Woppmann A, Rinke J, Lührmann R
Max-Planck-Institut für Molekulare Genetik, Otto Warburg Laboratories, Berlin, FRG.
Nucleic Acids Res. 1988 Dec 9;16(23):10985-1004. doi: 10.1093/nar/16.23.10985.
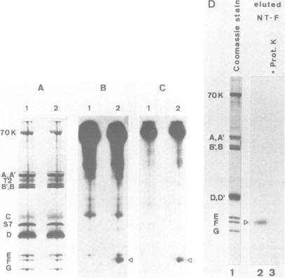
Protein-RNA interactions in small nuclear ribonucleoproteins (UsnRNPs) from HeLa cells were investigated by irradiation of purified nucleoplasmic snRNPs U1 to U6 with UV light at 254 nm. The cross-linked proteins were analyzed on one- and two-dimensional gel electrophoresis systems, and the existence of a stable cross-linkage was demonstrated by isolating protein-oligonucleotide complexes from snRNPs containing 32P-labelled snRNAs after exhaustive digestion with a mixture of RNases of different specificities. The primary target of the UV-light induced cross-linking reaction between protein and RNA was protein F. It was also found to be cross-linked to U1 snRNA in purified U1 snRNPs. Protein F is known to be one of the common snRNP proteins, which together with D, E and G protect a 15-25 nucleotide long stretch of snRNAs U1, U2, U4 and U5, the so-called domain A or Sm binding site against nuclease digestion (Liautard et al., 1982). It is therefore likely that the core-protein may bind directly and specifically to the common snRNA domain A, or else to a sub-region of this. The second protein which was demonstrated to be cross-linked to snRNA was the U1 specific protein 70K. Since it has been shown that binding of protein 70K to U1 RNP requires the presence of the 5' stem and loop of U1 RNA (Hamm et al., 1987) it is likely that the 70K protein directly interacts with a sub-region of the first stem loop structure.
通过用254nm紫外线照射从HeLa细胞纯化的核质小核核糖核蛋白(UsnRNPs)U1至U6,研究了其中的蛋白质-RNA相互作用。交联蛋白在一维和二维凝胶电泳系统上进行分析,在用不同特异性的核糖核酸酶混合物彻底消化后,从含有32P标记的snRNA的snRNPs中分离蛋白质-寡核苷酸复合物,证明了稳定交联的存在。紫外线诱导的蛋白质与RNA交联反应的主要靶点是蛋白质F。在纯化的U1 snRNPs中也发现它与U1 snRNA交联。已知蛋白质F是常见的snRNP蛋白之一,它与D、E和G一起保护15-25个核苷酸长的snRNAs U1、U2、U4和U5片段,即所谓的结构域A或Sm结合位点,使其免受核酸酶消化(Liautard等人,1982年)。因此,核心蛋白可能直接且特异性地结合到常见的snRNA结构域A,或者结合到其一个子区域。另一种被证明与snRNA交联的蛋白质是U1特异性蛋白70K。由于已经表明蛋白质70K与U1 RNP的结合需要U1 RNA的5'茎环结构的存在(Hamm等人,1987年),所以70K蛋白可能直接与第一个茎环结构的一个子区域相互作用。