Suppr超能文献

在一名患有小头畸形、简化脑回模式、桥脑小脑发育不良和癫痫的婴儿中发现的 RTTN 双等位基因突变的功能特征。

Functional characterization of biallelic RTTN variants identified in an infant with microcephaly, simplified gyral pattern, pontocerebellar hypoplasia, and seizures.

机构信息

Edward Mallinckrodt Department of Pediatrics, Washington University School of Medicine and St. Louis Children's Hospital, St. Louis, MO, USA.

John T. Milliken Department of Medicine, Washington University School of Medicine and St. Louis Children's Hospital, St. Louis, MO, USA.

出版信息

Pediatr Res. 2018 Sep;84(3):435-441. doi: 10.1038/s41390-018-0083-z. Epub 2018 Jun 4.

Abstract

BACKGROUND

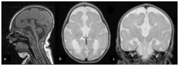
Biallelic deleterious variants in RTTN, which encodes rotatin, are associated with primary microcephaly, polymicrogyria, seizures, intellectual disability, and primordial dwarfism in human infants.

METHODS AND RESULTS

We performed exome sequencing of an infant with primary microcephaly, pontocerebellar hypoplasia, and intractable seizures and his healthy, unrelated parents. We cultured the infant's fibroblasts to determine primary ciliary phenotype.

RESULTS

We identified biallelic variants in RTTN in the affected infant: a novel missense variant and a rare, intronic variant that results in aberrant transcript splicing. Cultured fibroblasts from the infant demonstrated reduced length and number of primary cilia.

CONCLUSION

Biallelic variants in RTTN cause primary microcephaly in infants. Functional characterization of primary cilia length and number can be used to determine pathogenicity of RTTN variants.

摘要

背景

编码 rotatin 的 RTTN 中的双等位基因有害变异与人类婴儿的原发性小头畸形、多小脑回、癫痫、智力残疾和原始侏儒症有关。

方法和结果

我们对一名患有原发性小头畸形、桥脑小脑发育不良和难治性癫痫的婴儿及其健康、无亲缘关系的父母进行了外显子组测序。我们培养了婴儿的成纤维细胞,以确定主要纤毛表型。

结果

我们在受影响的婴儿中发现了 RTTN 的双等位基因变异:一种新的错义变异和一种罕见的内含子变异,导致异常的转录剪接。从婴儿培养的成纤维细胞显示出初级纤毛长度和数量减少。

结论

RTTN 的双等位基因变异导致婴儿原发性小头畸形。初级纤毛长度和数量的功能特征可用于确定 RTTN 变异的致病性。

https://cdn.ncbi.nlm.nih.gov/pmc/blobs/531c/6258334/7ece8de5d06a/nihms971419f1.jpg

文献检索

告别复杂PubMed语法,用中文像聊天一样搜索,搜遍4000万医学文献。AI智能推荐,让科研检索更轻松。

立即免费搜索

文件翻译

保留排版,准确专业,支持PDF/Word/PPT等文件格式,支持 12+语言互译。

免费翻译文档

深度研究

AI帮你快速写综述,25分钟生成高质量综述,智能提取关键信息,辅助科研写作。

立即免费体验