Suppr超能文献

距骨体骨不连和畸形愈合的重建

Talar Body Reconstruction for Nonunions and Malunions.

作者信息

Sakaki Marcos Hideyo, Macedo Rodrigo Sousa, Godoy Dos Santos Alexandre Leme, Ortiz Rafael Trevisan, Sposeto Rafael Barban, Fernandes Túlio Diniz

机构信息

Department of Orthopaedics and Traumatology, Clinics Hospital HCFMUSP, Medicine College, University of Sao Paulo, Sao Paulo, Brazil.

出版信息

Indian J Orthop. 2018 May-Jun;52(3):276-283. doi: 10.4103/ortho.IJOrtho_423_17.

Abstract

BACKGROUND

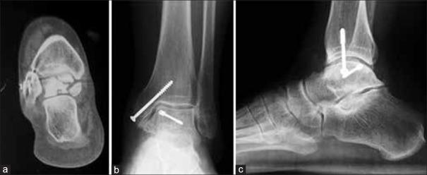
Talar body and neck nonunions and malunions may undergo a reconstructive surgery when joint cartilage is still viable, and no talar collapse or infection has occurred. This is a rare condition and the studies supporting the procedure have small number of cases. The objective of the present study is to report a case series of six patients who underwent talar reconstructions.

MATERIALS AND METHODS

Six patients with talar malunions or nonunions who underwent surgical treatment were reviewed in this retrospective study. There were three nonunions and two malunions of the talar body and one malunion of the talar neck. Clinical evaluation included all the parameters used in the American Orthopaedic Foot and Ankle Society (AOFAS) hindfoot scale. Arthritic degeneration of the ankle joint was assessed according to a modified Bargon scale.

RESULTS

The mean followup was 86 months (range 24-282 months). There were no cases of postoperative avascular necrosis of the talus. Four of the six patients in our series required a subtalar fusion as part of the reconstruction procedure. The average preoperative AOFAS hindfoot score was 34, and at the time of the last evaluation, it was 74. The mean preoperative score on the modified Bargon scale for the tibiotalar joint was 1.17. At the last followup, it rose to 1.33. Three different deformities of the talus were identified (a) flattening of the talus (b) extra-articular step and (c) intraarticular step.

CONCLUSION

Reconstruction of talar nonunions and malunions improved function in selected patients with a low risk of complications. Three different anatomical patterns of talar nonunions and malunions were identified.

摘要

背景

当距骨体和颈部出现骨不连和畸形愈合,且关节软骨仍存活,未发生距骨塌陷或感染时,可进行重建手术。这是一种罕见情况,支持该手术的研究病例数量较少。本研究的目的是报告一组6例行距骨重建手术患者的病例系列。

材料与方法

本回顾性研究对6例接受手术治疗的距骨畸形愈合或骨不连患者进行了分析。其中距骨体骨不连3例、畸形愈合2例,距骨颈畸形愈合1例。临床评估包括美国矫形足踝协会(AOFAS)后足评分所使用的所有参数。根据改良的巴尔贡量表评估踝关节的关节炎退变情况。

结果

平均随访86个月(范围24 - 282个月)。无距骨术后缺血性坏死病例。我们系列中的6例患者中有4例在重建手术中需要进行距下关节融合。术前AOFAS后足平均评分为34分,在最后一次评估时为74分。改良巴尔贡量表中胫距关节术前平均评分为1.17分。在最后一次随访时,升至1.33分。确定了距骨的三种不同畸形:(a)距骨扁平;(b)关节外台阶;(c)关节内台阶。

结论

距骨骨不连和畸形愈合的重建改善了部分并发症风险较低患者的功能。确定了距骨骨不连和畸形愈合的三种不同解剖模式。

https://cdn.ncbi.nlm.nih.gov/pmc/blobs/1172/5961265/f8285ad027ac/IJOrtho-52-276-g003.jpg

文献AI研究员

20分钟写一篇综述,助力文献阅读效率提升50倍。

立即体验

用中文搜PubMed

大模型驱动的PubMed中文搜索引擎

马上搜索

文档翻译

学术文献翻译模型,支持多种主流文档格式。

立即体验