• 文献检索
  • 文档翻译
  • 深度研究
  • 学术资讯
  • Suppr Zotero 插件Zotero 插件
  • 邀请有礼
  • 套餐&价格
  • 历史记录
应用&插件
Suppr Zotero 插件Zotero 插件浏览器插件Mac 客户端Windows 客户端微信小程序
定价
高级版会员购买积分包购买API积分包
服务
文献检索文档翻译深度研究API 文档MCP 服务
关于我们
关于 Suppr公司介绍联系我们用户协议隐私条款
关注我们

Suppr 超能文献

核心技术专利:CN118964589B侵权必究
粤ICP备2023148730 号-1Suppr @ 2026

文献检索

告别复杂PubMed语法,用中文像聊天一样搜索,搜遍4000万医学文献。AI智能推荐,让科研检索更轻松。

立即免费搜索

文件翻译

保留排版,准确专业,支持PDF/Word/PPT等文件格式,支持 12+语言互译。

免费翻译文档

深度研究

AI帮你快速写综述,25分钟生成高质量综述,智能提取关键信息,辅助科研写作。

立即免费体验

鉴定和表征恶性疟原虫 3D7 克隆中的 DNA 内切酶。

Identification and characterization of DNA endonucleases in Plasmodium falciparum 3D7 clone.

机构信息

Key Laboratory of Zoonosis, College of Animal Science and Veterinary Medicine, Shenyang Agricultural University, 120 Dongling Road, Shenyang, 110866, People's Republic of China.

Key Laboratory of Zoonosis, Ministry of Education, Institute of Zoonosis, Jilin University, Changchun, 130062, People's Republic of China.

出版信息

Malar J. 2018 Jun 18;17(1):232. doi: 10.1186/s12936-018-2388-0.

DOI:10.1186/s12936-018-2388-0
PMID:29914511
原文链接:https://pmc.ncbi.nlm.nih.gov/articles/PMC6006590/
Abstract

BACKGROUND

Plasmodium falciparum is the most virulent parasite of the five Plasmodium species that cause human malaria, and biological analysis of the parasite is critical for the development of novel strategies for disease control. DNA endonucleases are important for maintaining the biological activity, gene stability of the parasite and interaction with host immune systems. In this study, ten sequences of DNA endonucleases were found in the genome of P. falciparum 3D7 clone, seven of them were predicted to contain an endonuclease/exonuclease/phosphatase (IPR005135) domain which plays an important role in DNA catalytic activity. The seven DNA endonucleases of P. falciparum were systematically investigated.

METHODS

Plasmodium falciparum 3D7 clone was cultured in human O RBCs, RNA was extracted at 8, 16, 24, 32, 40, and 48 h post invasion and real-time quantitative PCR was carried out to analyse the transcription of the seven DNA endonuclease genes in asexual stages. Immunofluorescence assay was carried out to confirm the location of the encoded proteins expressed in the erythrocytic stages. Finally, the catalytic activity of the DNA nucleases were tested.

RESULTS

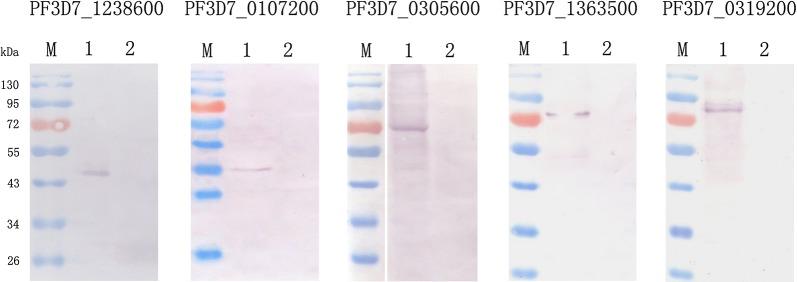
Of the seven proteins analysed, two proteins were not soluble. Fragments derived from the rest five endonuclease sequences were successfully expressed as soluble proteins, and which were used to generate antisera for protein localization. The proteins were all located in the nucleus at ring and trophozoite stages. While at schizont stage, proteins encoded by PF3D7_1238600, PF3D7_0107200 and PF3D7_0319200 were in the punctuated forms in the parasite most likely around nuclei of the merozoites. But the proteins encoded by PF3D7_0305600 and PF3D7_1363500 were distributed around the infected erythrocyte membrane. The enzymatic activity of the recombinant GST-PF3D7_1238600 was very efficient without divalent iron, while the activity of the rest four enzymes was iron dependent. Further, divalent irons did not show any specific enhancement on the activity of GST-PF3D7_1238600, but the activity of GST-PF3D7_0107200, GST-PF3D7_1363500 and GST-PF3D7_0319200 were Cu dependent. The activity of GST-PF3D7_0305600 was dependent on Mg and Mn. Except GST-PF3D7_1363500, four of the GST tagged recombinant proteins hydrolysed the supercoiled circular plasmid DNA with or without divalent metal ions. The GST-PF3D7_1363500 protein only changed the supercoiled circular plasmid DNA into nicked plasmids, even with Cu.

