: Case Series and Literature Review.

作者信息

Aji Yunus Kuntawi, Apriawan Tedy, Bajamal Abdul Hafid

机构信息

Department of Neurosurgery, Faculty of Medicine, Universitas Airlangga, Dr. Soetomo General Hospital, Surabaya, Indonesia.

出版信息

Asian J Neurosurg. 2018 Apr-Jun;13(2):453-457. doi: 10.4103/ajns.AJNS_282_16.

Abstract

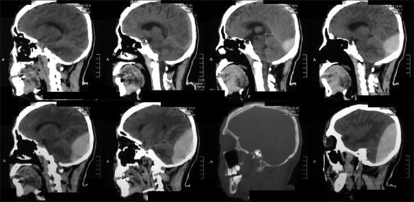
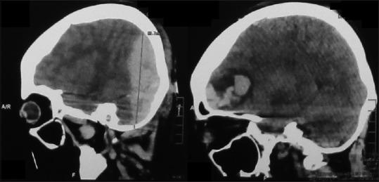
Traumatic supra- and infra-tentorial extradural hematoma (TSIEDH) is a rare lesion constituting <2% of all extradural hematomas. There are only a few published articles about TSIEDH. This study included three patients with TSIEDH who were treated and operated at Dr. Soetomo General Hospital, Surabaya, Indonesia, from August 2015 to July 2016. Two patients sustained injuries in traffic accidents and one patient was injured by fall. The male to female ratio was 1:2. Glasgow Coma Scale (GCS) score ≤8 was present in one and GCS score of 9-12 was present in two patients. The brain computed tomography scan verified linear fracture of occipital bone in one and linear fracture of occipital bone with lambdoid suture separation in two patients. Early diagnosis and early surgical intervention of TSIEDH are imperative because the deterioration of TSIEDH is sudden and quick. We presented our experience in treating patients with TSIEDH in Dr. Soetomo General Hospital, Surabaya, Indonesia.

摘要

创伤性幕上和幕下硬膜外血肿(TSIEDH)是一种罕见的病变,占所有硬膜外血肿的比例不到2%。关于TSIEDH的已发表文章很少。本研究纳入了2015年8月至2016年7月在印度尼西亚泗水苏托莫综合医院接受治疗和手术的3例TSIEDH患者。2例患者在交通事故中受伤,1例患者因跌倒受伤。男女比例为1:2。1例患者格拉斯哥昏迷量表(GCS)评分≤8,2例患者GCS评分为9 - 12。脑部计算机断层扫描显示1例患者枕骨线性骨折,2例患者枕骨线性骨折伴人字缝分离。由于TSIEDH的恶化突然且迅速,因此对其进行早期诊断和早期手术干预至关重要。我们介绍了在印度尼西亚泗水苏托莫综合医院治疗TSIEDH患者的经验。

https://cdn.ncbi.nlm.nih.gov/pmc/blobs/68d0/5898130/8ba124147cfd/AJNS-13-453-g002.jpg

文献AI研究员

20分钟写一篇综述,助力文献阅读效率提升50倍。

立即体验

用中文搜PubMed

大模型驱动的PubMed中文搜索引擎

马上搜索

文档翻译

学术文献翻译模型,支持多种主流文档格式。

立即体验