Suppr超能文献

用于恶性胶质瘤的卡莫司汀晶片植入术后的症状性远处囊肿

Symptomatic Remote Cyst after BCNU Wafer Implantation for Malignant Glioma.

作者信息

Matsumura Hideaki, Ishikawa Eiichi, Matsuda Masahide, Sakamoto Noriaki, Akutsu Hiroyoshi, Takano Shingo, Matsumura Akira

机构信息

Department of Neurosurgery, University of Tsukuba.

出版信息

Neurol Med Chir (Tokyo). 2018 Jun 15;58(6):270-276. doi: 10.2176/nmc.cr.2017-0218. Epub 2018 May 21.

Abstract

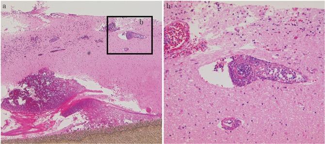
A 43-year-old man was operated on for right frontal oligoastrocytoma. 14 years after the surgery, magnetic resonance imaging and positron emission tomography revealed a new lesion near the surgical cavity. He underwent gross total resection of the lesion and implantation of bis-chloroethylnitrosourea (BCNU) wafers after intraoperative pathological diagnosis of recurrent high-grade glioma. A few days after the operation, the level of consciousness gradually worsened and left hemiparesis developed. A computed tomography scan revealed a cyst remote to the surgical cavity which did not exist 3 days prior. We performed anterior cyst wall fenestration and removed all wafers. The characteristic pathological finding at the wafer implantation site was severe inflammation within and around small vessels. This inflammatory reaction was not seen on the surface of the brain parenchyma. After surgery and rehabilitation, the patient's Karnofsky Performance Status stabilized to a pre-incident score of 90 and he returned to work. The exact pathophysiological mechanism of the cyst was not clear, but check-valve and/or osmotic gradient mechanisms related to BCNU wafer implantation could have contributed to this phenomenon. As remote cyst development happened a week after surgery, surgeons should be aware of such a rare condition when implanting wafers as consciousness impairment and hemiparesis may occur. Close radiological follow-up is therefore necessary.

摘要

一名43岁男性因右侧额叶少突星形细胞瘤接受手术。术后14年,磁共振成像和正电子发射断层扫描显示手术腔附近出现新病灶。术中病理诊断为复发性高级别胶质瘤后,他接受了病灶的大体全切并植入了双氯乙基亚硝脲(BCNU)晶片。术后几天,意识水平逐渐恶化并出现左侧偏瘫。计算机断层扫描显示手术腔远处有一个囊肿,而3天前并不存在。我们进行了前囊肿壁开窗术并取出了所有晶片。晶片植入部位的特征性病理发现是小血管内部及周围有严重炎症。脑实质表面未见这种炎症反应。经过手术和康复治疗,患者的卡氏功能状态评分稳定在发病前的90分,他恢复了工作。囊肿的确切病理生理机制尚不清楚,但与BCNU晶片植入相关的单向阀和/或渗透梯度机制可能导致了这种现象。由于术后一周出现了远处囊肿,外科医生在植入晶片时应意识到这种罕见情况,因为可能会出现意识障碍和偏瘫。因此,密切的影像学随访是必要的。

https://cdn.ncbi.nlm.nih.gov/pmc/blobs/2513/6002679/dcb38eafe72f/nmc-58-270-g1.jpg

文献AI研究员

20分钟写一篇综述,助力文献阅读效率提升50倍。

立即体验

用中文搜PubMed

大模型驱动的PubMed中文搜索引擎

马上搜索

文档翻译

学术文献翻译模型,支持多种主流文档格式。

立即体验