CONCLUSIONS

Fragments derived from five of the endonuclease sequences of P. falciparum 3D7 clone were successfully expressed. The proteins displayed diverse cell distribution, biochemical and enzymatic activities, which indicated that they carried different biological function in the development of the parasite in the erythrocytes. The DNA repair and DNA degradation capacity of the DNA endonucleases in the biology of the parasite remained further studied.

摘要

背景

恶性疟原虫是导致人类疟疾的五种疟原虫中最具毒性的寄生虫,对寄生虫的生物学分析对于开发新的疾病控制策略至关重要。DNA 内切酶对于维持寄生虫的生物活性、基因稳定性以及与宿主免疫系统的相互作用非常重要。在本研究中,在恶性疟原虫 3D7 克隆的基因组中发现了 10 个 DNA 内切酶序列,其中 7 个被预测含有内切酶/核酸外切酶/磷酸酶(IPR005135)结构域,该结构域在 DNA 催化活性中起着重要作用。本研究对 7 个恶性疟原虫 DNA 内切酶进行了系统研究。

方法

在人类 O 型红细胞中培养恶性疟原虫 3D7 克隆,在入侵后 8、16、24、32、40 和 48 小时提取 RNA,并进行实时定量 PCR 分析无性阶段 7 个 DNA 内切酶基因的转录情况。通过免疫荧光试验确认在红细胞阶段表达的编码蛋白的位置。最后,测试了 DNA 核酶的催化活性。

结果

在所分析的 7 种蛋白中,有 2 种蛋白不可溶。从其余 5 个内切酶序列衍生的片段成功表达为可溶性蛋白,并用于产生蛋白定位的抗血清。这些蛋白均位于环状和滋养体阶段的核内。而在裂殖体阶段,PF3D7_1238600、PF3D7_0107200 和 PF3D7_0319200 编码的蛋白可能在裂殖子的核周围呈点状形式。但 PF3D7_0305600 和 PF3D7_1363500 编码的蛋白则分布在感染的红细胞膜周围。重组 GST-PF3D7_1238600 的酶活性非常高效,无需二价铁,而其余 4 种酶的活性依赖于二价铁。此外,二价铁对 GST-PF3D7_1238600 的活性没有任何特定的增强作用,但 GST-PF3D7_0107200、GST-PF3D7_1363500 和 GST-PF3D7_0319200 的活性依赖于 Cu。GST-PF3D7_0305600 的活性依赖于 Mg 和 Mn。除了 GST-PF3D7_1363500 外,GST 标记的重组蛋白中的 4 种能够水解超螺旋环状质粒 DNA,无论是否存在二价金属离子。GST-PF3D7_1363500 蛋白仅将超螺旋环状质粒 DNA转化为缺口质粒,即使有 Cu 存在也是如此。

结论

成功表达了恶性疟原虫 3D7 克隆中 5 个内切酶序列的片段。这些蛋白显示出不同的细胞分布、生化和酶活性,这表明它们在寄生虫在红细胞中的发育过程中具有不同的生物学功能。寄生虫生物学中的 DNA 内切酶的 DNA 修复和 DNA 降解能力有待进一步研究。

