Suppr超能文献

一例伴有多发淋巴结转移的小的、高分化直肠神经内分泌肿瘤:病例报告

A small, well-differentiated rectal neuroendocrine tumor with multiple lymph node metastases: A case report.

作者信息

Nam Seung-Joo, Chae Gi Bong, Lee Seungkoo, Park Sung Chul, Kang Chang Don, Lee Sung Joon

机构信息

Department of Internal Medicine, Kangwon National University School of Medicine, Chuncheon, Gangwon 24289, Republic of Korea.

Department of Surgery, Kangwon National University School of Medicine, Chuncheon, Gangwon 24289, Republic of Korea.

出版信息

Oncol Lett. 2018 May;15(5):7139-7143. doi: 10.3892/ol.2018.8257. Epub 2018 Mar 14.

Abstract

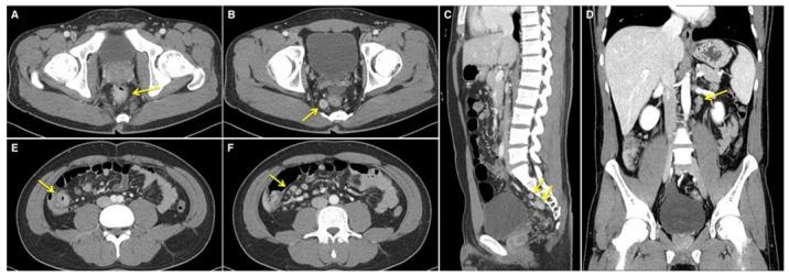
The incidence of rectal neuroendocrine tumor (NET), which is often diagnosed during routine surveillance endoscopy, is increasing. The majority of these tumors are small and asymptomatic, possessing benign features with favorable prognoses. At present, small rectal NETs without high-risk factors are typically treated by local resection, including endoscopic mucosal resection, endoscopic submucosal dissection, or transanal endoscopic microsurgery, with or without additional imaging follow-up by abdominal computed tomography or magnetic resonance imaging. The present study, however, describes a case of a small rectal NET without any known risk factors, which was accompanied by substantial locoregional lymph node metastasis, underscoring the importance of imaging studies for rectal NETs.

摘要

直肠神经内分泌肿瘤(NET)的发病率正在上升,这类肿瘤常在常规监测性内镜检查时被诊断出来。这些肿瘤大多体积小且无症状,具有良性特征,预后良好。目前,无高危因素的小直肠NET通常采用局部切除治疗,包括内镜黏膜切除术、内镜黏膜下剥离术或经肛门内镜显微手术,术后可进行或不进行腹部计算机断层扫描或磁共振成像的额外影像学随访。然而,本研究描述了一例无任何已知危险因素的小直肠NET病例,该病例伴有大量局部区域淋巴结转移,强调了直肠NET影像学检查的重要性。

https://cdn.ncbi.nlm.nih.gov/pmc/blobs/d641/5920250/8d0088cfa39c/ol-15-05-7139-g00.jpg

文献AI研究员

20分钟写一篇综述,助力文献阅读效率提升50倍。

立即体验

用中文搜PubMed

大模型驱动的PubMed中文搜索引擎

马上搜索

文档翻译

学术文献翻译模型,支持多种主流文档格式。

立即体验