Suppr超能文献

主动脉瓣置换术后冠状动脉开口狭窄的延迟发生:一例罕见表现的病例报告

Delayed Development of Coronary Ostial Stenosis following Surgical Aortic Valve Replacement: A Case Report of Unusual Presentation.

作者信息

Shin Doosup, Huang Kevin, Sunjic Igor, Berlowitz Michael, Prida Xavier

机构信息

Department of Internal Medicine, University of South Florida Morsani College of Medicine, Tampa, FL, USA.

Department of Cardiovascular Sciences, University of South Florida Morsani College of Medicine, Tampa, FL, USA.

出版信息

Case Rep Cardiol. 2018 Apr 1;2018:8512584. doi: 10.1155/2018/8512584. eCollection 2018.

Abstract

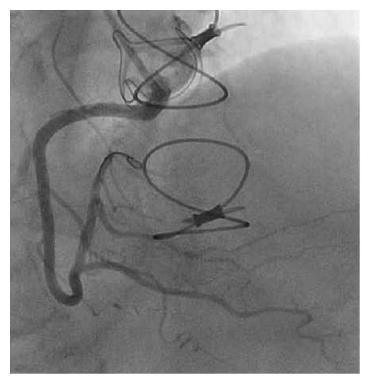
Coronary ostial stenosis is a rare but potentially life-threatening complication that occurs in 1%-5% of patients who undergo surgical aortic valve replacement (SAVR). Symptoms typically appear within the first 6 months and almost always within a year after SAVR. We report an unusually delayed presentation of non-ST segment elevation myocardial infarction due to coronary ostial stenosis 22 months after SAVR. A 71-year-old woman underwent uncomplicated SAVR with a bioprosthetic valve in August 2015 for severe aortic stenosis. A preoperative coronary angiogram demonstrated widely patent left and right coronary arteries. In June 2017, the patient presented to the hospital with chest pain. An electrocardiogram demonstrated 1 mm ST segment depression in the anterolateral leads, and serum troponin I level was elevated to 2.3 ng/ml. Diagnostic coronary angiography revealed severe ostial stenosis (99%) of the right coronary artery. A bare-metal stent was successfully placed with an excellent angiographic result, and the patient was asymptomatic at 4 months of follow-up after the procedure. As seen in our case, coronary ostial stenosis should be considered in the differential diagnosis of chest pain or arrhythmia in patients presenting with a history of SAVR, even if the procedure was performed more than 1 year prior to presentation.

摘要

冠状动脉开口狭窄是一种罕见但可能危及生命的并发症,发生在1%-5%接受外科主动脉瓣置换术(SAVR)的患者中。症状通常在术后前6个月内出现,几乎总是在SAVR术后一年内出现。我们报告了一例SAVR术后22个月因冠状动脉开口狭窄导致的非ST段抬高型心肌梗死的异常延迟表现。一名71岁女性于2015年8月因严重主动脉瓣狭窄接受了生物瓣膜置换的SAVR手术,手术过程顺利。术前冠状动脉造影显示左、右冠状动脉广泛通畅。2017年6月,该患者因胸痛入院。心电图显示前侧壁导联ST段压低1mm,血清肌钙蛋白I水平升高至2.3ng/ml。诊断性冠状动脉造影显示右冠状动脉严重开口狭窄(99%)。成功置入裸金属支架,血管造影结果良好,术后4个月随访时患者无症状。正如我们病例中所见,对于有SAVR病史的胸痛或心律失常患者,即使手术在出现症状前1年以上进行,在鉴别诊断时也应考虑冠状动脉开口狭窄。

https://cdn.ncbi.nlm.nih.gov/pmc/blobs/1fd9/5902094/04e5ba0806d8/CRIC2018-8512584.001.jpg

文献检索

告别复杂PubMed语法,用中文像聊天一样搜索,搜遍4000万医学文献。AI智能推荐,让科研检索更轻松。

立即免费搜索

文件翻译

保留排版,准确专业,支持PDF/Word/PPT等文件格式,支持 12+语言互译。

免费翻译文档

深度研究

AI帮你快速写综述,25分钟生成高质量综述,智能提取关键信息,辅助科研写作。

立即免费体验