https://cdn.ncbi.nlm.nih.gov/pmc/blobs/2db1/6006590/3c613f472f96/12936_2018_2388_Fig7_HTML.jpg
https://cdn.ncbi.nlm.nih.gov/pmc/blobs/2db1/6006590/fd4871f18a64/12936_2018_2388_Fig1_HTML.jpg
https://cdn.ncbi.nlm.nih.gov/pmc/blobs/2db1/6006590/6e049dfabf4c/12936_2018_2388_Fig2_HTML.jpg
https://cdn.ncbi.nlm.nih.gov/pmc/blobs/2db1/6006590/adc1e6b27abe/12936_2018_2388_Fig3_HTML.jpg
https://cdn.ncbi.nlm.nih.gov/pmc/blobs/2db1/6006590/eaf93852c292/12936_2018_2388_Fig4_HTML.jpg
https://cdn.ncbi.nlm.nih.gov/pmc/blobs/2db1/6006590/3659ba209b94/12936_2018_2388_Fig5_HTML.jpg
https://cdn.ncbi.nlm.nih.gov/pmc/blobs/2db1/6006590/1b304bd0d2f2/12936_2018_2388_Fig6_HTML.jpg
https://cdn.ncbi.nlm.nih.gov/pmc/blobs/2db1/6006590/3c613f472f96/12936_2018_2388_Fig7_HTML.jpg
https://cdn.ncbi.nlm.nih.gov/pmc/blobs/2db1/6006590/fd4871f18a64/12936_2018_2388_Fig1_HTML.jpg
https://cdn.ncbi.nlm.nih.gov/pmc/blobs/2db1/6006590/6e049dfabf4c/12936_2018_2388_Fig2_HTML.jpg
https://cdn.ncbi.nlm.nih.gov/pmc/blobs/2db1/6006590/adc1e6b27abe/12936_2018_2388_Fig3_HTML.jpg
https://cdn.ncbi.nlm.nih.gov/pmc/blobs/2db1/6006590/eaf93852c292/12936_2018_2388_Fig4_HTML.jpg
https://cdn.ncbi.nlm.nih.gov/pmc/blobs/2db1/6006590/3659ba209b94/12936_2018_2388_Fig5_HTML.jpg
https://cdn.ncbi.nlm.nih.gov/pmc/blobs/2db1/6006590/1b304bd0d2f2/12936_2018_2388_Fig6_HTML.jpg
https://cdn.ncbi.nlm.nih.gov/pmc/blobs/2db1/6006590/3c613f472f96/12936_2018_2388_Fig7_HTML.jpg

相似文献

1
Identification and characterization of DNA endonucleases in Plasmodium falciparum 3D7 clone.鉴定和表征恶性疟原虫 3D7 克隆中的 DNA 内切酶。
Malar J. 2018 Jun 18;17(1):232. doi: 10.1186/s12936-018-2388-0.
2
The var3 genes of Plasmodium falciparum 3D7 strain are differentially expressed in infected erythrocytes.恶性疟原虫3D7株的var3基因在受感染红细胞中差异表达。
Parasite. 2014;21:19. doi: 10.1051/parasite/2014019. Epub 2014 Apr 24.
3
Identification and localization of a Novel Invasin of Plasmodium falciparum.恶性疟原虫一种新型侵袭素的鉴定与定位
Mol Biochem Parasitol. 2015 Aug;202(2):38-43. doi: 10.1016/j.molbiopara.2015.09.004. Epub 2015 Sep 30.
4
Malaria Parasite Schizont Egress Antigen-1 Plays an Essential Role in Nuclear Segregation during Schizogony.疟原虫裂殖体逸出抗原-1在裂体生殖过程中的核分裂中起关键作用。
mBio. 2021 Mar 9;12(2):e03377-20. doi: 10.1128/mBio.03377-20.
5
Plasmodium falciparum MLH is schizont stage specific endonuclease.恶性疟原虫 MLH 是裂殖体阶段特异性核酸内切酶。
Mol Biochem Parasitol. 2012 Feb;181(2):153-61. doi: 10.1016/j.molbiopara.2011.10.012. Epub 2011 Nov 4.
6
Expression profile of the Plasmodium falciparum intra-erythrocytic stage protein, PF3D7_1363700.恶性疟原虫红内期蛋白 PF3D7_1363700 的表达谱。
Malar J. 2013 Feb 19;12:66. doi: 10.1186/1475-2875-12-66.
7
Functionality of the V-type ATPase during asexual growth and development of Plasmodium falciparum.恶性疟原虫无性生长和发育过程中 V 型 ATP 酶的功能。
J Biol Chem. 2024 Sep;300(9):107608. doi: 10.1016/j.jbc.2024.107608. Epub 2024 Jul 29.
8
Expression and biochemical characterization of the Plasmodium falciparum DNA repair enzyme, flap endonuclease-1 (PfFEN-1).恶性疟原虫DNA修复酶瓣状内切核酸酶-1(PfFEN-1)的表达及生化特性
Mol Biochem Parasitol. 2008 Jan;157(1):1-12. doi: 10.1016/j.molbiopara.2007.08.008. Epub 2007 Sep 2.
9
Characterization of an A-kinase anchoring protein-like suggests an alternative way of PKA anchoring in Plasmodium falciparum.一种A激酶锚定蛋白样蛋白的特性表明恶性疟原虫中PKA锚定的另一种方式。
Malar J. 2016 Apr 29;15:248. doi: 10.1186/s12936-016-1275-9.
10
Identification and characterization of a novel Plasmodium falciparum adhesin involved in erythrocyte invasion.鉴定和表征一种新型疟原虫黏附素,该黏附素参与红细胞入侵。
PLoS One. 2013 Sep 13;8(9):e74790. doi: 10.1371/journal.pone.0074790. eCollection 2013.

