• 文献检索
  • 文档翻译
  • 深度研究
  • 学术资讯
  • Suppr Zotero 插件Zotero 插件
  • 邀请有礼
  • 套餐&价格
  • 历史记录
应用&插件
Suppr Zotero 插件Zotero 插件浏览器插件Mac 客户端Windows 客户端微信小程序
定价
高级版会员购买积分包购买API积分包
服务
文献检索文档翻译深度研究API 文档MCP 服务
关于我们
关于 Suppr公司介绍联系我们用户协议隐私条款
关注我们

Suppr 超能文献

核心技术专利:CN118964589B侵权必究
粤ICP备2023148730 号-1Suppr @ 2026

文献检索

告别复杂PubMed语法,用中文像聊天一样搜索,搜遍4000万医学文献。AI智能推荐,让科研检索更轻松。

立即免费搜索

文件翻译

保留排版,准确专业,支持PDF/Word/PPT等文件格式,支持 12+语言互译。

免费翻译文档

深度研究

AI帮你快速写综述,25分钟生成高质量综述,智能提取关键信息,辅助科研写作。

立即免费体验

新辅助FOLFOX方案及减瘤手术联合热灌注腹腔化疗治疗广泛腹膜转移的晚期胃癌患者,获得超过4年的完全缓解。

Complete Response for More than 4 Years following Neoadjuvant FOLFOX and Cytoreductive Surgery with Hyperthermic Intraperitoneal Chemotherapy for a Patient with Advanced Gastric Cancer with Extensive Peritoneal Carcinomatosis.

作者信息

Peixoto Renata D'Alpino, de Sousa Tercia Tarciane, Silva Pedro Alexandre Ismael Amaral, de Meirelles Luciana Rodrigues, Teixeira Carlos Henrique Andrade

机构信息

Centro Oncológico Antônio Ermírio de Moraes, São Paulo, Brazil.

Hospital Alemão Oswaldo Cruz, São Paulo, Brazil.

出版信息

Case Rep Oncol. 2018 May 17;11(2):305-310. doi: 10.1159/000488978. eCollection 2018 May-Aug.

DOI:10.1159/000488978
PMID:29928208
原文链接:https://pmc.ncbi.nlm.nih.gov/articles/PMC6006599/
Abstract

BACKGROUND

Peritoneal carcinomatosis is usually a terminal disease with short median survival in patients with gastric cancer. Systemic FOLFOX is one of the most used regimens in the first-line treatment of metastatic gastric cancer. However, there is scarce evidence that cytoreductive surgery (CRS) and intraperitoneal heated chemotherapy (HIPEC) improves oncological outcomes of patients with advanced gastric cancer.

METHODS

Herein we present a case of a young woman with advanced gastric cancer with omental and peritoneal metastases who achieved an excellent response after 6 months of FOLFOX followed by CRS and HIPEC.

RESULTS

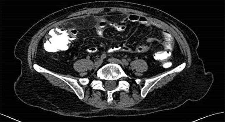
A 53-year-old woman was diagnosed with advanced gastric carcinoma, with extensive omental caking and several peritoneal implants measuring 2 cm at the largest diameter. The patient received mFOLFOX6 for 6 months with excellent clinical and radiographic response. She was then submitted to a D2 total gastrectomy followed by CRS and HIPEC with mitomycin. The final pathology report showed a focal adenocarcinoma in the stomach measuring 0.4 mm with no residual tumor in the peritoneum (ypT1ypN0). The patient has been well and disease free for more than 4 years.

CONCLUSION

While still controversial, CRS followed by HIPEC may be a curative therapeutic option for highly selected patients.

