Suppr超能文献

噬菌体λ复制起点处的特殊核蛋白结构:与λO蛋白以及与λO、λP和大肠杆菌DnaB蛋白形成的复合物

Specialized nucleoprotein structures at the origin of replication of bacteriophage lambda: complexes with lambda O protein and with lambda O, lambda P, and Escherichia coli DnaB proteins.

作者信息

Dodson M, Roberts J, McMacken R, Echols H

出版信息

Proc Natl Acad Sci U S A. 1985 Jul;82(14):4678-82. doi: 10.1073/pnas.82.14.4678.

Abstract

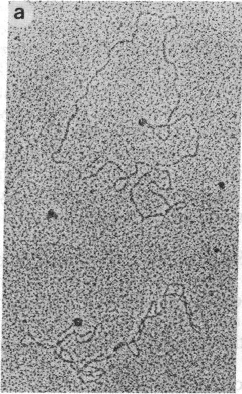
The O protein of bacteriophage lambda is required for initiation of DNA replication at the lambda replicative origin designated ori lambda. The binding sites for O protein are four direct repeats, each of which is an inverted repeat. By means of electron microscopy, we have found that phage lambda O protein utilizes these multiple binding sites to form a specific nucleoprotein structure in which the origin DNA is inferred to be folded or wound. The phage lambda O and P proteins and host DnaB protein interact at ori lambda to generate a larger structure than that formed by O protein alone; P and DnaB proteins fail to form any observable complex when O protein is excluded from the reaction mixture. We conclude that the specialized nucleoprotein structure formed by phage lambda O protein and ori lambda provides for localized initiation of DNA replication by serving as the foundation for the assembly of the initial priming structure. Specialized nucleoprotein structures may be a general means to confer exceptional accuracy on DNA transactions requiring extraordinary precision.

摘要

噬菌体λ的O蛋白是在指定为ori λ的λ复制起点启动DNA复制所必需的。O蛋白的结合位点是四个直接重复序列,每个直接重复序列又是一个反向重复序列。通过电子显微镜,我们发现噬菌体λ O蛋白利用这些多个结合位点形成一种特定的核蛋白结构,据推测起始DNA在该结构中发生折叠或缠绕。噬菌体λ O蛋白和P蛋白以及宿主DnaB蛋白在ori λ处相互作用,形成比单独由O蛋白形成的结构更大的结构;当从反应混合物中排除O蛋白时,P蛋白和DnaB蛋白无法形成任何可观察到的复合物。我们得出结论,由噬菌体λ O蛋白和ori λ形成的特殊核蛋白结构通过作为初始引发结构组装的基础,为DNA复制的局部起始提供了条件。特殊核蛋白结构可能是一种普遍的手段,用于在需要极高精度的DNA交易中赋予非凡的准确性。

https://cdn.ncbi.nlm.nih.gov/pmc/blobs/e824/390449/d1763ff13f14/pnas00354-0124-a.jpg

文献检索

告别复杂PubMed语法,用中文像聊天一样搜索,搜遍4000万医学文献。AI智能推荐,让科研检索更轻松。

立即免费搜索

文件翻译

保留排版,准确专业,支持PDF/Word/PPT等文件格式,支持 12+语言互译。

免费翻译文档

深度研究

AI帮你快速写综述,25分钟生成高质量综述,智能提取关键信息,辅助科研写作。

立即免费体验