Suppr超能文献

脑桥被盖部发育异常的临床影像学表现:一种罕见后脑畸形的病例报告

Clinicoradiological aspects of pontine tegmental cap dysplasia: Case report of a rare hindbrain malformation.

作者信息

Bhayana Aanchal, Bajaj Sunil K, Misra Ritu N, Kumaran S Senthil

机构信息

Department of Radiodiagnosis, Safdarjung Hospital and VM Medical College, New Delhi, India.

Department of Nuclear Medical Resonance, All India Institute of Medical Sciences, New Delhi, India.

出版信息

Indian J Radiol Imaging. 2018 Jan-Mar;28(1):18-21. doi: 10.4103/ijri.IJRI_25_17.

Abstract

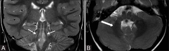
Malformations involving the brainstem are very rare and present with a varied spectrum of clinical symptoms due to multiple cranial nerve palsies and pyramidal tract involvement. Of these, pontine tegmental cap dysplasia is a very unusual malformation, characterized by ventral pons hypoplasia and an ectopic dorsal band of tissue, projecting into the fourth ventricle, from dorsal pontine tegmentum. A 4-year-old male child, presenting with left facial nerve palsy, revealed hypoplastic ventral pons and an ectopic structure on magnetic resonance imaging (MRI). The ectopic structure was isointense to pons, arose from the left side of dorsal pontine tegmentum, at pontomedullary junction and protruded into the fourth ventricle, impinging upon the left seventh and eighth cranial nerves. Diffusion tensor imaging (DTI) depicted abnormal white matter tracts in ectopic tissue with absent transverse pontine fibres and abnormal middle and superior cerebellar peduncles. The typical MRI appearance, coupled with DTI, helped us reach an accurate diagnosis of pontine tegmental cap dysplasia, in a setting of neurological dysfunction.

摘要

累及脑干的畸形非常罕见,由于多组颅神经麻痹和锥体束受累,会出现各种各样的临床症状。其中,脑桥被盖帽发育异常是一种非常罕见的畸形,其特征是脑桥腹侧发育不全,以及从脑桥背侧被盖向第四脑室突出的异位组织带。一名4岁男童,表现为左侧面神经麻痹,磁共振成像(MRI)显示脑桥腹侧发育不全和一个异位结构。该异位结构与脑桥等信号,起源于脑桥延髓交界处脑桥背侧被盖左侧,突入第四脑室,压迫左侧第七和第八颅神经。弥散张量成像(DTI)显示异位组织中的白质束异常,脑桥横纤维缺如,小脑上脚和中脚异常。典型的MRI表现,结合DTI,有助于我们在神经功能障碍的情况下准确诊断脑桥被盖帽发育异常。

https://cdn.ncbi.nlm.nih.gov/pmc/blobs/762c/5894312/769948fc9c1f/IJRI-28-18-g001.jpg

文献AI研究员

20分钟写一篇综述,助力文献阅读效率提升50倍。

立即体验

用中文搜PubMed

大模型驱动的PubMed中文搜索引擎

马上搜索

文档翻译

学术文献翻译模型,支持多种主流文档格式。

立即体验