摘要

背景

腹膜癌病通常是一种终末期疾病,胃癌患者的中位生存期较短。全身应用FOLFOX是转移性胃癌一线治疗中最常用的方案之一。然而,几乎没有证据表明减瘤手术(CRS)和腹腔内热化疗(HIPEC)能改善晚期胃癌患者的肿瘤学结局。

方法

在此,我们报告一例年轻女性晚期胃癌患者,伴有大网膜和腹膜转移,在接受6个月的FOLFOX治疗后行CRS和HIPEC,取得了良好疗效。

结果

一名53岁女性被诊断为晚期胃癌,伴有广泛的大网膜结块和多处腹膜转移灶,最大直径为2 cm。患者接受mFOLFOX6治疗6个月,临床和影像学反应良好。随后她接受了D2全胃切除术,接着行CRS和丝裂霉素腹腔内热化疗。最终病理报告显示胃内有一个0.4 mm的局灶性腺癌,腹膜无残留肿瘤(ypT1ypN0)。该患者已健康无病生存4年多。

结论

虽然仍存在争议,但CRS联合HIPEC可能是经过严格筛选的患者的一种治愈性治疗选择。

https://cdn.ncbi.nlm.nih.gov/pmc/blobs/279f/6006599/85799cb1674b/cro-0011-0305-g05.jpg
https://cdn.ncbi.nlm.nih.gov/pmc/blobs/279f/6006599/6ebebcee0054/cro-0011-0305-g01.jpg
https://cdn.ncbi.nlm.nih.gov/pmc/blobs/279f/6006599/bd1bbe7ccf0e/cro-0011-0305-g02.jpg
https://cdn.ncbi.nlm.nih.gov/pmc/blobs/279f/6006599/84b38efaf507/cro-0011-0305-g03.jpg
https://cdn.ncbi.nlm.nih.gov/pmc/blobs/279f/6006599/6cfe7abb7100/cro-0011-0305-g04.jpg
https://cdn.ncbi.nlm.nih.gov/pmc/blobs/279f/6006599/85799cb1674b/cro-0011-0305-g05.jpg
https://cdn.ncbi.nlm.nih.gov/pmc/blobs/279f/6006599/6ebebcee0054/cro-0011-0305-g01.jpg
https://cdn.ncbi.nlm.nih.gov/pmc/blobs/279f/6006599/bd1bbe7ccf0e/cro-0011-0305-g02.jpg
https://cdn.ncbi.nlm.nih.gov/pmc/blobs/279f/6006599/84b38efaf507/cro-0011-0305-g03.jpg
https://cdn.ncbi.nlm.nih.gov/pmc/blobs/279f/6006599/6cfe7abb7100/cro-0011-0305-g04.jpg
https://cdn.ncbi.nlm.nih.gov/pmc/blobs/279f/6006599/85799cb1674b/cro-0011-0305-g05.jpg

