Suppr超能文献

NEDD9 促进致癌信号、干细胞/间充质基因特征以及促进小鼠卵巢癌的生长。

NEDD9 promotes oncogenic signaling, a stem/mesenchymal gene signature, and aggressive ovarian cancer growth in mice.

机构信息

Molecular Therapeutics Program, Fox Chase Cancer Center, Philadelphia, PA, USA.

Department of Biochemistry and Biotechnology, Kazan Federal University, Kazan, Russia.

出版信息

Oncogene. 2018 Aug;37(35):4854-4870. doi: 10.1038/s41388-018-0296-y. Epub 2018 May 18.

Abstract

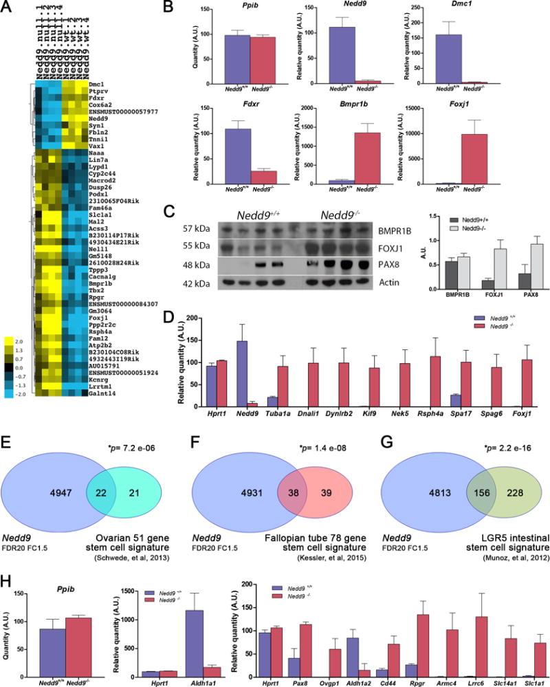
Neural precursor cell expressed, developmentally downregulated 9 (NEDD9) supports oncogenic signaling in a number of solid and hematologic tumors. Little is known about the role of NEDD9 in ovarian carcinoma (OC), but available data suggest elevated mRNA and protein expression in advanced stage high-grade cancers. We used a transgenic MISIIR-TAg mouse OC model combined with genetic ablation of Nedd9 to investigate its action in the development and progression of OC. A Nedd9 genotype delayed tumor growth rate, reduced incidence of ascites, and reduced expression and activation of signaling proteins including SRC, STAT3, E-cadherin, and AURKA. Cell lines established from MISIIR-TAg;Nedd9 and MISIIR-TAg;Nedd9 mice exhibited altered migration and invasion. Growth of these cells in a syngeneic allograft model indicated that systemic Nedd9 loss in the microenvironment had little impact on tumor allograft growth, but in a Nedd9 wild-type background Nedd9 allografts exhibited significantly reduced growth, dissemination, and oncogenic signaling compared to Nedd9 allografts. Gene expression analysis revealed that Nedd9 tumors exhibited more mesenchymal "stem-like" transcriptional program, including increased expression of Aldh1a1 and Aldh1a2. Conversely, loss of Nedd9 resulted in increased expression of differentiation genes, including fallopian tube markers Foxj1, Ovgp1, and Pax8. Collectively, these data suggest that tumor cell-intrinsic Nedd9 expression promotes OC development and progression by broad induction of oncogenic protein signaling and stem/mesenchymal gene expression.

摘要

神经前体细胞表达、发育下调 9(NEDD9)在多种实体瘤和血液肿瘤中支持致癌信号。关于 NEDD9 在卵巢癌(OC)中的作用知之甚少,但现有数据表明高级别癌症中 mRNA 和蛋白表达升高。我们使用转基因 MISIIR-TAg 小鼠 OC 模型结合 Nedd9 的基因缺失来研究其在 OC 的发生和进展中的作用。Nedd9 基因型延迟肿瘤生长速度,降低腹水发生率,并降低包括 SRC、STAT3、E-钙粘蛋白和 AURKA 在内的信号蛋白的表达和激活。从 MISIIR-TAg;Nedd9 和 MISIIR-TAg;Nedd9 小鼠建立的细胞系表现出迁移和侵袭能力的改变。这些细胞在同种异体移植模型中的生长表明,微环境中系统性 Nedd9 缺失对肿瘤同种异体移植生长的影响很小,但在 Nedd9 野生型背景下,与 Nedd9 同种异体移植相比,Nedd9 同种异体移植的生长、扩散和致癌信号明显减少。基因表达分析显示,Nedd9 肿瘤表现出更多的间质“干细胞样”转录程序,包括 Aldh1a1 和 Aldh1a2 的表达增加。相反,Nedd9 的缺失导致分化基因的表达增加,包括输卵管标记物 Foxj1、Ovgp1 和 Pax8。总的来说,这些数据表明,肿瘤细胞内在的 Nedd9 表达通过广泛诱导致癌蛋白信号和干细胞/间质基因表达促进 OC 的发展和进展。

https://cdn.ncbi.nlm.nih.gov/pmc/blobs/687d/6119087/96278cca0ee2/nihms959886f1.jpg

文献检索

告别复杂PubMed语法,用中文像聊天一样搜索,搜遍4000万医学文献。AI智能推荐,让科研检索更轻松。

立即免费搜索

文件翻译

保留排版,准确专业,支持PDF/Word/PPT等文件格式,支持 12+语言互译。

免费翻译文档

深度研究

AI帮你快速写综述,25分钟生成高质量综述,智能提取关键信息,辅助科研写作。

立即免费体验