引用本文的文献

1
Alba6 exhibits DNase activity and participates in stress response.阿尔巴6具有脱氧核糖核酸酶活性并参与应激反应。
iScience. 2024 Mar 8;27(4):109467. doi: 10.1016/j.isci.2024.109467. eCollection 2024 Apr 19.
2
Are the Closely Related Strains of Different Species?这些密切相关的菌株是不同物种的吗?
Molecules. 2021 Jan 28;26(3):690. doi: 10.3390/molecules26030690.

本文引用的文献

1
The TatD-like DNase of Plasmodium is a virulence factor and a potential malaria vaccine candidate.疟原虫 TatD 样 DNA 酶是一种毒力因子和潜在的疟疾疫苗候选物。
Nat Commun. 2016 May 6;7:11537. doi: 10.1038/ncomms11537.
2
A barcode of organellar genome polymorphisms identifies the geographic origin of Plasmodium falciparum strains.疟原虫细胞器基因组多态性条形码可识别恶性疟原虫菌株的地理起源。
Nat Commun. 2014 Jun 13;5:4052. doi: 10.1038/ncomms5052.
3
The var3 genes of Plasmodium falciparum 3D7 strain are differentially expressed in infected erythrocytes.
恶性疟原虫3D7株的var3基因在受感染红细胞中差异表达。
Parasite. 2014;21:19. doi: 10.1051/parasite/2014019. Epub 2014 Apr 24.
4
[Plasmodium knowlesi--the fifth species causing human malaria].诺氏疟原虫——引起人类疟疾的第五种疟原虫
Duodecim. 2010;126(4):427-34.
5
Neutrophil extracellular traps contain calprotectin, a cytosolic protein complex involved in host defense against Candida albicans.中性粒细胞胞外诱捕网包含钙卫蛋白,这是一种细胞溶质蛋白复合物,参与宿主对白念珠菌的防御。
PLoS Pathog. 2009 Oct;5(10):e1000639. doi: 10.1371/journal.ppat.1000639. Epub 2009 Oct 30.
6
Connecting actin monomers by iso-peptide bond is a toxicity mechanism of the Vibrio cholerae MARTX toxin.通过异肽键连接肌动蛋白单体是霍乱弧菌MARTX毒素的一种毒性机制。
Proc Natl Acad Sci U S A. 2008 Nov 25;105(47):18537-42. doi: 10.1073/pnas.0808082105. Epub 2008 Nov 17.
7
Structure and function of the abasic site specificity pocket of an AP endonuclease from Archaeoglobus fulgidus.来自嗜热栖热菌的脱嘌呤嘧啶位点特异性口袋的结构与功能。 (注:你原文中“Archaeoglobus fulgidus”有误,正确的是“Archaeoglobus fulgidus”,这里按正确的翻译了。你提供的“Archaeoglobus fulgidus”可能是拼写错误,其常见的中文名是嗜热栖热菌 ) 来自嗜热栖热菌的一种脱嘌呤嘧啶内切核酸酶的脱嘌呤嘧啶位点特异性口袋的结构与功能。
DNA Repair (Amst). 2009 Feb 1;8(2):219-31. doi: 10.1016/j.dnarep.2008.10.009. Epub 2008 Dec 5.
8
Evolution of the redox function in mammalian apurinic/apyrimidinic endonuclease.哺乳动物脱嘌呤/脱嘧啶内切核酸酶中氧化还原功能的演变
Mutat Res. 2008 Aug 25;643(1-2):54-63. doi: 10.1016/j.mrfmmm.2008.04.008. Epub 2008 May 18.
9
Genome-informed contributions to malaria therapies: feeding somewhere down the (pipe)line.基于基因组信息对疟疾治疗的贡献:尚需时日。
Cell Host Microbe. 2008 May 15;3(5):280-3. doi: 10.1016/j.chom.2008.04.005.
10
DNase Sda1 provides selection pressure for a switch to invasive group A streptococcal infection.脱氧核糖核酸酶Sda1为向侵袭性A组链球菌感染转变提供选择压力。
Nat Med. 2007 Aug;13(8):981-5. doi: 10.1038/nm1612. Epub 2007 Jul 15.