相似文献

1
Complete Response for More than 4 Years following Neoadjuvant FOLFOX and Cytoreductive Surgery with Hyperthermic Intraperitoneal Chemotherapy for a Patient with Advanced Gastric Cancer with Extensive Peritoneal Carcinomatosis.新辅助FOLFOX方案及减瘤手术联合热灌注腹腔化疗治疗广泛腹膜转移的晚期胃癌患者,获得超过4年的完全缓解。
Case Rep Oncol. 2018 May 17;11(2):305-310. doi: 10.1159/000488978. eCollection 2018 May-Aug.
2
[Efficacy of 1 384 cases of peritoneal carcinomatosis underwent cytoreductive surgery plus hyperthermic intraperitoneal chemotherapy].1384例腹膜癌病患者接受细胞减灭术加腹腔内热灌注化疗的疗效
Zhonghua Wei Chang Wai Ke Za Zhi. 2021 Mar 25;24(3):230-239. doi: 10.3760/cma.j.cn.441530-20201110-00603.
3
Treatment of Peritoneal Dissemination in Stomach Cancer Patients With Cytoreductive Surgery and Hyperthermic Intraperitoneal Chemotherapy (HIPEC): Rationale and Design of the PERISCOPE Study.胃癌患者腹膜播散的细胞减灭术和腹腔内热灌注化疗(HIPEC)治疗:PERISCOPE研究的原理与设计
JMIR Res Protoc. 2017 Jul 13;6(7):e136. doi: 10.2196/resprot.7790.
4
Impact of maximal cytoreductive surgery plus regional heated intraperitoneal chemotherapy (HIPEC) on outcome of patients with peritoneal carcinomatosis of gastric origin: results of the GYMSSA trial.最大减瘤手术联合区域加热腹腔内化疗(HIPEC)对胃源性腹膜癌患者结局的影响:GYMSSA 试验结果。
J Surg Oncol. 2014 Sep;110(3):275-84. doi: 10.1002/jso.23633. Epub 2014 Jul 5.
5
Laparoscopic HIPEC for Peritoneal Carcinomatosis from Gastric Cancer - Technique and Early Outcomes of Our First Cases.腹腔镜热灌注化疗治疗胃癌腹膜转移癌——首例病例的技术与早期结果
Chirurgia (Bucur). 2017 Nov-Dec;112(6):714-725. doi: 10.21614/chirurgia.112.6.714.
6
Cytoreductive surgery and hyperthermic intraperitoneal chemotherapy improves survival of patients with peritoneal carcinomatosis from gastric cancer: final results of a phase III randomized clinical trial.细胞减灭术和腹腔热灌注化疗可提高胃癌腹膜转移患者的生存率:一项 III 期随机临床试验的最终结果。
Ann Surg Oncol. 2011 Jun;18(6):1575-81. doi: 10.1245/s10434-011-1631-5. Epub 2011 Mar 23.
7
Indications for hyperthermic intraperitoneal chemotherapy with cytoreductive surgery: a clinical practice guideline.腹腔内热灌注化疗联合细胞减灭术的适应证:临床实践指南。
Curr Oncol. 2020 Jun;27(3):146-154. doi: 10.3747/co.27.6033. Epub 2020 Jun 1.
8
Peritoneal cancer index (PCI) based patient selecting strategy for complete cytoreductive surgery plus hyperthermic intraperitoneal chemotherapy in gastric cancer with peritoneal metastasis: A single-center retrospective analysis of 125 patients.基于腹膜癌指数(PCI)的患者选择策略用于胃癌伴腹膜转移行完全细胞减灭术加腹腔热灌注化疗:一项单中心回顾性分析 125 例患者。
Eur J Surg Oncol. 2021 Jun;47(6):1411-1419. doi: 10.1016/j.ejso.2020.11.139. Epub 2020 Dec 1.
9
Study protocol of a multicenter phase III randomized controlled trial investigating the efficiency of the combination of neoadjuvant chemotherapy (NAC) and neoadjuvant laparoscopic intraperitoneal hyperthermic chemotherapy (NLHIPEC) followed by R0 gastrectomy with intraoperative HIPEC for advanced gastric cancer (AGC): dragon II trial.多中心 III 期随机对照临床试验研究方案,旨在评估新辅助化疗(NAC)联合新辅助腹腔镜腹腔内热化疗(NLHIPEC)序贯 R0 胃切除术后术中腹腔内热化疗(HIPEC)治疗进展期胃癌(AGC)的疗效:龙 II 试验。
BMC Cancer. 2020 Mar 17;20(1):224. doi: 10.1186/s12885-020-6701-2.
10
Patients with Peritoneal Carcinomatosis from Gastric Cancer Treated with Cytoreductive Surgery and Hyperthermic Intraperitoneal Chemotherapy: Is Cure a Possibility?接受细胞减灭术和腹腔内热灌注化疗的胃癌腹膜转移患者:有可能治愈吗?
Ann Surg Oncol. 2016 Jun;23(6):1971-9. doi: 10.1245/s10434-015-5081-3. Epub 2016 Jan 11.

引用本文的文献

1
Postoperative intraperitoneal hyperthermic perfusion improve survival for advanced gastric cancer.术后腹腔热灌注可提高晚期胃癌患者的生存率。
Medicine (Baltimore). 2019 Jul;98(30):e16598. doi: 10.1097/MD.0000000000016598.

