Suppr超能文献

胃窦壁异位胰腺并发异位胰腺炎及持续性胃脓肿

Ectopic Pancreas in the Gastric Antrum Wall Complicated by Ectopic Pancreatitis and Persistent Gastric Abscess.

作者信息

Alastal Yaseen, Khalil Basmah, Singh Surendra, Almadani Sameh B

机构信息

Department of Medicine, Division of Gastroenterology, University of Toledo Medical Center, College of Medicine and Life Sciences, Toledo, OH.

Department of Medicine, University of Toledo Medical Center, College of Medicine and Life Sciences, Toledo, OH.

出版信息

ACG Case Rep J. 2018 May 9;5:e34. doi: 10.14309/crj.2018.34. eCollection 2018.

Abstract

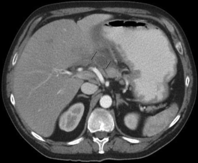
Ectopic pancreas is an uncommon finding in the stomach. Complications are rare but can lead to significant morbidity and even mortality. We report a 49-year-old man who presented with upper abdominal pain, vomiting, and weight loss and was found to have a gastric wall abscess that developed a few weeks after endoscopic biopsy of a gastric ulcer. After medical treatment failed to resolve his symptoms, he underwent distal gastrectomy with Roux-en-Y gastrojejunostomy. Postoperatively, the gastric wall abscess was determined to have derived from a focus of ectopic pancreatic tissue with evidence of ectopic chronic pancreatitis.

摘要

异位胰腺在胃中是一种罕见的发现。并发症很少见,但可导致严重的发病甚至死亡。我们报告一名49岁男性,他出现上腹部疼痛、呕吐和体重减轻,在内镜下对胃溃疡进行活检几周后发现胃壁脓肿。在药物治疗未能缓解其症状后,他接受了远端胃切除术及Roux-en-Y胃空肠吻合术。术后,确定胃壁脓肿源自异位胰腺组织灶,并伴有异位慢性胰腺炎的证据。

https://cdn.ncbi.nlm.nih.gov/pmc/blobs/89d3/5948316/52b42ad2701a/CG-CGCR180022F001.jpg

文献AI研究员

20分钟写一篇综述,助力文献阅读效率提升50倍。

立即体验

用中文搜PubMed

大模型驱动的PubMed中文搜索引擎

马上搜索

文档翻译

学术文献翻译模型,支持多种主流文档格式。

立即体验