Suppr超能文献

窄谱中波紫外线治疗期间,黑素细胞痣覆盖不透明胶带和防晒霜乳膏后的皮肤镜变化。

Dermoscopic changes in melanocytic nevi covered with both opaque tape and sunscreen cream during narrowband ultraviolet B therapy.

作者信息

Kekeç Derya Ök, Kaçar Nida, Karaarslan Işıl Kılınç

机构信息

Denizli Public Hospital, Denizli, Turkey.

Department of Dermatology, Pamukkale University, Denizli, Turkey.

出版信息

Dermatol Pract Concept. 2018 Apr 30;8(2):132-139. doi: 10.5826/dpc.0802a13. eCollection 2018 Apr.

Abstract

BACKGROUND

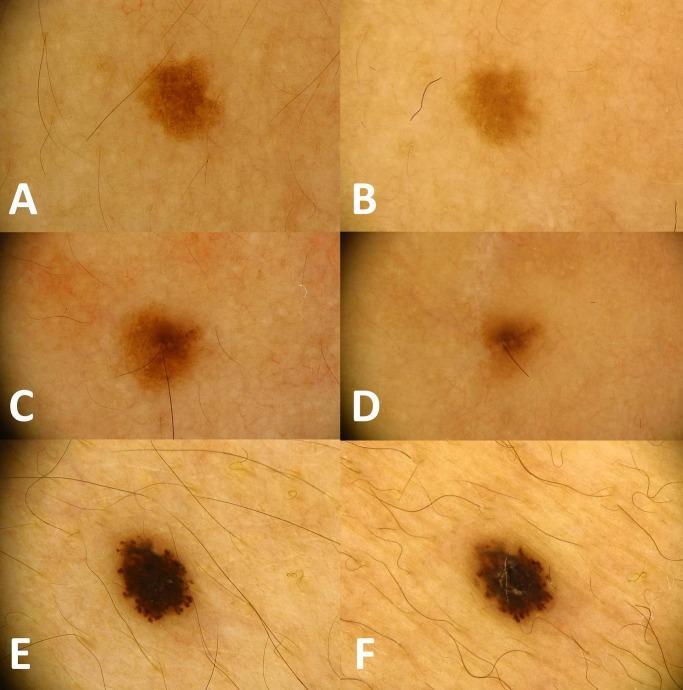
Ultraviolet (UV) light may cause dermoscopic changes on melanocytic nevi (MN).

OBJECTIVES

To investigate the effects of sunscreen cream (SSc) application on dermoscopic changes in MN during narrowband UVB (NBUVB) therapy.

METHODS

Half of the randomly selected MN in each patient were covered with opaque tape and SSc [SSc(+)], and the rest were covered with only opaque tape [SSc(-)] during NBUVB treatment sessions.

RESULTS

More SSc(-) MN displayed dermoscopic changes at end of NBUVB therapy compared to the start of therapy (p=0.035). The number of the MN that decreased in size and showed loss of structure was significantly higher in SSc(-) MN (p=0.04 and p=0.026, respectively).

CONCLUSIONS

Sunscreen in combination with opaque tape may contribute to some dermoscopic changes in melanocytic nevi, including decrease in size and loss of structure.

摘要

背景

紫外线(UV)可导致黑素细胞痣(MN)出现皮肤镜变化。

目的

研究在窄谱中波紫外线(NBUVB)治疗期间涂抹防晒霜(SSc)对MN皮肤镜变化的影响。

方法

在NBUVB治疗期间,为每位患者随机选取的一半MN用不透明胶带和SSc覆盖[SSc(+)],其余的仅用不透明胶带覆盖[SSc(-)]。

结果

与治疗开始时相比,更多的SSc(-) MN在NBUVB治疗结束时出现了皮肤镜变化(p=0.035)。SSc(-) MN中尺寸减小且结构消失的MN数量显著更多(分别为p=0.04和p=0.026)。

结论

防晒霜与不透明胶带联合使用可能会导致黑素细胞痣出现一些皮肤镜变化,包括尺寸减小和结构消失。

https://cdn.ncbi.nlm.nih.gov/pmc/blobs/19b9/5955082/b1b4b7368635/dp0802a13g001.jpg

相似文献

1
Dermoscopic changes in melanocytic nevi covered with both opaque tape and sunscreen cream during narrowband ultraviolet B therapy.
Dermatol Pract Concept. 2018 Apr 30;8(2):132-139. doi: 10.5826/dpc.0802a13. eCollection 2018 Apr.
5
Changes in the dermoscopic appearance of melanocytic naevi after photochemotherapy or narrow-band ultraviolet B phototherapy.
J Eur Acad Dermatol Venereol. 2007 Apr;21(4):526-31. doi: 10.1111/j.1468-3083.2006.02020.x.
9
Influence of UVB therapy on dermoscopic features of acquired melanocytic nevi.
J Am Acad Dermatol. 1997 Oct;37(4):559-63. doi: 10.1016/s0190-9622(97)70171-3.
10
Dermoscopic changes in melanocytic nevi following hair removal laser: A prospective study.
J Cosmet Dermatol. 2022 Feb;21(2):669-673. doi: 10.1111/jocd.14149. Epub 2021 Jun 10.

本文引用的文献

1
3
The Safety and Efficacy of Narrow Band Ultraviolet B Treatment in Dermatology: A Review.
Am J Clin Dermatol. 2015 Dec;16(6):501-31. doi: 10.1007/s40257-015-0151-7.
4
Effect of narrowband ultraviolet B phototherapy on melanocytic naevi.
Br J Dermatol. 2013 Apr;168(4):815-9. doi: 10.1111/bjd.12168. Epub 2013 Feb 27.
6
Changes in common melanocytic naevi after intense sun exposure: digital dermoscopic study with a 1-year follow-up.
Clin Exp Dermatol. 2009 Aug;34(6):672-8. doi: 10.1111/j.1365-2230.2008.03064.x. Epub 2009 Jan 27.
7
Sun exposure and the incidence of melanocytic nevi in young Australian children.
Cancer Epidemiol Biomarkers Prev. 2008 Sep;17(9):2318-24. doi: 10.1158/1055-9965.EPI-07-2801.
8
Changes in the dermoscopic appearance of melanocytic naevi after photochemotherapy or narrow-band ultraviolet B phototherapy.
J Eur Acad Dermatol Venereol. 2007 Apr;21(4):526-31. doi: 10.1111/j.1468-3083.2006.02020.x.
9
The effect of sun exposure in determining nevus density in UK adolescent twins.
J Invest Dermatol. 2005 Jan;124(1):56-62. doi: 10.1111/j.0022-202X.2004.23548.x.

文献AI研究员

20分钟写一篇综述,助力文献阅读效率提升50倍。

立即体验

用中文搜PubMed

大模型驱动的PubMed中文搜索引擎

马上搜索

文档翻译

学术文献翻译模型,支持多种主流文档格式。

立即体验