本文引用的文献

1
Cytoreductive surgery and hyperthermic intraperitoneal chemotherapy in the management of gastrointestinal cancers with peritoneal metastases: Progress toward a new standard of care.细胞减灭术和腹腔热灌注化疗治疗胃肠道癌腹膜转移:迈向新的治疗标准的进展。
Cancer Treat Rev. 2016 Jul;48:42-9. doi: 10.1016/j.ctrv.2016.06.007. Epub 2016 Jun 16.
2
Impact of maximal cytoreductive surgery plus regional heated intraperitoneal chemotherapy (HIPEC) on outcome of patients with peritoneal carcinomatosis of gastric origin: results of the GYMSSA trial.最大减瘤手术联合区域加热腹腔内化疗(HIPEC)对胃源性腹膜癌患者结局的影响:GYMSSA 试验结果。
J Surg Oncol. 2014 Sep;110(3):275-84. doi: 10.1002/jso.23633. Epub 2014 Jul 5.
3
Peritoneal carcinomatosis: cytoreductive surgery and HIPEC--overview and basics.
腹膜癌病:细胞减灭术和 HIPEC-概述和基础。
Cancer Invest. 2012 Mar;30(3):209-24. doi: 10.3109/07357907.2012.654871.
4
Cytoreductive surgery and hyperthermic intraperitoneal chemotherapy improves survival of patients with peritoneal carcinomatosis from gastric cancer: final results of a phase III randomized clinical trial.细胞减灭术和腹腔热灌注化疗可提高胃癌腹膜转移患者的生存率:一项 III 期随机临床试验的最终结果。
Ann Surg Oncol. 2011 Jun;18(6):1575-81. doi: 10.1245/s10434-011-1631-5. Epub 2011 Mar 23.
5
Toward curative treatment of peritoneal carcinomatosis from nonovarian origin by cytoreductive surgery combined with perioperative intraperitoneal chemotherapy: a multi-institutional study of 1,290 patients.通过细胞减灭术联合围手术期腹腔内化疗治疗非卵巢来源腹膜癌病的治疗方法:一项对 1290 例患者的多机构研究。
Cancer. 2010 Dec 15;116(24):5608-18. doi: 10.1002/cncr.25356. Epub 2010 Aug 24.
6
Peritoneal carcinomatosis from gastric cancer: a multi-institutional study of 159 patients treated by cytoreductive surgery combined with perioperative intraperitoneal chemotherapy.胃癌腹膜转移:159 例患者行细胞减灭术联合围手术期腹腔化疗的多中心研究。
Ann Surg Oncol. 2010 Sep;17(9):2370-7. doi: 10.1245/s10434-010-1039-7. Epub 2010 Mar 25.
7
Chemotherapy for advanced gastric cancer.晚期胃癌的化疗
Cochrane Database Syst Rev. 2010 Mar 17(3):CD004064. doi: 10.1002/14651858.CD004064.pub3.
8
Patterns of initial recurrence in completely resected gastric adenocarcinoma.完全切除的胃腺癌初始复发模式。
Ann Surg. 2004 Nov;240(5):808-16. doi: 10.1097/01.sla.0000143245.28656.15.
9
Peritoneal carcinomatosis from digestive tract cancer: new management by cytoreductive surgery and intraperitoneal chemohyperthermia.消化道癌所致腹膜癌病:减瘤手术及腹腔内热化疗的新治疗方法
Lancet Oncol. 2004 Apr;5(4):219-28. doi: 10.1016/S1470-2045(04)01425-1.
10
Trends in incidence of adenocarcinoma of the oesophagus and gastric cardia in ten European countries.十个欧洲国家食管和贲门腺癌的发病率趋势
Int J Epidemiol. 2000 Aug;29(4):645-54. doi: 10.1093/ije/29.4.645.